Cardiovascular pathology Flashcards

(37 cards)

1
Q

What is the most common cause of cardiac disease?

A

Atherosclerosis - 80%
Hypertensive heart disease - 9%

How well did you know this?
1
Not at all
2
3
4
5
Perfectly
2
Q

What are the key differences in the histology of a muscular and elastic artery?

A

Elastic -> closer to heart - concentric rings of elastic and muscular tissue
Muscular -> clear internal and external elastic lamina

How well did you know this?
1
Not at all
2
3
4
5
Perfectly
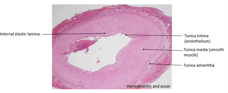
3
Q

What are the key histological layera of a muscular artery?

A

Tunical intima (endothelium)
Internal elastic lamina
Tunica media (smooth muscle)
External elastic lamina
Tunica adventitia

How well did you know this?
1
Not at all
2
3
4
5
Perfectly
4
Q

What are the features of smooth muscle fibres?

A

No striations
Spindle shaped
Single central nucleus

Found in blood vessels, GIT, hollow organs etc

How well did you know this?
1
Not at all
2
3
4
5
Perfectly
5
Q

What are some key risk factors for atherosclerosis?

A

Increasing age
High cholesterol and TG
High BP
Smoking
Diabetes
Obesity
Physical inactivity
High saturated fat diet

How well did you know this?
1
Not at all
2
3
4
5
Perfectly
6
Q

At what stage of occlusion is an atheroma classified as a symptomatic?

A

70% obstruction of the lumen

How well did you know this?
1
Not at all
2
3
4
5
Perfectly
7
Q

What is the key pathology shown in this vessel?

A

An atheroma

How well did you know this?
1
Not at all
2
3
4
5
Perfectly
8
Q

What histological features may be seen in an athermoa?

A

Brown spots -> calcification
Fibrous cap -> collagen and elastin
Cholesterol crystals/clefs and foam cells -> white spaces

How well did you know this?
1
Not at all
2
3
4
5
Perfectly
9
Q

What are the key complications of atherosclerosis?

A

Erosion, ulceration or rupture
Induces thrombosis -> ACS
Aneurysm formation
Atheroembolism

How well did you know this?
1
Not at all
2
3
4
5
Perfectly
10
Q

How do the layers of blood vessels relate to the layers of the heart?

A

Endocardium = tunica intima
Myocardium = tunica media
Epicardium = tunica adventitia

Outer pericardium -> parietal layer (fibrous and adipose), visceral layer

How well did you know this?
1
Not at all
2
3
4
5
Perfectly
11
Q

How does a subendocardial/transmural myocardial infarction relate to the anatomy of the coronary arteries?

A

Arteries in the epicardium
The innermost myocardium (just superficial to endocardium hence subendocardial) is the furthest away -> longer perfusion distance -> hence dies first in infarction.

How well did you know this?
1
Not at all
2
3
4
5
Perfectly
12
Q

On gross pathology what does an area of infarction look like?

A

Yellow/lightish tinge

How well did you know this?
1
Not at all
2
3
4
5
Perfectly
13
Q

What are the histological features of cardiac muscle?

A

Striated
Branching
Single circular nucleis
Intercalated disks
Rectangular shape

How well did you know this?
1
Not at all
2
3
4
5
Perfectly
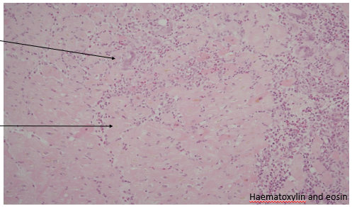
14
Q

What are the histological features of MI from 6hrs to 24hrs?

A

Widened spaces between myocytes due to oedema
Loss of nuclei
May also see haemorrhage (lots of rbcs) - not shown in this image

How well did you know this?
1
Not at all
2
3
4
5
Perfectly
15
Q

What are the histological features of 1-3days post MI of myocardium?

A

Inflammatory cells - neutrophils
Large areas of oedema and muscle loss

How well did you know this?
1
Not at all
2
3
4
5
Perfectly
16
Q

What are the histological features 3d to 2w post MI of myocardium?

