Cervical Spine Lateral View Flashcards

(15 cards)

1
Q

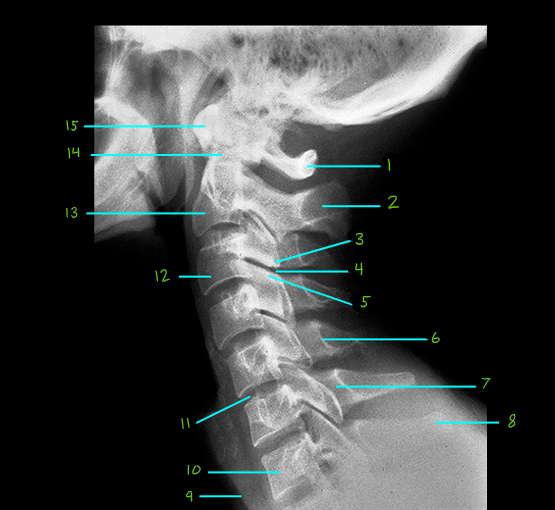
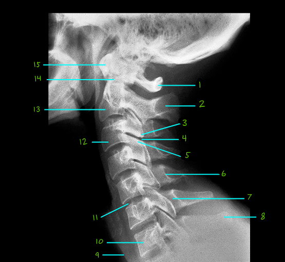
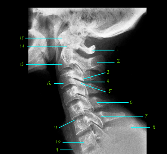
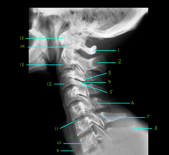
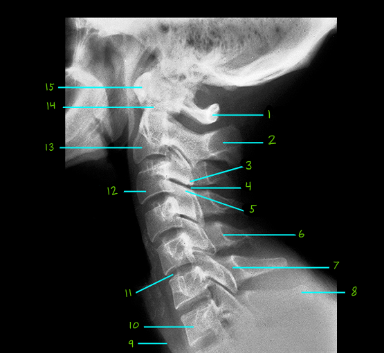
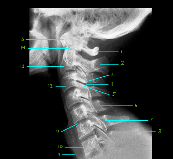
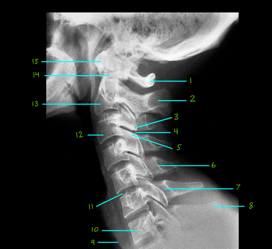
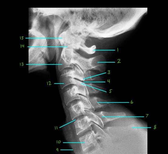
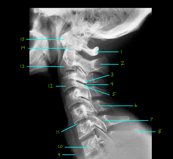
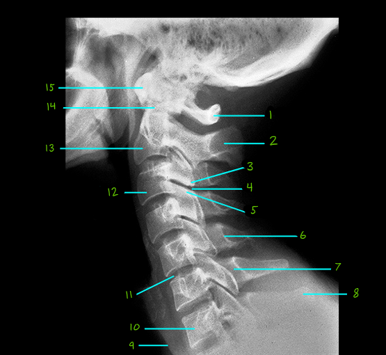
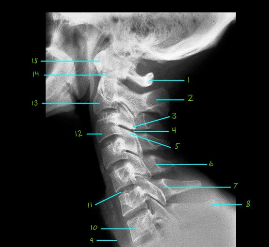
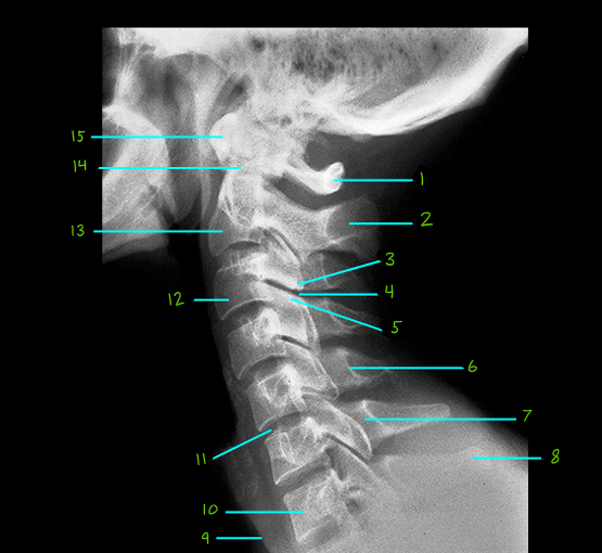
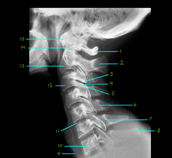
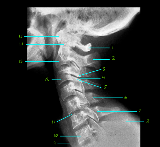
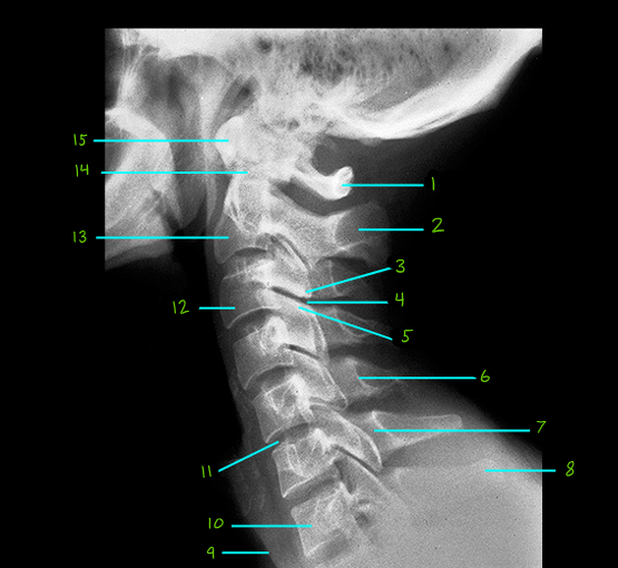
What is #1

