List 3 causes of sudden onset shortness of breath (seconds)
Pneumothorax- rupture of bullae
PE
FB
List 3 causes of shortness of breath occurring within minutes
Inflammation/ obstruction of airways
Chest infection (pus)
Acute heart failure (fluid)
List 5 causes of shortness of breath persisting for days/ weeks
Interstitial lung disease
Malignancy
Large pleural effusion
Neuromuscular
Anaemia
What treatment is required for primary pneumothoraces <2cm and >2cm?
< 2cm: Discharge, repeat CXR
> 2cm: Aspiration, if unsuccessful chest drain
What treatment is required for secondary pneumothoraces <2cm and >2cm?
< 2cm: Aspiration
> 2cm: chest drain
What signs may be seen on ECG due to a PE?
Signs of strain on the right side of the heart
RBBB
Right axis deviation
S1Q3T3
What is the significance of either lead I or II being negative? What else should you look at?
Axis deviation
Overall +ve avL= LEFT axis deviation
Overall -ve avL= Right axis deviation
What is the likely diagnosis in a: 50y F with chronic SOB, sputum, no clubbing + FEV1/FVC ratio < 70% ? What features may be seen on CXR?
COPD
Lung hyperinflation
Flattened diaphragm
What is the likely diagnosis in a patient with: Cough sputum wt loss Night sweats fluffy airspace shadowing on CXR
Pulmonary TB
What is the likely diagnosis in a: 70y M SOB Keeps pigeons CXR: bilateral reticular nodular shadowing
Extrinsic allergic alveolitis
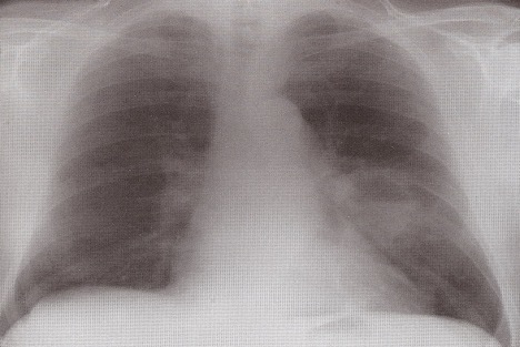
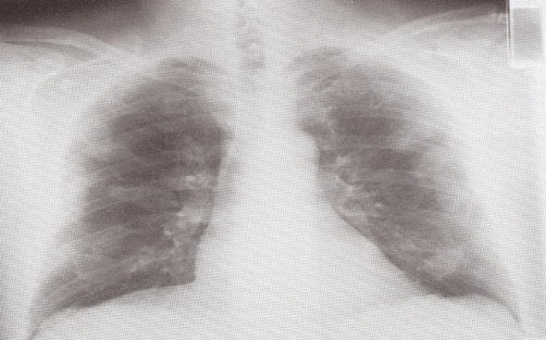
What features are seen on this CXR? What is the likely diagnosis?

hyperexpanded + flattened diaphragm
COPD
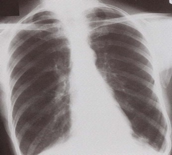
What features are seen on this CXR? What is the likely diagnosis?

Lung markings absent on left
Pneumothorax
What features are seen on this CXR? What is the likely diagnosis?

Airspace fluffy shadowing
Pneumonia
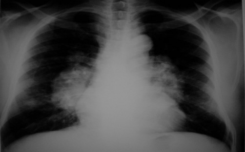
What features are seen on this CXR? What is the likely diagnosis?

Bilateral airway shadowing
Pulmonary oedema
What features are seen on this CXR? What is the likely diagnosis?

Reticular nodular pattern
Pulmonary fibrosis
What features are seen on this CXR? What is the likely diagnosis?

Homogenoeus left pleural effusion
What features are seen on this CXR? What is the likely diagnosis?

Right lung collapse
What features are seen on this CXR? What is the likely diagnosis?

Left cavitating lesion with air-fluid level visible
Infection (TB)
Inflammation (RA)
Malignancy (squamous cell carcinoma)
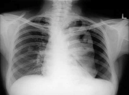
What features are seen on this CXR? What is the likely diagnosis?

Globular outline of the heart
Enlarged heart
Pericardial effusion
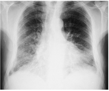
What features are seen on this CXR? What is the likely diagnosis?

Bilateral hilar lymphadenopathy
Infection (TB)
Inflammation (sarcoid)
Malignancy (lymphoma)
What features are seen on this CXR? What is the likely cause?

Pleural plaques
Asbestos exposure
What are the different causes of shadowing based on distribution?
Alveolar/ interstitial shadowing: fluid (heart failure) or pus (pneumonia)
–reticulonodular shadowing (fibrosis)
–homogeneous shadowing (pleural effusion)
What is suggested by a reticulo-nodular pattern of opacities?
Pulmonary fibrosis
What is suggested by homogeneous shadowing?
Pleural effusion