CONDROMALÁCEA PATELAR Flashcards

(11 cards)

1
Q

Como se caracteriza a condromalácea patelar?

A

Amolecimento e degeneração da cartilagem patelar.

How well did you know this?
1
Not at all
2
3
4
5
Perfectly
2
Q

Quais pacientes são mais afetados pela condromalácea patelar?

A

Mulheres jovens, jovens atletas e idosos.

How well did you know this?
1
Not at all
2
3
4
5
Perfectly
3
Q

Quais são os sintomas comuns da condromalácea patelar?

A

Dor anterior no joelho, piora ao descer escadas e crepitação.

How well did you know this?
1
Not at all
2
3
4
5
Perfectly
4
Q

Como é o tratamento cirúrgico da condromalácea patelar?

A

Correção do mal alinhamento, desbridamento artroscópico e, em casos graves, patelectomia.

How well did you know this?
1
Not at all
2
3
4
5
Perfectly
5
Q

O que é “Movie Sign” ou “Theater Sign”?

A

Piora da dor após permanecer sentado por um tempo, comum na condromalácea.

How well did you know this?
1
Not at all
2
3
4
5
Perfectly
6
Q

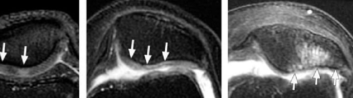
Qual é o principal achado na RNM da condromalácea patelar?

A

Edema ósseo e lesões na cartilagem patelar.

How well did you know this?
1
Not at all
2
3
4
5
Perfectly
7
Q

Qual a prevalência da condromalácea patelar em jovens?

A

Estimada entre 2 a 10% em estudos epidemiológicos.

How well did you know this?
1
Not at all
2
3
4
5
Perfectly
8
Q

Quais fatores contribuem para a condromalácea patelar?

A

Biomecânica, atividades esportivas e fatores hormonais.

How well did you know this?
1
Not at all
2
3
4
5
Perfectly
9
Q

Como o líquido sinovial ajuda na nutrição da cartilagem?

A

Fornece nutrientes necessários para manter a saúde da cartilagem.

How well did you know this?
1
Not at all
2
3
4
5
Perfectly
10
Q

Qual é a importância do fortalecimento do quadríceps?

A

Ajuda a aliviar a pressão na articulação femoropatelar.

How well did you know this?
1
Not at all
2
3
4
5
Perfectly
11
Q

Qual é a classificação da condromalácea patelar?

A

Graus I a IV, com base na gravidade da lesão cartilaginosa.

How well did you know this?
1
Not at all
2
3
4
5
Perfectly