What might be wrong with Mr. Green?

Aortic Stenosis
What is the common pathophys behind diastolic HF?
Impaired myocardium relaxation due to lack of rapid intracellular Ca++ ion clearance from the cell by the SR ATPase. Actin crossbridges cannot release and myocardium cant relax
What is diastolic HF?
The filling of the ventricles is impaired due to stiff ventricular walls, but emptying capacity is normal.
What is atrial fibrillation?
Irregularly-irregular atrial pulse
Can lead to clotting issues
How can you treat asthma?

What is the target BP for those over 80?
Systolic of 150
What are some of the normal cardiac changes that occur with age?
Widening of the aorta
LVH reduces diastolic filling
LV contraction is decreased
Is it common to develop hypertension, despite never having it before?
Yes, the prevalence increases with age
What are some characteristics of asthma?

What are some causes of diastolic HF?
Impaired ventrilcular compliance
Tachycardia
Less atrial kick
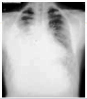
The image is characteristic of what?

LVH caused by aortic stenosis
What is systolic heart failure?
Loss of contractile strength of the heart with compensatory ventricular hypertrophy or dilation
Lowered ejection fraction
Leading to lowered SV and CO
What are the anatomical changes associated with pulmonary aging?
Increased lung compliance, less elastic recoil, closing volumes increase, more of smaller airways close, upper lung better ventilated, lower lung better perfused, more v/q mismatch.

Patient has 60 pack year history of smoking. Physical examination yields the following on the attached image. What does she have?

COPD
What is the treatment for A fib?
Anticoagulation to prevent stroke
Rate control to slow down fibrillation
Patient has had cough and crackles in both lungs. CXR reveals the image attached. What do they have?

Pneumonia
What can be the effects of a decreased B-adrenergic response?
Decreased cardiac output and HR response to stress which can lead to heart failure
What can the effects be of decrease arterial compliance in elderly?
This will lead to increased systolic BP
They can have hypotensive response to increased HR, volume depletion, or loss of artial contraction. This can lead to passing out
Patient is 65 yields the following physical exam. What do they have?

Asthma - know by the wheezing
What can the effects of decreased baroreceptor sensitivity and decreased SA node automaticity?
Impaired BP response to standing and volume depletion leading to syncope and heart block
What might the patient have?

Heart failure
What is aortic stenosis?
Hardening of the aortic valve causing difficulty with blood flow
How does A. Fib. affect a patients chances of having a stroke?
A. Fib. greatly increases a patients chances of having a stroke
What are some causes of HTN?
Elastic artery stiffening associated with fracturing of the elastin protein, collagen proliferation and calcium deposition