Ankle fractures Flashcards

(16 cards)

1
Q

What is the usual mechanism of injury in ankle fracture?

A

An inversion injury ith a rotational force applied to the foot

How well did you know this?
1
Not at all
2
3
4
5
Perfectly
2
Q

Who are ankle fractures most common in?

A

Young and active patients
Elderly patients

How well did you know this?
1
Not at all
2
3
4
5
Perfectly
3
Q

What are some types of malleolus fracture?

A
  • Isolated malleolus fracture (70%)
  • Bimalleolar fracture (20%)
  • Trimalleolar fracture (10%)
How well did you know this?
1
Not at all
2
3
4
5
Perfectly
4
Q

How are distal fibular fractures classified?

A

Weber’s classification
Based on location in relation to the syndesmosis between fibular and tibia

How well did you know this?
1
Not at all
2
3
4
5
Perfectly
5
Q

What is meant by a Weber A fracture?

A

Weber A - Inferior to syndesmosis

How well did you know this?
1
Not at all
2
3
4
5
Perfectly
6
Q

What is meant by a Weber B fracture?

A

Weber B - In line with syndesmosis

How well did you know this?
1
Not at all
2
3
4
5
Perfectly
7
Q

What is meant by a Weber C fracture?

A

Weber C - Superior to syndesmosis

How well did you know this?
1
Not at all
2
3
4
5
Perfectly
8
Q

What characteristics classify isolated malleolar fracture as stable?

A
  • No widening of the medial clear space on x-rays
  • No deltoid area pain on palpation
  • No widening of tibiofibular clear space
How well did you know this?
1
Not at all
2
3
4
5
Perfectly
9
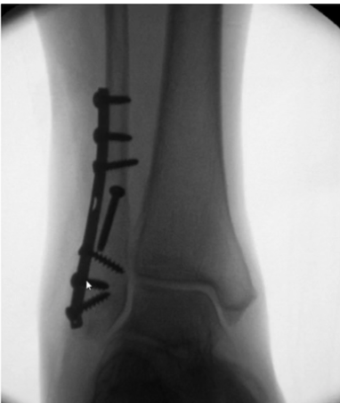
Q

What is shown in this X-ray?

A

Weber’s A fracture

How well did you know this?
1
Not at all
2
3
4
5
Perfectly
10
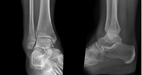
Q

What is shown in this X-ray?

A

Weber’s B fracture

How well did you know this?
1
Not at all
2
3
4
5
Perfectly
11
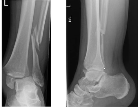
Q

What is shown in this X-ray?

A

Weber’s C fracture with medial malleolus fracture

How well did you know this?
1
Not at all
2
3
4
5
Perfectly
12
Q

How are Weber’s A fractures managed?

A

Weber A fractures, as long as there is no tibial involvement can often be managed using a moon boot with no repeat x-rays or follow ups

How well did you know this?
1
Not at all
2
3
4
5
Perfectly
13
Q

How are Weber’s B fractures managed?

A

Weber B fractures can be unstable, with further fractures to the fibular, so management depends on stability

How well did you know this?
1
Not at all
2
3
4
5
Perfectly
14
Q

How are Weber’s C fractures managed?

A

Weber C fractures are managed as unstable, and so surgery is the most common management option

How well did you know this?
1
Not at all
2
3
4
5
Perfectly
15
Q

How are any ankle fractures with talar shift managed?

A

Surgery

How well did you know this?
1
Not at all
2
3
4
5
Perfectly
16
Q

What is the surgical option for ankle fracture?

A

Surgery in ankle fractures is an open reduction internal fixation (ORIF) operation