Compare the composition of inspired and alveolar gas (N2, H2O, CO2, O2).
What 5 things make at O2-Hb dissociation curve shift right (CADET, face right)?
Distinguish between type I and type II respiratory failure.
Inspired: PN2 = 79, PH2O = 0.8, PCO2 = 0.04, PO2 = 21.2
Alveolar: PN2 = 79, PH2O = 6.3, PCO2 = 5.3, PO2 = 13.4
Type 1: hypoxemia without hypercapnia, typically caused by V/Q mismatch. Caused by conditions that affect oxygenation e.g. low ambient oxygen (e.g. at high altitude), shunt, diffusion problem (ARDS)
Type 2: Hypoxemia (PaO2 <8kPa) with hypercapnia (PaCO2 >6.0kPa). Caused by inadequate alveolar ventilation; O2 and CO2 affected. Defined as buildup of PaCO2 that has been generated by the body but cannot be eliminated. E.g. increased airways resistance (COPD), deformed (kyphoscoliosis)

What are the BTS quidelines on O2-stats target ranges for pts at risk of hypercapnic respiratory failure, and normal pts?
What kind of O2 mask is given to all COPD pts needing O2?
What are some potentially harmful effects of O2 therapy?
Label the following O2 delivery services 1-4.

88-92% for at risk, >94% in all others.
Venturi mask.
Vasoconstriction, oxidative damage/free radicals, explosive.
1) Face mask
2) Venturi/fixed performance mask
3) High concentration reservoir mask
4) Nasal cannula
What kind of respiratory failure is a nasal cannula used for (L pic)?
What kind of respiratory failure is the simple face mask used for (R pic)?

Most pts with both type I and II resp. failure. FIO2 (fraction of inspired O2) depends on O2 flow rate and pt’s minute volume and inspiratory flow and pattern of breathing. No re-brething. Cheap. Preferred by pts vs mask. Comfortable. 2-5L/min gives 24-50% FIO2.
Type I, variable O2 conc between 35-60%. Low cost. Flow 5-10L/min. Medium concentration, variable perfomance.
What kind of respiratory failure is a high concentration reservoir mask used for (L pic)?
What kind of respiratory failure is a venturi/fixed performance mask used for (R pic)?
When would you use humidified O2?

Non-rebreathing reservoir mask, for critical illness/trauma pts, post-cardiac or resp arrest, O2 concs 60-80% or more, effective short-term tx.
COPD pts, colour-coded for fixed flows, delivers constant O2, increasing flow doesn’t increase O2 conc. Lowest = 24% aet to 2L, highest = 60% set to 15L.
If pt requires high flow O2 systems for >24h or who report upper airway discomfort due to dryness.
What is the worry with giving COPD pts O2?
What is the problem with some COPD pts relying on their ‘hypoxic drive’?
In pts with COPD: what is more dangerous - hypoxia or hypercapnia?
What is the recommended O2 tx for COPD pts?
Potential CO2 retention leading to narcosis/respiratory arrest. (5-15% of COPD pts are CO2-retainers)
If too much O2 given, pts lose their drive to breathe and can become hypercapnic and may be at risk of respiratory arrest.
Hypoxia
Target sats of 88-92%, use Venturi mask to titrate O2, take baseline ABG and repeat it 30mins after starting O2 therapy.
What are the normal values for ABG analysis? (H+, PO2, PCO2, Actual HCO3-, Std HCO3-, Base deficit, % sat of Hb with O2).
What do you think of this ABG? What do the values indicate?
pH: 7.32
pO2: 7.2
pCO2: 3.8
Bicarb: 16
BE: -5
(pic)
pH: low - metabolic acidosis + some resp compensation
pO2: low - type I resp failuere
pCO2: low - type I resp failure + some resp compensation
bicarb: low - metabolic acidosis
BE: low - metabolic acidosis

Case 1
24 yo known asthmatic, SoB, 1-2 exacerbations/yr, no previous ICU, wheeze, RR 22, BP 120/70, HR 100bpm, NSR (normal sinus rhythm), sats 86% on RA.
What would you do? What would the target sats be?
Prescribe O2 via face mask/non re-breather mask. ?Humidified
Target sats 94-98%
Case 2
80 yo long-term smoker, 2/7 hx of productive cough, fever and SoB. RR 25, BP 110/80, HR 110 AF. Sats 85% on RA.
What would you do? What would the target sats be?
Presecribe O2 via Venturi device (b/c pt has COPD), ?humidified.
Target sats 88-92%. Check pCO2 on ABG and titrate.
Case 3
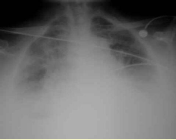
75 yo man, non-smoker, 3/7 hx of productive cough and pyrexia, RR 28, BP 90/70, HR 110 NSR, sats 84% on RA, CXR (below)
What can you see in the CXR? What would you do? What would the target sats be?

Pneumonia.
Prescribe O2 via non-rebreathe bag, ?humidified. No target sats. Do ABG, call for help!
Case 4
40 yo woman, attends with abdo pain, US shows ovarian cyst, no PMH, HR 82, BP 128/79, RR 14, O2 sats 97%.
What would you do?
Don’t prescribe O2. Monitor observations regularly. Review if O2 sats fall.
Case 5
31 yo woman, admitted with ectopic pregnancy requiring surgery, no other PMH. HR 90, BP 110/70, RR 28, O2 sats 91%.
What would you do? What would the target sats be?
Prescribe O2 via nasal cannula or face mask. ?humidified.
Target 94-98%
She’s hypoxic b/c hx: got off 18hr flight and had developed DVT and subsequent PE.