A

Majority is inflammatory cells including macrophages (clear necrotic myocytes)
Damages area replaced by vascularised granulation tissue in 1 -2 w.

17
Q

When should PCI be offered to treat a STEMI?

A

If present within 120 mins of symptom onset
AND - can be given within 120mins of when fibrinolysis could have been given.

17
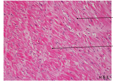
Q

What are the histological features of well healed myocardial infarction (scar tissue) 2-6 weeks?

A

Dense collagenous fibrous tissue
Light pink sheets with no nuclei
May have some residual myocytes

18
Q

What is the gold standard test for diagnosis of myocarditis?

A

Endomyocardial biopsy.

19
Q

What is the most common viral cause of myocarditis?

A

Coxsackie virus

20
Q

What are the key infectios disease causing myocarditis?

A

Viral - coxsackie, parvovirus B19, HHV 6
Bacterial - chlamydiae, borellia

Rickettsia
Plasmodium
Toxoplasma

21
Q

What immune mediated causes of myocarditis?

A

Post infections/viral
Post streptococcal (Rheumatic fever

Systemic inflammatory disorders such as SLE

Drug hypersentivities - antibiotics, vaccines, anticonvulsants

22
Q

What are the key histological findings of myocarditis?

A

Myocardium -> interstitial inflammatory infiltrate
Myocyte damage - nucleus loss

23
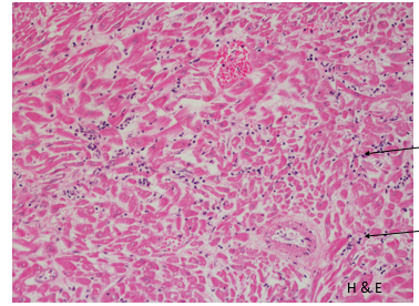
Q

What are the key histological findings in the image of myocardium?

A

Multinucleated giant cells (from fusion of macrophages)
is a giant cell myocarditis

24
What is the key management of myocarditis?
Treat cause: if infective antivirals etc, if immune mediated corticosteroids Supportive Most patients recover spontaneously
25
What is a potential complication of myocarditis?
Dilated cardiomyopathy
26
What are some predisposing factors for infective endocarditis?
Rheumatic heart disease Mitral valve prolaspe Degenerative calcific valvular stenosis Artificial (prosthetic) valves
27
What are the common sources of infection in infective endocarditis?
Dental or surgical procedure IVDU Ivasive vascular procedure (central lines)
28
What are the common causative organisms of infective endocarditis?
Streptococcus viridans (from oral cavity) Staph aureus (skin - IVDU) or hospital acquired Enterococci HACEK
29
What is key for the diagnosis of infective endocarditis?
3 sets of blood cultures Transthoracic or transesophageal echo
30
What is the key histological features of infective endocarditis?
Neutrophil Bacterial colonies (Dark purple)
31
What are some potential complications of infective endocarditis?
Septic emboli - pyogenic brain abcess, stroke Roth spots (retina) Septic pulmonary emboli Peripheral fingers infacts Aortic valve perforation Mitral valve regurg Acute heart failure (from acute valve failure
32
What is nonbacterial thrombotic endocarditis?
Deposition of small sterile thrombi on leaflets of cardiac wall Common in debilitated patients - cancer, sepsis Thrombi loosely attach so can become embolic
33
What is endocarditis of SLE? (Libman-sacks)
Small sterile vegations on cardiac valves of patients with SLE Vegetations = finely granular fibrinous and eosinophilic material.
34
What is the difference between systolic and diastolic heart failure?
Systolic failure – left ventricle (LV) loses ability to contract (pump) – measured using LV ejection fraction Diastolic failure – left ventricle has reduced ability to fill (stiffness) and is unable to fill with blood between heart beats
35
What are the typical causes of systolic heart failure?
CAD Arterial HTN Valvular heart disease (volume load) Arrhthmia INflammatory Idiopathic/toxic cardiomyopathy
36
What are the typical causes of diastolic heart failure?
Diabetes mellitus Arterial HTN Valvular heary disease (pressure load) Hypertrophic cardiomyopathy Restricted cardiomyopathy Constrictive pericarditis Amyloidosis