What are the components of the pelvic viscera that is common to both males and females?
Bladder, urethra, ureters, sigmoid colon, rectum, anus
What this be?

Dermoid (mature cystic teratoma) - presence of fat
Identify the organs. And the dz process?

Top: Uterus
Bottom: Bladder
Dz process: Rectocele
What are some of the radiographic modalities to image pelvis?
X-ray, US, CT, MRI
What is MRI good at viewing?
Bowel and surrounding soft tissue (not as good as CT)
What is MRI excellent at viewing?
Uterus, cervix, vagina, and ovaries
Bones and surrounding tissues
What is x-ray in the pelvis good for? (3)
Kidney, ureteral, and bladder stones
Bowel gas pattern
Look at bones
What are the bones of the pelvis?
Ilium, ischium, pubis, sacrum
What is the first line pelvic imaging test in pregnant patients?
First line test
Identify


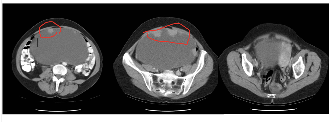
What this be?

Serous cystadenoma
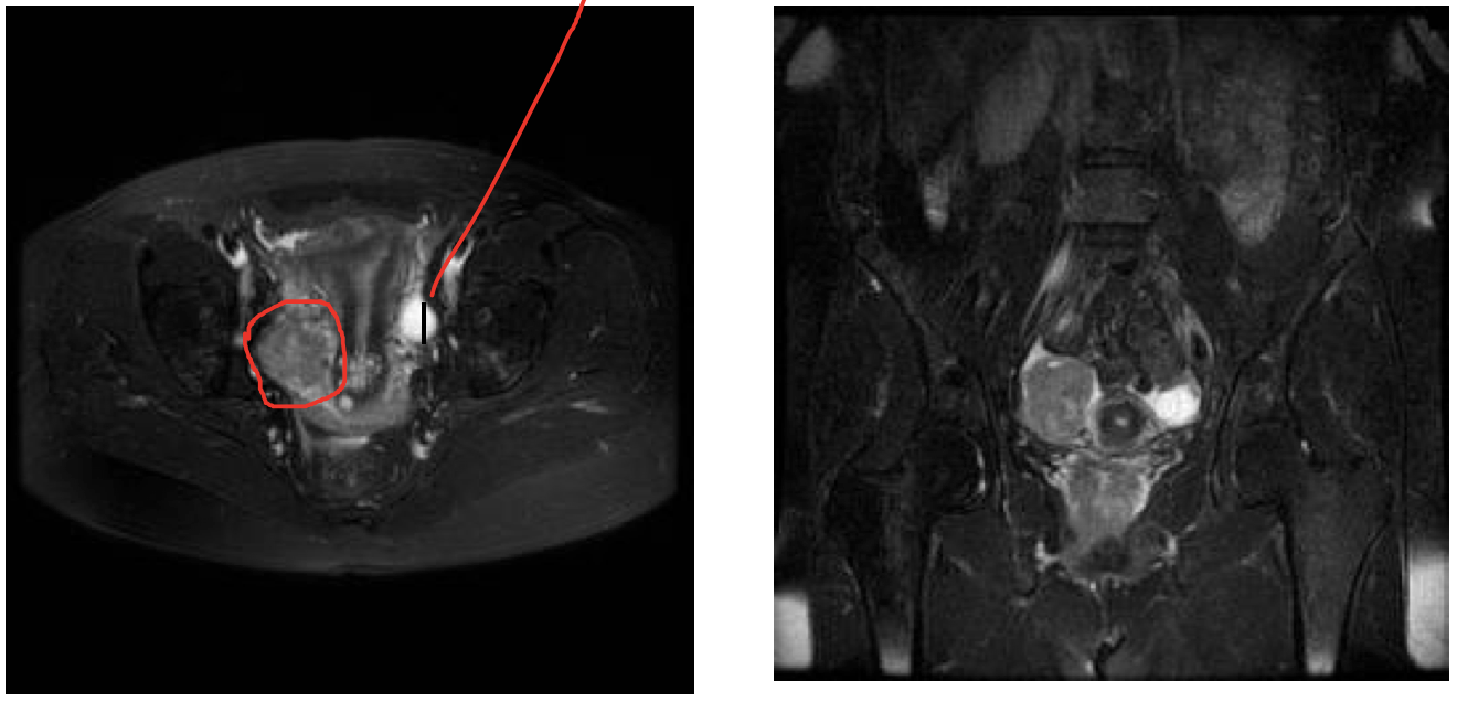
What is circled? What is the line pointing at?

