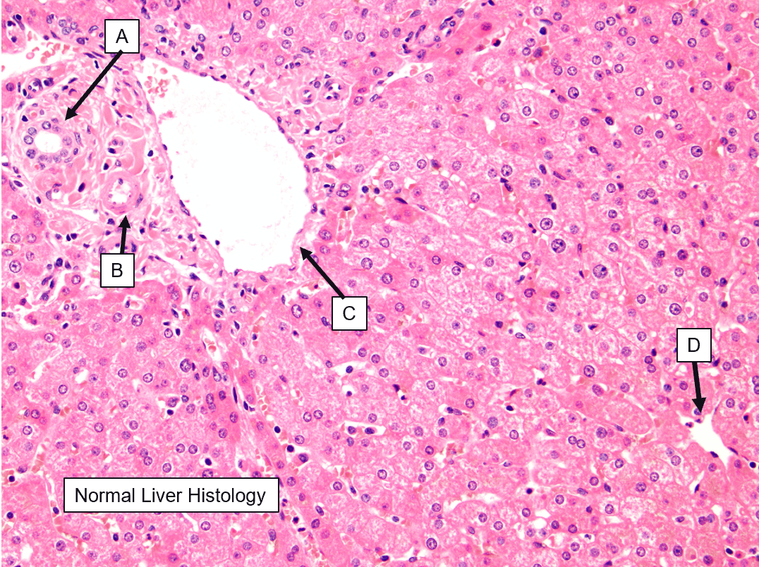
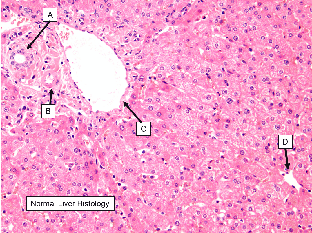
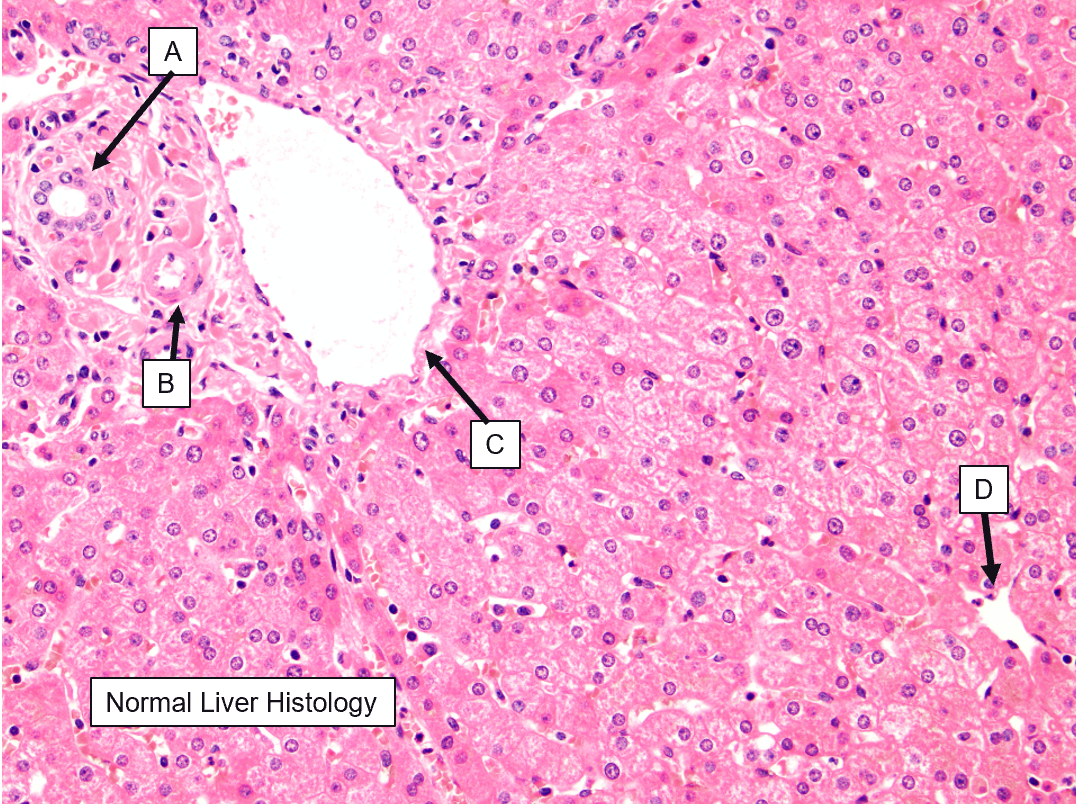
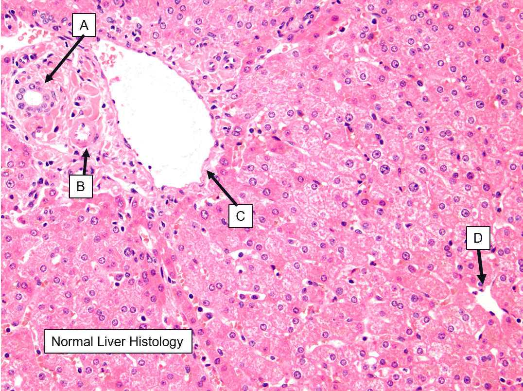
What is structure C?

Portal vein

Which metabolite of alcohol causes liver injury?
What enzyme ususally clears this metabolite?
Acetaldehyde
Converted to acetate by ALDH2

Describe the two-hit hypothesis of steatohepatitis
Which liver cells cause fibrosis?
Hepatic stellate cells

What is structure B?

Hepatic artery

What is structure A?

Bile duct

What is structure D?

Central vein

What is the histologic hallmark of acetaminophen overdose?
Centrilobular necrosis (zone 3)

List 4 histologic changes that may occur in steatohepatitis
