What is the radiation dosage of a chest x-ray?
0.02mSV
Second lowest dosage
What is the normal projection of chest x-rays?

What anatomy should be included in a chest-xray for it to be adequate?

How can we tell there is no rotation on towards the detector on a chest x-ray?
Spinous processes and the clavicles line up

How much lung volume should you see on an inspiration phase chest x-ray?

What should the lung bases look like on a chest x-ray?

How can you tell there has been adequate penetration on a chest x-ray?

What are some artefacts that can appear on a chest x-ray?

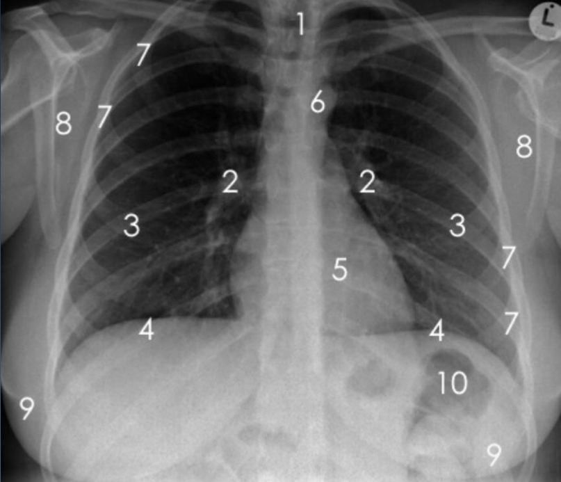
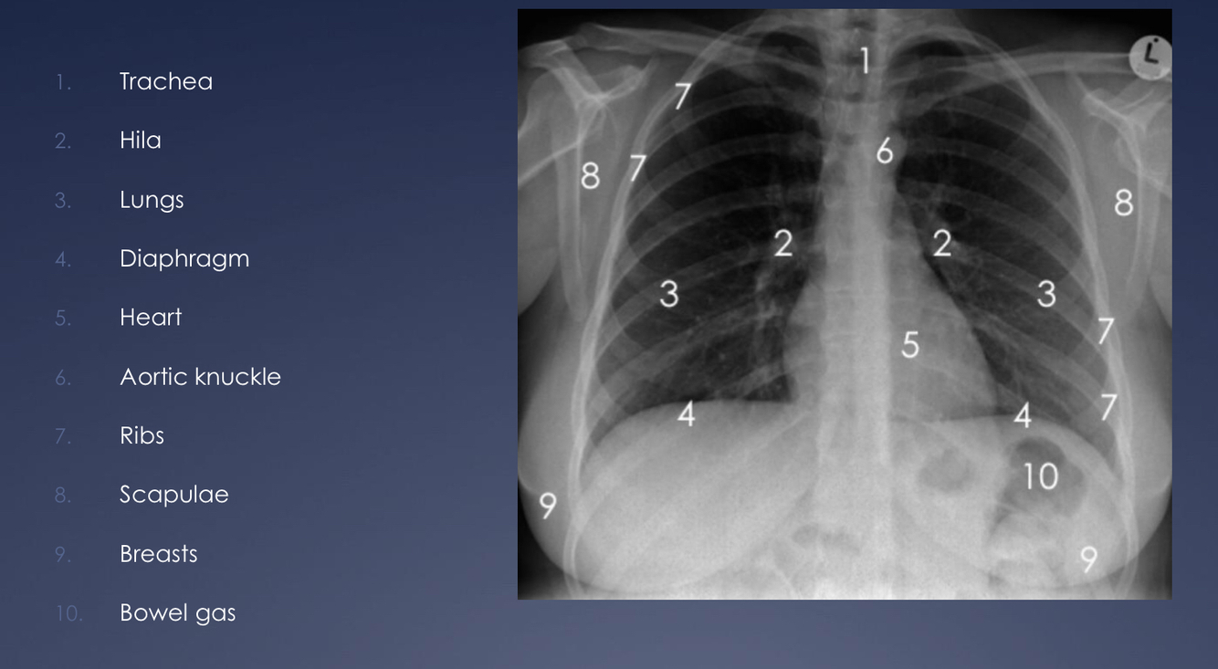
Identify the following anatomical structures


What should you see on a chest x-ray when assessing the trachea?
Left hilar point should always be higher than right, if altered then pathology

What are the different lung zones on a chest x-ray?

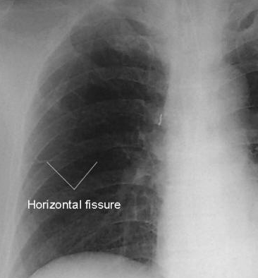
What fissure can you see on a chest x ray?
Horizontal in the right lung running towards right hilum

How should we see the diaphragm on an xray?
Running all the way up to the vertebral bodies

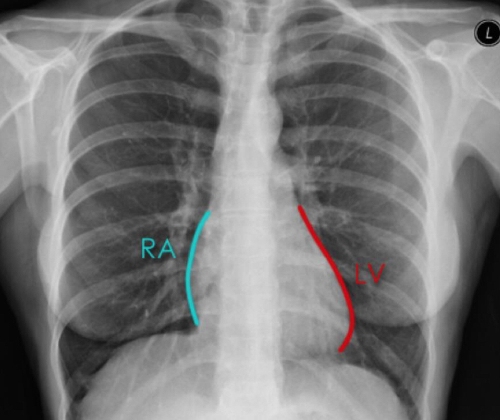
What borders of the heart should you see on a chest x ray?
Atrial enlargement carina splays

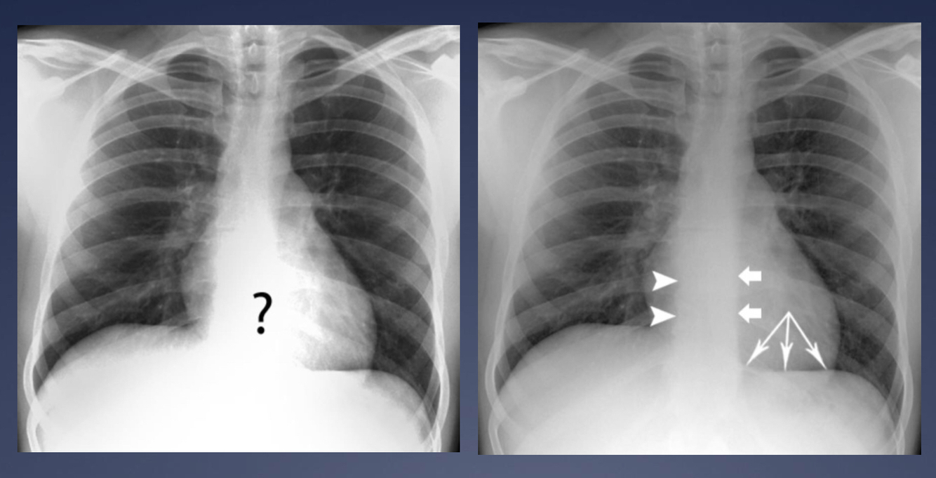
What contours should you see at the mediastinum, e.g aortic knuckle?
Aortic window and LPA disappear with enlarged lymph node

How can you overcome seeing nipple markings on a chest x ray?
Stick paperclips on nipples so don’t mistake nipples for a mass

What might be the pathology if the 1st rib is not visible on chest x ray?
Pancoast tumour as it erodes the first rib

How do you systematically review a chest x-ray?
