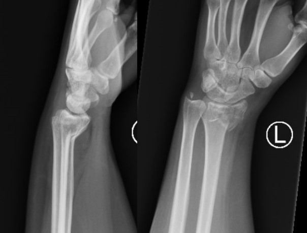
What is a Colles Fracture?
Most common pattern of injury seen in wrist Classically caused by a fall on the outstretched hand Associated with osteoporosis in elderly women
What is shown on XR in a Colles Fracture?
Displacement of radius and radial impaction leading to shortening
What is the management of Colles Fracture?
Should be manipulated with traction and apply a moulded plaster
If good positioning then conservative management
-XRs taken at wk 1 and 2 to confirm positioning
If unstable/comminuted -open reduction and internal fixation
What are the complications of Colles fracture?
Median nerve damage Post traumatic carpal tunnel syndrome
What is a smiths fracture?
Caused by a gall on the flexed wrist causing displacement of the distal segment
What is the management of Smiths fracture?
Open reduction and internal fixation
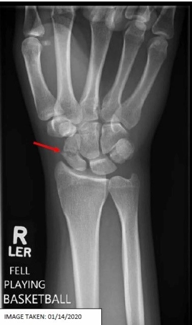
How do Scaphoid fractures occur?
Similar to colles fracture
What are the symptoms of a Scaphoid fracture
Pain maximal at anatomical snuffbox Weak pinch grip
What is found on XR for a scaphoid fracture?
Commonly undisplaced Difficult to detect on XR
What is the management of scaphoid fracture?
If XR is normal but clinical suspicion is high then treat for fracture Plaster for 2wks then repeat XR and clinical exam -plaster must stay on for 6-8wks and include thumb 10% risk of non union which requires surgery
What is a complication of scaphoid fracture?
Avascular necrosis
What is a monteggia fracture?
Proximal ulna fracture Radial head dislocation
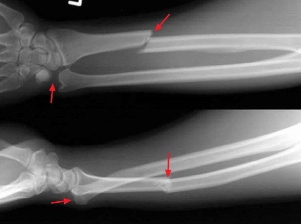
What is a Galeazzi fracture?
Dislocation of radio-ulnar joint Fracture of radius Can get radial nerve injury or extensor tendon injury
What fracture is this?

Galeazzi Fracture
Radial fracture and radial-ulnar dislocation
What fracture is this?

Monteggia fracture
Proximal ulna fracture
Radial head dislocation
What fracture is this?

Scaphoid Fracture
What fracture is this?

Smiths fracture
What fracture is this?

Colles Fracture