
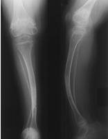
osteogenesis imperfecta as characterized by bowed long bones

cherubism

osteopetrosis

osteogenesis imperfecta as characterized by wormian bones of the skull (sutures)

osteopetrosis

focal osteoporotic marrow defect
likely filled with blood
no epithelial lining

aneurysmal bone cyst

osteogenesis imperfecta as characterized by blue sclera

central giant cell granuloma

paget’s disease of bone

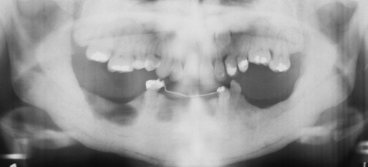
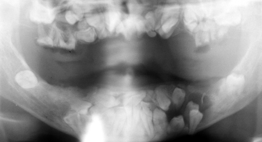
cleidocranial dysplasia

paget’s disease of bone

central giant cell granuloma

osteogenesis imperfecta as characterized by brown translucence of teeth and radiographs showing shell teeth with thin dentin and enamel of normal thickness

idiopathic osteosclerosis
pt also has hypoplastic clavicles

cleidocranial dysplasia