Bone Diseases 1 Flashcards

(20 cards)

1
Q

When a person is young, what is the status of hematopoietic tissues? Red or fatty?

A

Red

How well did you know this?
1
Not at all
2
3
4
5
Perfectly
2
Q

As a person ages, what is the status of hematopoietic tissues? Red or fatty?

A

Fatty

How well did you know this?
1
Not at all
2
3
4
5
Perfectly
3
Q

If there is a questionable RL area in the mandible, how will a normal, thin mandible feel upon palpation?

A

Feel thin and hard

How well did you know this?
1
Not at all
2
3
4
5
Perfectly
4
Q
Bone turnover is a continuous process
Osteoclasts remove bone
Osteoblasts lay down replacement bone
Space for adequate hematopoietic bone 
marrow is maintained
A

Bone remodeling

How well did you know this?
1
Not at all
2
3
4
5
Perfectly
5
Q

___ remove bone

A

Osteoclasts

How well did you know this?
1
Not at all
2
3
4
5
Perfectly
6
Q

____ deposit bone

A

Osteoblasts

How well did you know this?
1
Not at all
2
3
4
5
Perfectly
7
Q
Asymptomatic radiolucency 
No expansion
Posterior mandible 
Adult females
Histology: hematopoietic bone marrow
A

HEMATOPOIETIC BONE MARROW DEFECT

FOCAL OSTEOPOROTIC BONE MARROW DEFECT

How well did you know this?
1
Not at all
2
3
4
5
Perfectly
8
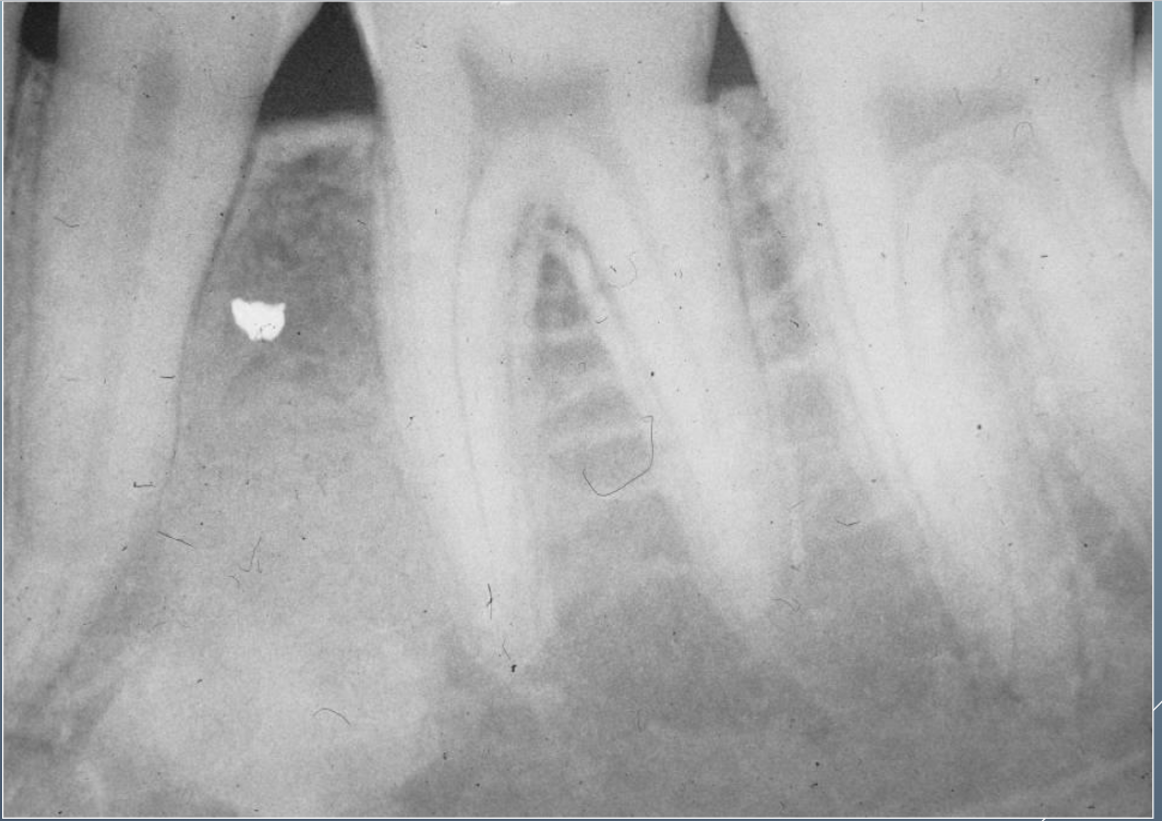
Q

What’s this?

