
localized transient lingual papillitis

generalized transient lingual papillitis

diffuse, papulokeratotic variant transient lingual papillitis

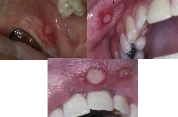
recurrent aphthous ulceration - minor

RAU major

RAU herpetiform

sarcoidosis

orofacial granulomatosis

wegener’s granulomatosis

wegeners granulomatosis

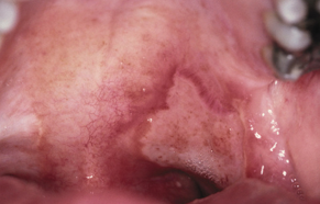
contact stomatitis from cinnamon flavoring

contact stomatitis from cinnamon flavoring

contact stomatitis from cinnamon flavoring

angioedema