Case Flossie

Discuss this case?
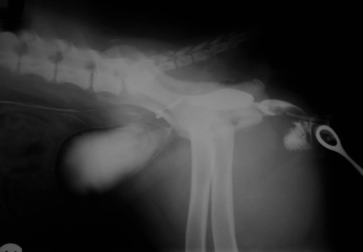
•Normal IVU & RVU showing no evidence of
–ectopic ureter
–megaureter
–hydronephrosis
–bladder hyoplasia
–urethral anomaly
–uroliths
Case Chewbacca

Discuss this case?
–visible on the lateral and VD views
–visible at different time points during the study

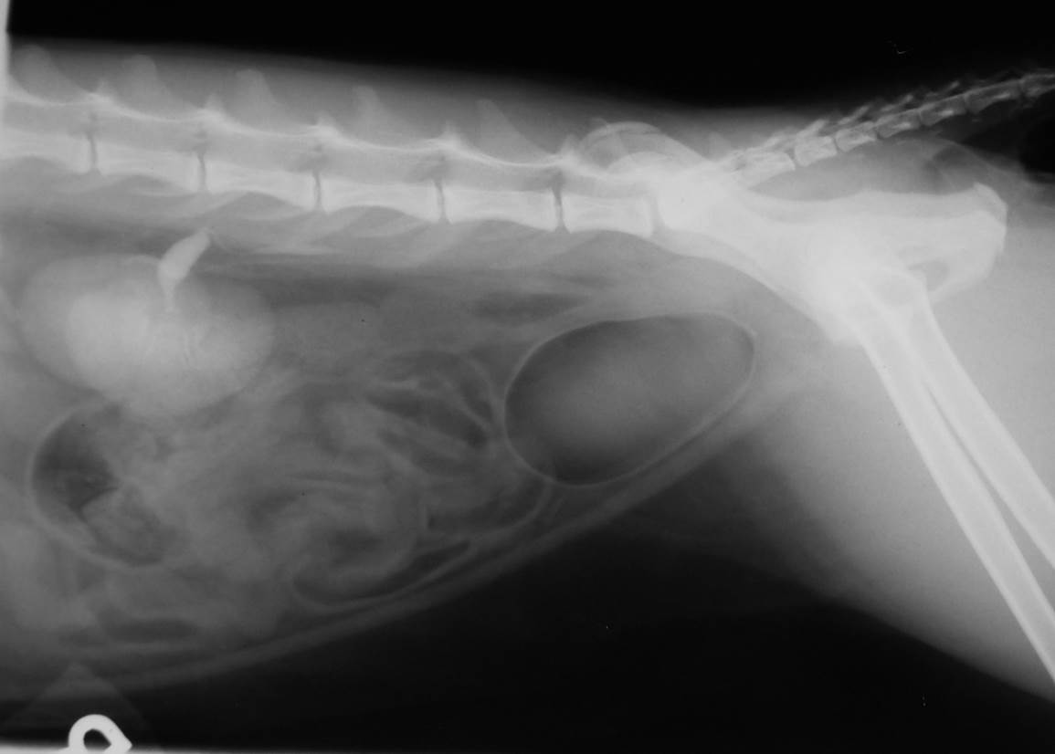
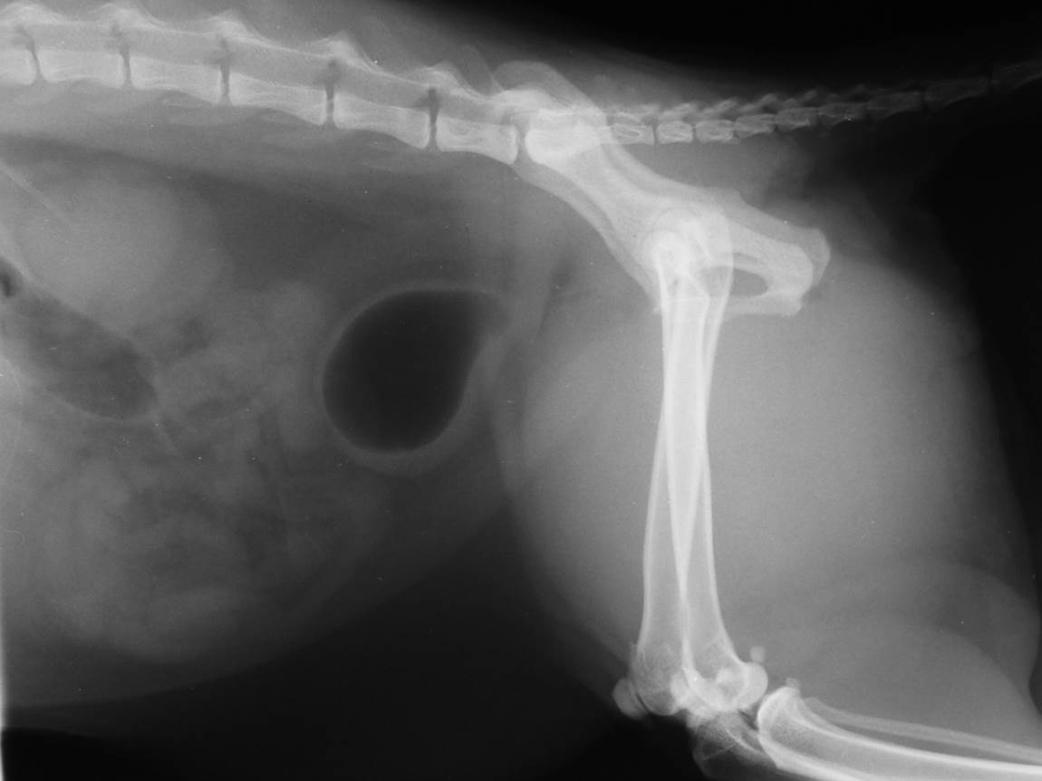
Case Nutty
Discuss this case?

