Artroplastia e artrodese do tornozelo
Artrose do tornozelo, causa mais comum:
Tratamento da artrose
Geralmente traumática
Tentar tratamento conservador, se não houver melhora considerar cirurgia
Artroplastia e artrodese do tornozelo
Artrodese x Artroplastia
Contraindicações e Indicações para artroplastia:
-Artroplastia:
Contraindicações:
<50 anos, alta demanda
Instabilidades ou deformidades graves do tornozelo
Diabetes descontrolada
Neuropatias ou vasculopatias periféricas
Infecção ativa
Obesidade
Osteonecrose do Tálus
Indicações:
Outras artroses adjacentes (joelho, subtalar, etc)
Paciente vai se beneficiar da mobilidade sem dor da tibiotársica.
Artroplastia e artrodese do tornozelo
Artroplastia
Gerações
1ª Geração: Constritas e cimentadas metal x metal - Soltavam
2ª Geração: Polietileno direto na tibia - Falha do polietileno
3ª Geração: Semiconstrito com 3 componentes
Componentes Tíbial, Domo talar, polietileno

Artroplastia e artrodese do tornozelo
Artroplastia
Complicações
Alto grau: Infecção e soltura
Médio grau: Erro técnico, fratura pós op, afundamento
Baixo grau: Problemas na cicatrização da ferida operatória, Fraturas intraop (MM ou ML são mais comuns 10-35%)
Artroplastia e artrodese do tornozelo
Artrodese
Porque é tão bem tolerada artrodese no tornozelo?
Arco de movimento curto do tornozelo nas AVDs: 10º de extensão e 20º flexão
1 Faz pouca falta
2 Choppart compensa a imobilidade da tibiotársica
3 Sapatos em mata-borrão compensam
Artroplastia e artrodese do tornozelo
Artrodese
Contraindicações
Principal: Artrose adjacente
Insuficiencia vascular
Infecção ativa,
Outras artrodeses adjacente ou contralateral
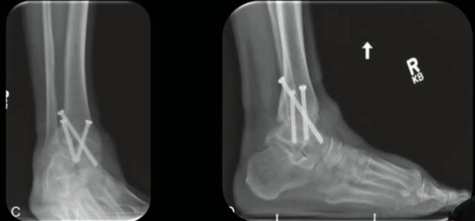
Artroplastia e artrodese do tornozelo
Artrodese
Parâmetros
Flexo extensão - Neutro
Rotação - Neutro ou 5º de rotação externa
Varo/valgo - 5º valgo
Tálus centrado ou levemente posteriorizado
Placa
Parafusos (3: medial lateral e posterior ‘home run’)
Fixador externo
Haste

Artroplastia e artrodese do tornozelo
Artrodese
Complicações
Não união - Mais comum 10%
-Como prevenir: Artroscópica, mini-open, + de 2 parafusos
Sobrecarga de articulação adjacente
-Geralmente Subtalar
Artroplastia e artrodese do tornozelo
Artrodese subtalar e talonavicular
Parâmetros
Subtalar 8 a 10º de valgo
Talonavicular: Neutro de abdução/adução
