Définition du myélome :
= Le myélome multiple, ou maladie de Kahler, est une hémopathie maligne caractérisée par le développement d’un clone de plasmocytes tumoraux envahissant la moelle hématopoïétique.
Epidémiologie du muélome multiple :
=> L’incidence s’accroît avec l’âge
Définitioin du MGUS :
= Monoclonal Gammopathy of Undetermined Significance
Les dysglobulinémies monoclonales de signification indéterminée (MGUS) sont des situations non rares après l’âge de 50 ans, ne présentent aucun signe d’atteinte d’organe du myélome multiple ; leur risque d’évolution vers un myélome multiple est de 1 % par an.
Le myélome multiple est TOUJOURS précédés d’un MGUS ?
=> VRAI : Le myélome multiple est toujours précédé d’un état « prémyélomateux » nommé dysglobulinémie (ou gammapathie) monoclonale d’origine indéterminée, ou MGUS (Monoclonal Gammopathy of Undetermined Significance).
Etiologie du myélome :
= INCONNUE
4 Principaux signes du myélome multiple :
Dans la forme la plus classique, le myélome multiple associe :
Signes cliniques du myélome :
=> Elles nécessitent volontiers le recours aux antalgiques majeurs et retentissent sur les capacités fonctionnelles des patients.
=> Le myélome multiple n’est pas, en dehors de sa phase terminale, une maladie fébrile.
+ Habituellement, il n’existe pas de tuméfactions des organes hématopoïétiques.
Signes biologiques du myélome multiple :
La leucopénie et la thrombopénie sont rares et de mauvais pronostic, reflétant une masse tumorale importante.
Au cours de l’évolution, l’insuffisance médullaire peut s’installer jusqu’à une pancytopénie franche, résultat de l’augmentation de la masse tumorale, de l’appauvrissement de la moelle osseuse, aggravée par les chimiothérapies reçues.
Il est possible bien que rare d’observer des plasmocytes dans le sang circulant au diagnostic (2 % des cas, pouvant aller jusqu’au diagnostic de leucémie à plasmocytes primitive, P-PCL, cf. infra).
Interet de la mesure de la CRP ou de la VS dans le suivi du myélome :
= AUCUN : La mesure itérative de la VS dans le suivi d’un patient qui a une gammapathie monoclonale est SANS intérêt.
Signes à l’EPS et immunofixation du myélome :
=> La réalisation d’une EPS est indispensable, couplées à une immunofixation.
+ La présence du pic est associée à une diminution de la quantité d’Ig en région γ (hypogammaglobulinémie en général sévère, inférieure à 3 g/l).
=> Environ 65 % des myélomes multiples sont d’isotype IgG, 15 % d’isotype IgA, 15 % de type urinaire pur (à chaînes légères) et les 5 % restants sont constitués de variants rares.
+ La classe de chaîne légère, indépendamment de l’isotype, est de nature κ dans deux tiers des cas et λ dans un tiers des cas.
=> Figure 9.1 page 129

Daignostic à évoquer si absence de Pic à l’EPS :
Signe de l’EPU et immmunnofxation des proteines URINAIRES :
L’électrophorèse et l’immunofixation (ou l’immuno-électrophorèse) des protéines urinaires mettent en évidence dans 90 % des cas une protéinurie dite protéinurie de Bence-Jones, constituée d’une seule chaîne légère d’Ig, dont l’immunofixation précisera le type, κ ou λ6.
Il reste recommandé d’étudier la protéinurie, car le myélome peut être confondu avec une amylose AL primitive, ou peut aussi être compliqué d’une autre maladie de dépôts d’immunoglobuline (LCDD, HCDD, LHCDD). Ces affections sont en général associées à une atteinte rénale de type glomérulaire, et donc d’une protéinurie de type néphrotique, marquée par la présence possible de protéinurie de Bence-Jones, mais surtout par une albuminurie supérieure à 1 g/24 heures
Interet de l’EPS ou EPU + immunofixation dans le suivi du myélome :
Les EPS (et EPU) et sFLC (dosage des chaines legeres) sont des éléments très importants du suivi thérapeutique.
Il est en revanche TOTALEMENT inutile en routine de multiplier les immunofixations, l’isotype de la protéine monoclonale ne se modifiant pas au cours de l’évolution, de même pour le dosage pondéral.
=> Le contrôle de l’immunofixation n’a de sens que pour confirmer une réponse complète et si changement d’isotype lors de la rechute.
Le myélogramme est nécessaire pour porter le diagnostic de myélome ?
et la BOM ?
= VRAI
La biopsie ostéomédullaire est nécessaire si le myélogramme n’est pas contributif. La BOM est recommandée dans le bilan des plasmocytomes supposés « solitaires », pour être certain d’écarter un excès de plasmocytes.
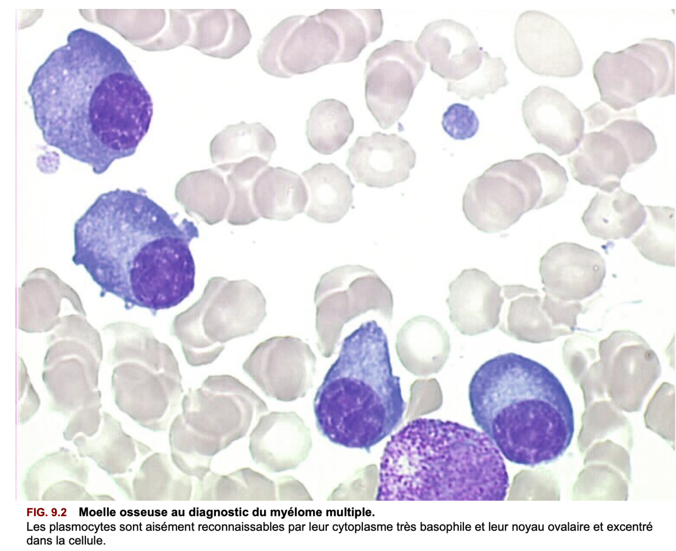
Signes au myélogramme :
Il met en évidence une infiltration plasmocytaire qui représente plus de 10 % des éléments nucléés.
Des anomalies morphologiques des plasmocytes sont souvent observées, mais elles ne sont pas indispensables au diagnostic
+ La ponction médullaire permet, en outre, l’analyse moléculaire des plasmocytes, cytogénétique (par techniques de SNP array et/ou de fluorescence in situ après hybridation, FISH) et mutationnelle (NGS), dont l’importance pronostique est majeure.
=> Figure 9.2 page 130