–loss of the normal tear drop shape of the bladder
–urethra relatively short/kinked
–urinalysis including culture
–treatment trial with phenylpropanolamine +/- estriol

Case Joss

Discuss this case?
–catheter biopsy hopefully to confirm a benign/inflammatory lesion
–focus on identifying a UTI and managing with a prolonged course of antibiotics (?6-8 weeks minimum)
–surgical curettage of the bladder
What is Polypoid cystitis?
Polypoid cystitis is a rare disease of the urinary bladder in dogs characterized by inflammation, epithelial proliferation, and development of a polypoid mass or masses without histopathologic evidence of neoplasia.
What bacteria are/have been isolated in polypoid cystitis?
Proteus spp were the most common bacterial isolates (12/52 or 23.1%) identified when all urine samples obtained for culture at any time during the course study were considered. Other commonly isolated organisms included Escherichia coli , Staphylococcus spp, and Enterococcus spp. Several dogs (7/17) also had cystic calculi at some time during the course of their disease.
Where are most of the masses found in polypoid cystitis?
Most of the masses (11/14) were located cranioventrally in the bladder as opposed to transitional cell carcinoma, which has a predilection for the bladder neck or trigone area. It is unknown whether persistent or recurrent UTI predisposes to polyp formation or if polyps predispose to UTI.
What is the treatment for polypoid cystitis?
Surgery and removal of all polyps was the most efficacious treatment in dogs of this study. The question of whether or not polyps represent preneoplastic lesions remains unanswered and constitutes an area for future investigation
Case Beaver

Discuss this case?
•DCC and retrograde urethrogram
–poor quality urethrogram, poor filling of urethra, air bubbles ++. This study is important to rule out strictures, urethral plug, calculi.
•Bladder has identical appearance on both films
–small (likely not possible to distend further or at least not safely)
–thickened wall
–repeat retrograde to rule out stricture/urolith but doesn’t seem obstructed
–urinalysis especially for urine culture in case UTI following recent catheterisation during last episode of clinical signs
•Diagnosis: likely to be FLUTD, idiopathic cystitis