Circled- R ovary w/ aggressive tumor
Line - Normal L ovary
Identify 2,3,9

2 - Anterior superior iliac spine
3 - Anterior inferior iliac spine
9 - Ischial tuberosity
What this be?

Mass of rectum penetrating bladder wall
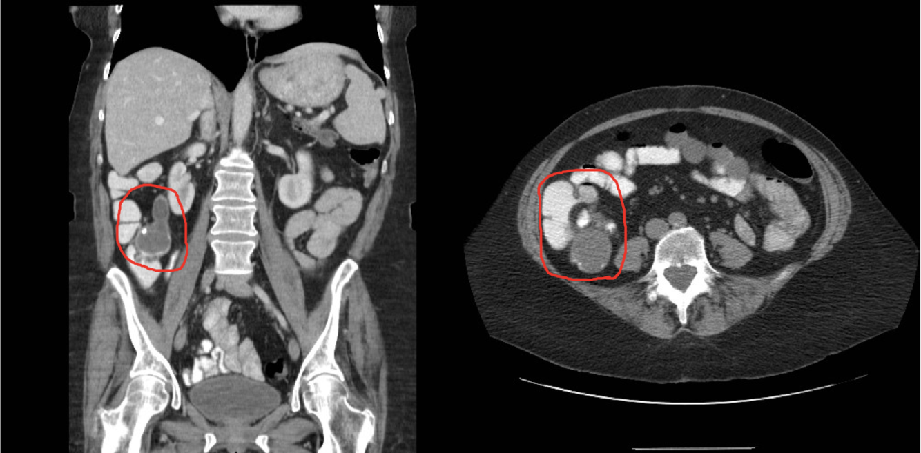
What this be?

Mucocele of the appendix with calcification
What two pelvic imaging modalities don’t expose patient to radiation?
MRI and US
What is the male-specific pelvic anatomy?
Prostate, seminal vessicles, vas deferens, ejaculatory duct, epididymis, testis
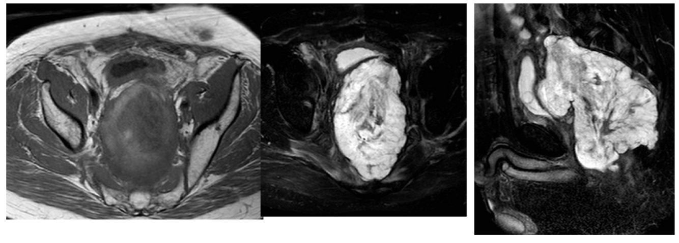
What this be?

Endometrial carcinoma
What is CT excellent at viewing? (3)
Bowel and surrounding soft tissue (top of the line test)
Kidney, ureteral, and bladder stones
Bones
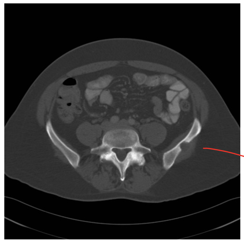
What this be?

Abnormality of iliac spine due to tumor
What this be?

Cystadenocarcinoma (tissue density changes circled in red help in identification)
What is US pelvic imaging good for?
Excellent at looking at the uterus and ovaries
Good for looking for free fluid
What do the letters represent?

SV: seminal vesicles
P: Prostate
U: Urethra