Bilan biologique initial :
Principaux facteurs de mauvais pronostic :
=> tableau 9.1 page 131

Imagerie indiquée si myélome :
=> Tout patient suspect de myélome multiple doit avoir un bilan évaluant par technique iconographique l’os et la moelle osseuse.
=> Dans la radiologie conventionnelle, le bilan comprend des clichés du crâne, du rachis complet, du bassin, du thorax et des grils costaux, de l’humérus et des fémurs.
Pas de scintigraphie osseuse indiquée
Signes imageriques du myélome multiple :
=> Figure 9.3 page 132

Formes cliniques du myélome :
Caractéristiques du myélome multiple sympyomatique :
C’est la forme habituelle, définie par une ou plusieurs atteintes dites d’organe (MRE, myeloma related event). I
l valide un ou plusieurs des critères appelés CRAB, acronyme anglo-saxon correspondant à « hyperCalcémie, insuffisance Rénale, Anémie et atteinte osseuse (Bone disease) », selon une classification internationale.
Caractéristiques du myélome multiple inndolent :
Il se définit par une protéine monoclonale supérieure à 30 g/l et/ou un envahissement médullaire supérieur à 10 % de plasmocytes, mais sans l’atteinte d’organe (absence de critères CRAB).
=> Il évolue vers un myélome multiple symptomatique avec un temps de progression variable, parfois de plusieurs années.
Caractéristique du myélome asymtomatique mais biologiquement actif :
Un groupe de myélomes multiples a un profil asymptomatique, faussement considéré de ce fait comme indolent, mais évoluant dans 60 à 80 % des cas vers un myélome avec MRE dans les deux ans, et presque 100 % dans les cinq ans.
Ces myélomes sont importants à identifier le plus tôt possible car ils peuvent faire l’objet d’une prise en charge thérapeutique précoce et, ainsi, limiter le risque de MRE.
Trois critères, aujourd’hui, sont considérés comme permettant d’identifier ces patients, les sFLC, l’IRM, et la plasmocytose médullaire.
Ces critères sont amenés à évoluer mais constituent un complément aux critères CRAB et identifient les patients qui doivent faire l’objet d’une prise en charge thérapeutique.
Caractéristiques du plasmocytomes solutaires :
Il est recommandé de ne retenir, dans ce cadre, que les patients présentant :
Ces tumeurs sont soit adossées à une lésion ostéolytique, plasmocytome solitaire osseux, ou sans lésion osseuse et dans ce cas le plasmocytome est dit des tissus mous. Ces derniers sont volontiers développés au niveau des voies respiratoires ou digestives supérieures (nasopharynx, sinus).
Le pronostic de ces derniers est meilleur du fait d’une moindre tendance à la dissémination.
La radiothérapie localisée est le traitement de choix, venant parfois compléter une exérèse chirurgicale plus ou moins complète, sauf si la chirurgie dans le cadre d’un plasmocytome des tissus mous est curative.
L’évolution se fera souvent vers l’apparition d’un authentique myélome multiple, ou la réapparition de plasmocytomes solitaires ou multiples (ce dernier groupe est considéré comme à prendre en charge comme un myélome multiple).