7.3 Abscesos hepáticos Flashcards

(26 cards)

1
Q

¿Edad característica de abscesos amebianos?

A

20 - 30 años

How well did you know this?
1
Not at all
2
3
4
5
Perfectly
2
Q

¿Característica de los abcesos amebianos?

A

Son solitarios

How well did you know this?
1
Not at all
2
3
4
5
Perfectly
3
Q

Localización de los abcesos

A

Lóbulo derecho

How well did you know this?
1
Not at all
2
3
4
5
Perfectly
4
Q

¿Se requiere viajar a zonas endémicas para tener abceso amebiano?

A

Sí mi bro

How well did you know this?
1
Not at all
2
3
4
5
Perfectly
5
Q

El abceso hepático se relaciona con el consumo de alcohol?

A

Ei

How well did you know this?
1
Not at all
2
3
4
5
Perfectly
6
Q

¿El abceso amebiano puede presentar ictericia?

A

Raro

How well did you know this?
1
Not at all
2
3
4
5
Perfectly
7
Q

¿El abceso amebiano puede presentar hiperbilirrubunemia?

A

Raro

How well did you know this?
1
Not at all
2
3
4
5
Perfectly
8
Q

¿Cómo sale el absceso amebiano en el hemocultivo?

A

Negativo

How well did you know this?
1
Not at all
2
3
4
5
Perfectly
9
Q

¿Se puede hacer una serología amebiana?

A

Si mi bro

How well did you know this?
1
Not at all
2
3
4
5
Perfectly
10
Q

¿Rango de edad de absceso piogeno?

A

> 50 años

How well did you know this?
1
Not at all
2
3
4
5
Perfectly
11
Q

¿Se requiere ir a zona endémica por absceso piogeno?

A

No

How well did you know this?
1
Not at all
2
3
4
5
Perfectly
12
Q

¿Característica de absceso piogeno?

A

Son múltiples

How well did you know this?
1
Not at all
2
3
4
5
Perfectly
13
Q

Con qué enfermedad se asocia el absceso piogeno?

A

Diabetes

How well did you know this?
1
Not at all
2
3
4
5
Perfectly
14
Q

¿El absceso piogeno puede presentar ictericia?

A

How well did you know this?
1
Not at all
2
3
4
5
Perfectly
15
Q

El absceso piogeno puede presentar hiperbilirrubinemia?

A

How well did you know this?
1
Not at all
2
3
4
5
Perfectly
16
Q

¿Cómo se ve el hemocultivo del absceso piogeno?

17
Q

¿Se puede hacer una serología del asbceso piogeno?

18
Q

Etiología de absceso amebiano?

A

Entamoeba histolytica

19
Q

Etiología de abceso piogeno?

A

E. coli

Klebsiella

S. mirelli

20
Q

¿Que producto alcoholico se asocia al desarrollo de absceso hepático?

21
Q

¿Causas de absceso piógeno?

A
  • Biliar -> Coledocolitiasis -> colangitis = absceso
  • Portal -> no habitual
  • Contigüdad -> De duodeno y estómago -> se asocia a DM
22
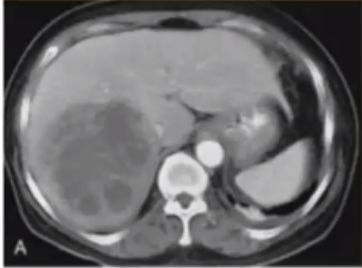
Q

¿Qué es?

A

Absceso amebiano

23
Q

¿Qué es?

A

Absceso piogeno

24
Q

Tx de absceso hepático

A

Metronidazol 750mg c/ 8hrs por 10 días + ondasetrón

25
Qué consas se consideran con el metronidazol?
- No alcohol -> disulfiram - Mucho vómito
26
¿Cuáles son las inicaciones qx?
- Persistencia de los síntomas pese a tx a 72 hrs - Absceso >150ml o > 5 cm - Localización en lóbulo izq. - Abdomen agudo