
ossifying fibroma

osteoid osteoma

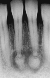
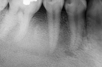
periapical cemento-osseous dysplasia

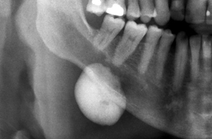
cementoblastoma

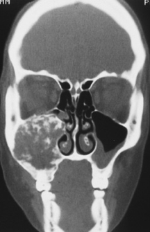
monostotic fibrous dysplasia

florid cemento-osseous dysplasia

juvenile (active) ossifying fibroma

monostotic fibrous dysplasia

florid cemento-osseous dysplasia

periapical cemento-osseous dysplasia

monostotic fibrous dysplasia

chondroma

florid cemento-osseous dysplasia

polyostotic fibrous dysplasia

gardner syndrome

synovial chondromatosis

periapical cemento-osseous dysplasia


focal cemento-osseous dysplasia

osteoblastoma
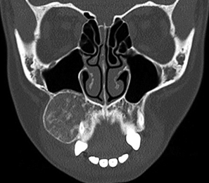
notice it is >2cm

osteoma

monostotic fibrous dysplasia