A

Posterior Arch of the Atlas

How well did you know this?
1
Not at all
2
3
4
5
Perfectly
2
Q

What is #2

A

Spine of the Axis

How well did you know this?
1
Not at all
2
3
4
5
Perfectly
3
Q

What is #3

A

Inferior Articular Process

How well did you know this?
1
Not at all
2
3
4
5
Perfectly
4
Q

What is #4

A

Facet Joint

How well did you know this?
1
Not at all
2
3
4
5
Perfectly
5
Q

What is #5

A

Superior Articular Process

How well did you know this?
1
Not at all
2
3
4
5
Perfectly
6
Q

What is #6

A

Posterior Wall of the Vertebral Canal

How well did you know this?
1
Not at all
2
3
4
5
Perfectly
7
Q

What is #7

A

Lamina

How well did you know this?
1
Not at all
2
3
4
5
Perfectly
8
Q

What is #8

A

Spine of C7

How well did you know this?
1
Not at all
2
3
4
5
Perfectly
9
Q

What is #9

A

Soft Tissue Contour

How well did you know this?
1
Not at all
2
3
4
5
Perfectly
10
Q

What is #10

A

Body of C7

How well did you know this?
1
Not at all
2
3
4
5
Perfectly
11
Q

What is #11

A

Intervertebral Disc

How well did you know this?
1
Not at all
2
3
4
5
Perfectly
12
Q

What is #12

A

Body of C3

How well did you know this?
1
Not at all
2
3
4
5
Perfectly
13
Q

What is #13

A

Body of the Axis (C2)

How well did you know this?
1
Not at all
2
3
4
5
Perfectly
14
Q

What is #14

A

Odontoid Process (Dens)

How well did you know this?
1
Not at all
2
3
4
5
Perfectly
15
Q

What is #15

A

Anterior Arch of the Atlas (C1)

How well did you know this?
1
Not at all
2
3
4
5
Perfectly