Endocrine anatomy Flashcards

(3 cards)

1
Q

Label this dog prosection (ignore D)

A
How well did you know this?
1
Not at all
2
3
4
5
Perfectly
2
Q

Label the brain (ignore yellow and 8)

A
How well did you know this?
1
Not at all
2
3
4
5
Perfectly
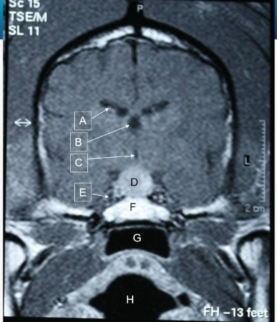
3
Q

Label this brain MRI

A
How well did you know this?
1
Not at all
2
3
4
5
Perfectly