Computed Tomography (CT) - QUIZ Flashcards

(7 cards)

1
Q

Match the tissues to their density (lowest to highest Hounsfield Units).
Match the tissues to their density (lowest to highest Hounsfield Units).

a) Air
b) Acute blood
c) Water
d) Fat
e) Bone

A

a) Air (-1000)
d) Fat (-30 to -70)
c) Water (0)
b) Acute blood (+60 to +100)
e) Bone (+1000)

How well did you know this?
1
Not at all
2
3
4
5
Perfectly
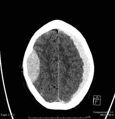
2
Q

The CT head shows all of the following, except?

a) Effacement of sulci (sign of high ICP)
b) Subdural hematoma
c) Midline shift
d) Epidural hematoma

A

c) Midline shift

How well did you know this?
1
Not at all
2
3
4
5
Perfectly
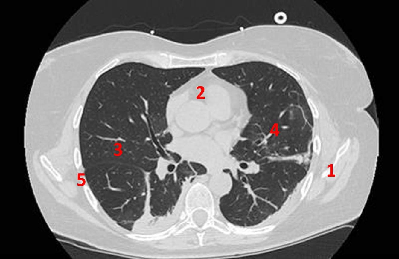
3
Q

Name the numbered anatomical structures on this chest CT.

A

1) Scapula
2) Heart
3) Right lung
4) Left lung
5) ribs

How well did you know this?
1
Not at all
2
3
4
5
Perfectly
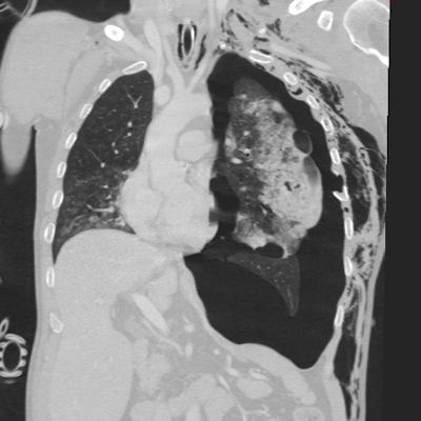
4
Q

In this hemodynamically unstable patient, what is your first intervention after seeing this CT?

a) Left needle thoracostomy
b) Start blood transfusion
c) Pericardiocentesis
d) Mechanical ventilation with high PEEP
e) Intubation

A

a) Left needle thoracostomy

How well did you know this?
1
Not at all
2
3
4
5
Perfectly
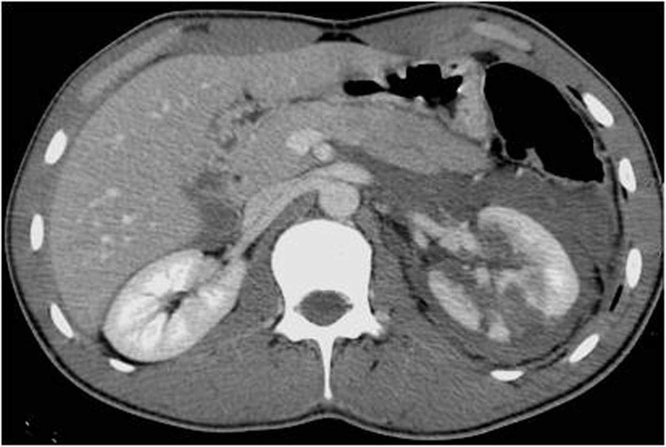
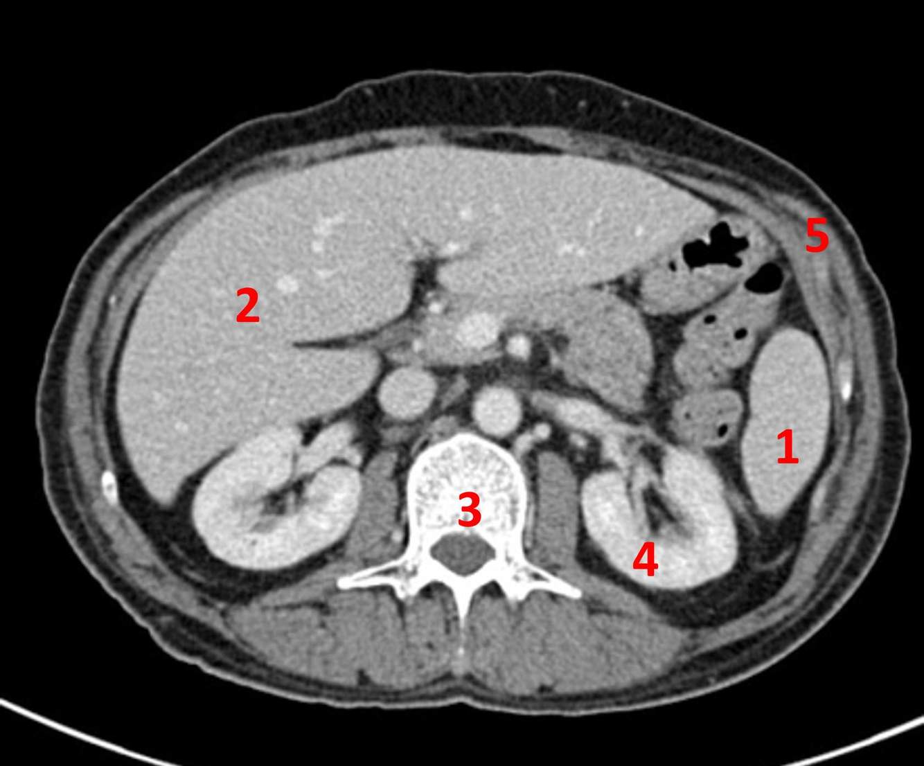
5
Q

Name the numbered anatomical structures on this abdominal CT.

A

1) Spleen
2) Liver
3) Lumbar vertebra
4) Kidney
5) Abdominal wall

How well did you know this?
1
Not at all
2
3
4
5
Perfectly
6
Q

This is a CT of a motorcyclist hit by a car. What injury does the abdominal CT show?

a) Penetration of the abdominal wall
b) Splenic laceration
c) Liver laceration
d) Kidney laceration
e) Lumbar vertebra fracture

A

d) Kidney laceration

How well did you know this?
1
Not at all
2
3
4
5
Perfectly
7
Q

What is the most accurate description of this CT of the thoraco-lumbar spine?

a) There is significant anterior displacement of L1 compared to L2
b) The mechanism of injury is unlikely to be axial loading
c) This is a burst fracture
d) There is no risk of spinal cord injury
e) Normal CT

A

c) This is a burst fracture

How well did you know this?
1
Not at all
2
3
4
5
Perfectly