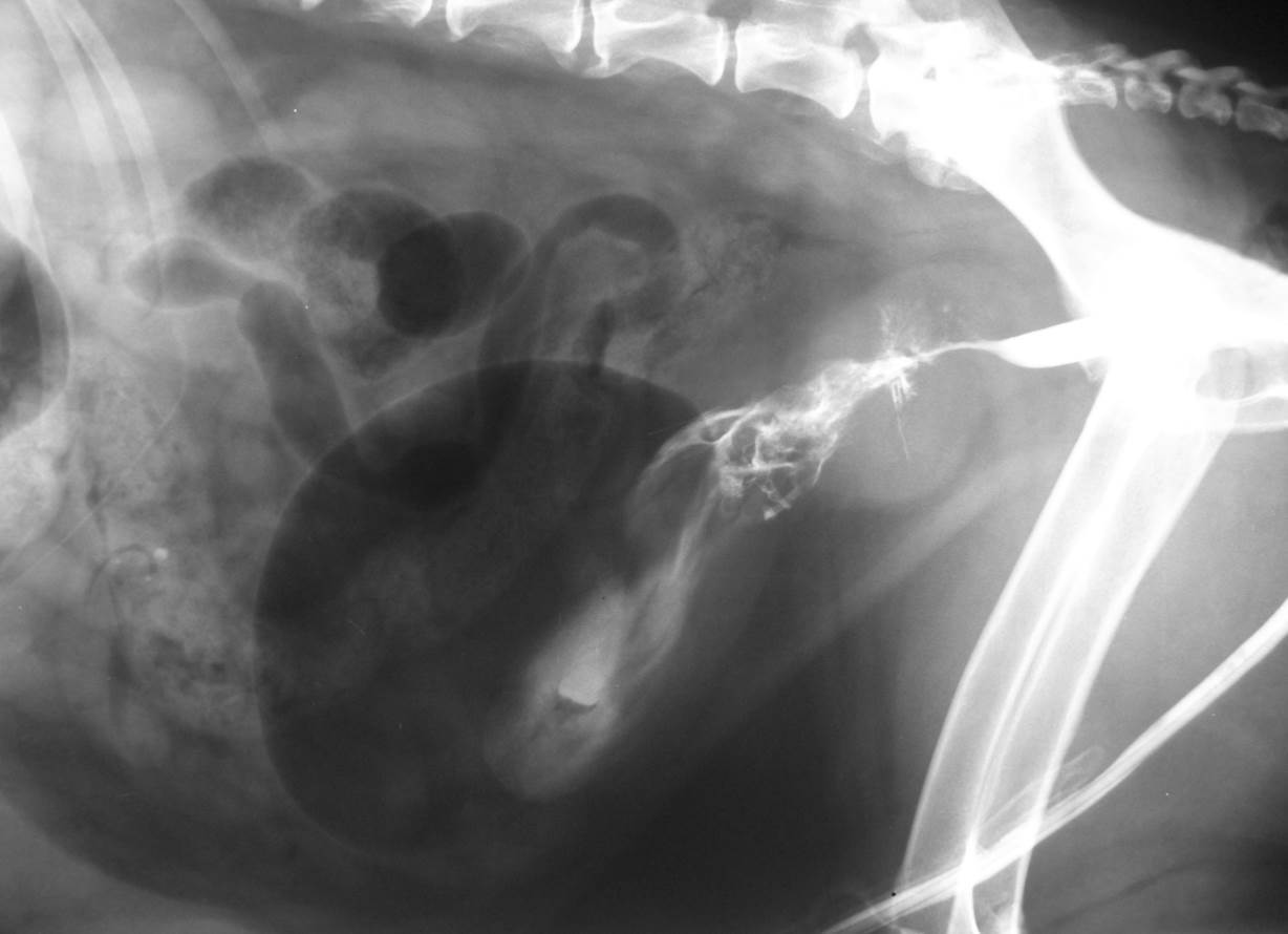
Case Teal

Discuss this case?
–not typical position for a TCC, consider other tumours such as leiomyoma might be possible
–consider other differentials such as haematoma esp if more acute history

Case GRACIE

Discuss this case?

Case Lucky

Discuss this case?
–review clinical history with owners regarding further diagnostics
•eg ultrasound scan of the prostate?
–rectal exam to assess pelvic diaphragm
•uni or bilateral rupture?
–surgical repair
Case Mutley

Discuss this case?

Case Chester

Discuss this case?
–enlarged and asymmetric
–diffuse mineralisation
–some contrast extravasation in to the prostate
•Urethra:
–narrowed in prostatic region

Case Bobby

Discuss this case?

Why we might (mistakenly) avoid contrast studies….
** Remember: