respiratory failure is PaO2__ mmhg
PaO2<60mmhg and PaCo2>45 mmhg
Respiratory Failure definition
Type I resp railure. cause?
type I; acute hypoxemic respiratory failure.
cardiovascular causes of acute dyspnea

rspiratory causes of acute dyspnea
Pleura: pneumothorax
Upper airway: aspiration, anaphylaxis
Lower airway: asthma, COPD, CHF
Parenchyma: Pneumonia, PE

for O2 therapy: outline some eservoir systems
non rebreather, oxymizer

note this scheme

Berlin Definition of Adult Respiratory Distress Syndrome


direct and indirect causes of acute lung injury
direct; gastric aspiraiton, pneumonia, inhalations, drowning, pulmonary contusion, fat and amniotic fluid embolism, inhalation injury.
indirect: sepsis, trauma, blood transfusion, pancreatitis, reperfusion injury (cardiopulmonary bypass), drug overdose.
pathogenesis of ARDS
Blood and fluid and white cells and red cells leak out of the alveolus– there’s tons of cellular debris, fluid, and LOSS OF SURFACTANT in the interstiitum– the surface tension increase because of loss of surfactant. Causes alveolus to retract and get inflamed.

Stages of ARDS

4 aspects of the exudative (early phase) of ards
in the fibroporliferative phase of ARDS, there is a proliferation of ____ ___, and ___ cells. There is phagocytsos of ___ and ____ debris
in the fibroporliferative phase of ARDS, there is a proliferation of FIBROBLAST , and TYPE II cells. There is phagocytsos of HYALINE MEMBRANES and CELLULAR debris
in ards, there is a ___ problem resulting in significant hypoxemia. As you destroy blood vessels through inflammation, there are problems of __ ___ additionally.
there is low perfusion and there is a low amount of ___ which causes reduced compliance and a stiffer lung and reduced residual capacity.
in ards, there is a SHUNT problem resulting in significant hypoxemia. As you destroy blood vessels through inflammation, there are problems of DEAD SPACE additionally.
there is low perfusion and there is a low amount of SURFACTANT which causes reduced compliance and a stiffer lung and reduced residual capacity.

treatment of ARDS
note :positive pressure (ventilation) is good cause it can re-puff up collapsed alveoli but you gotta be careful so the noraml alveoli don’t pop.


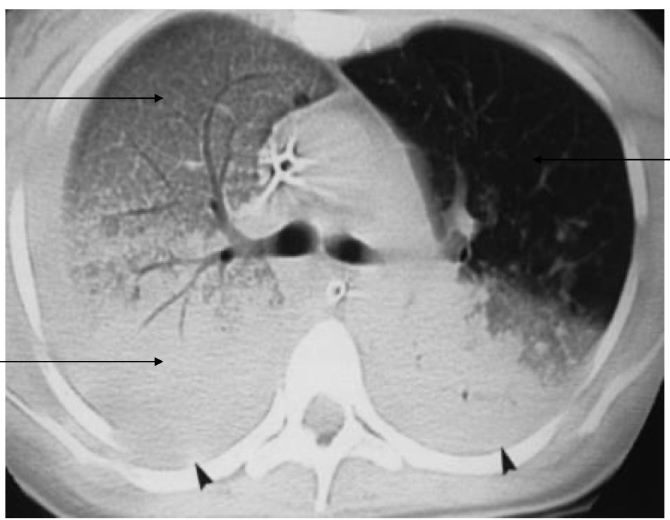
characteristic CT findings in ARDS

ground glass opacities
tidal volume strategites in ARDS (low stretch approach)
prior, there was a high priority to goals of restoring the acid-base balance, with lower priortty given to lung protection. now the opposite is choice. we have a higher priorty to lung protection.
Biologics, steroids don’t work. Gotta have “low stretch approach”– lower O2ml/kg amount from 15 to 8ml/kg or sometimes 4 ml/kg. Might get some acidosis but better than destroying the lungs.
best positioning for ventilation (therapy for ARDS)
prone positioning when ventilated. prone positioning is ideal because less gravity.
pulmonary function test abnoramlities after someone recovers from ARDS
doesn’t usually get quite back to normal. Often have a reduced QOL because of PTSD.
Type II respiratory failure
ventilatory failure. usually because of decreased alveolar ventilation (decreased drive, neuromuscular abnormalities, dead space (Vd)
-ex/ overdose, asthma, myasthenia gravis