A

HEMATOPOIETIC BONE MARROW DEFECT

FOCAL OSTEOPOROTIC BONE MARROW DEFECT

How well did you know this?
1
Not at all
2
3
4
5
Perfectly
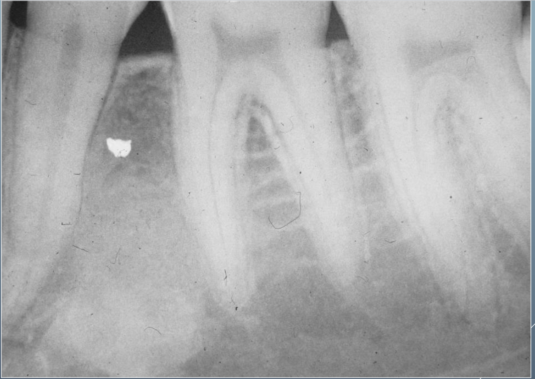
9
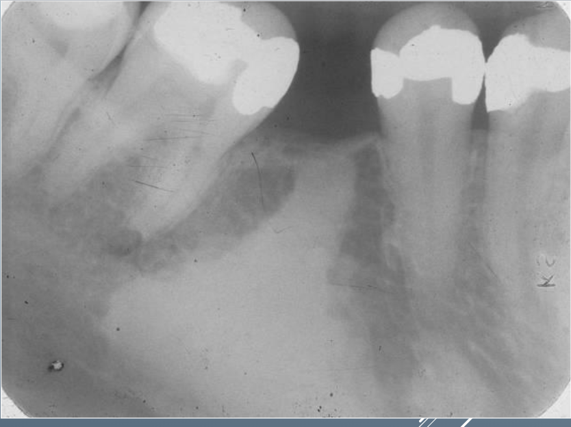
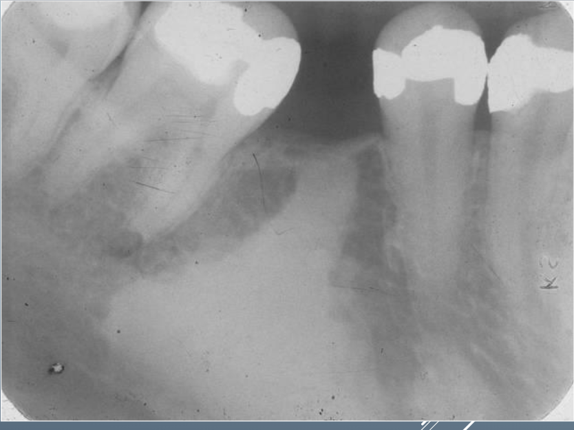
Q

What’s this?

A

HEMATOPOIETIC BONE MARROW DEFECT

FOCAL OSTEOPOROTIC BONE MARROW DEFECT

How well did you know this?
1
Not at all
2
3
4
5
Perfectly
10
Q
Focal area of increased radiodensity
Unknown cause
 Cannot be attributed to any dysplastic, inflammatory, 
neoplastic, or systemic disorder
Asymptomatic
Non-expansile
Mandibular molar-premolar area
Young people – 20s
Unassociated with pathosis (vs condensing osteitis)
Not restricted to the jaws
A

IDIOPATHIC OSTEOSCLEROSIS

How well did you know this?
1
Not at all
2
3
4
5
Perfectly
11
Q

Will the teeth surrounding an IDIOPATHIC OSTEOSCLEROSIS test vital or non-vital?

A

Vital

How well did you know this?
1
Not at all
2
3
4
5
Perfectly
12
Q

Are IDIOPATHIC OSTEOSCLEROSIS related to pathosis?

A

No

How well did you know this?
1
Not at all
2
3
4
5
Perfectly
13
Q

What’s ths?

A

IDIOPATHIC OSTEOSCLEROSIS

How well did you know this?
1
Not at all
2
3
4
5
Perfectly
14
Q

What’s this?

A

IDIOPATHIC OSTEOSCLEROSIS

How well did you know this?
1
Not at all
2
3
4
5
Perfectly
15
Q

What’s this?

A

IDIOPATHIC OSTEOSCLEROSIS

How well did you know this?
1
Not at all
2
3
4
5
Perfectly
16
Q
Focal opacity associated with 
pathosis
Mandibular molars and premolars of 
children and young adults
No radiolucent border
Not separated from apex
A

CONDENSING OSTEITIS

CHRONIC FOCAL SCLEROSING OSTEOMYELITIS

17
Q

Does teeth surrounding CONDENSING OSTEITIS vital or non vital

18
Q

Is condensing osteitis associated with pathosis?

19
Q

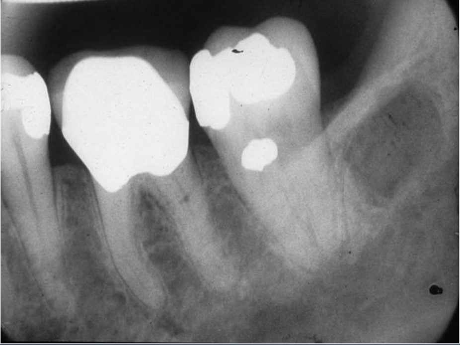
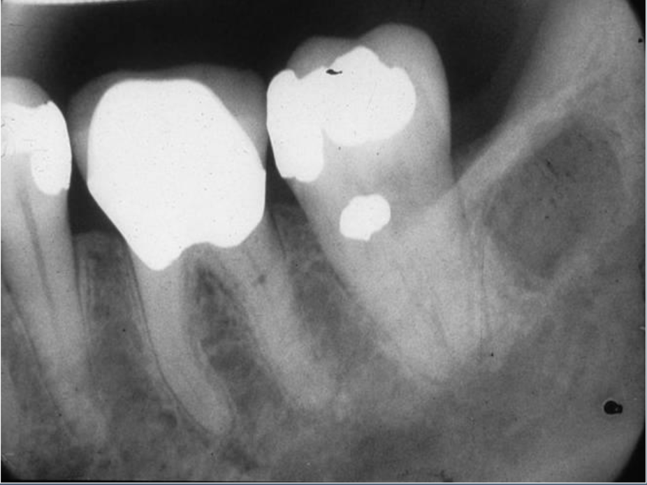
What’s this?

A

CONDENSING OSTEITIS

CHRONIC FOCAL SCLEROSING OSTEOMYELITIS

20
Q

WHAT’S THIS?

A

CONDENSING OSTEITIS

CHRONIC FOCAL SCLEROSING OSTEOMYELITIS