Var finns hypofysen och vad är dess uppgift?
Under hjärnbihanget
Överordnat endokrint organ
Ärt stor, bakom synnervskorset i sella tursica
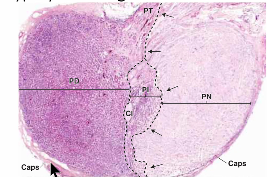
2 delar
Neurohypofys (baklob) — infundibulun och pars neurosa (körteln)
Adenohypofys (framlob) — pars tuberalis, pars intermetra och pars distalis (körteln)
Eminentia mediana, hypothalamus, synnervskorset

Vilka celler och hormoner finns i adenohypofysen?
Kromofoba (ej färgade granula - ca 50%)
Kromofila (färgbara granula - ca 50%)
Parasintermedia mellan neuroadenohypofysen — hålrum/blåsaor med kolloid, rester av Ratkes ficka
Paratuberalis — svagt basofila celler — frisätter ACTH men liten funktion på människan
Minnes regel

Hur bildas hypofysen?
Neurohypofysen utgår från neuroektodermet
Adenohypofysen utgår från ororfarynx-ektoderm
Resterna av Rathkes ficka kan ses i folliklarna i parasintermedia

Vilka celler och hormoner finns i neurohypofysen?
Pars neurosa består av sekretoriska synapser och mycket blodkärl runtom
Somat finns i hypothalamus (nucelus paraventrikularis & nucleus supraoptikus) och axonet går genom infundbubum
Hormoner
Pituicyter i neurohypofysen men producerar ej hormoner — astroglia lika i form och funktion, med avlånga kärnor och support
Hormon frisätts som transmittor → aktionspotential kommer in, kalcium, och frisättning med vit depolarisering → direkt till området kring blodkärl och diffunderar in i blodet

Hur regleras hormonfrisättning från hypofysen?

Vilka exempel finns på reglering av adeno- respektive neurohypofysen hormonfrisättning?

Hur ser hypofysen ut i mikroskop?

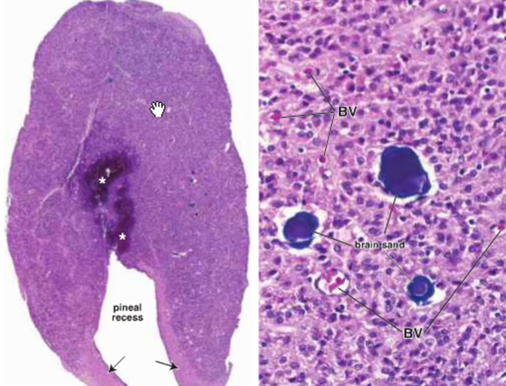
Var finns epifysen och vad är dess uppgift?
Övre hjärnbihanget i 3:e ventrikelns bakre tak
Unilateral struktur

Vilka celler finns i epifysen?
Pinealocyter (90-95%)
Astrocyter (5-10%)
Vad är karaktäristiskt för epifysen i mikroskop?
Hjärnsand (corpora arenacea - acervuli cerebri) — kalcium salter är karaktärisktiskt → ökar med åldern

Var finns tyroidea och hur är den uppbyggd?
Relativt stor, 20-30g
Framför larynx
Vanligtvis biloberad — vissa har en pramidlob i mitten
Istmus mellan loberna
Körtelvävnaden: kapsel med trabekler runt - ca 100 000 folliklar
Follikelceller och para-follikulära celler — utanför eller basalt i follikeln
Parafollikulära cellen (C-cellen) — frisätter calcitonin som sänker plasma [ca2+] via sänkt oestoklastaktivitet och höjd osteoblastaktivitet

Hur frisätts thyroidea hormoner?
Tetrajodtyronin (tyroxin) (T4) och trijodtyronin (T3)
Tyronin bildas av 2 tyrosiner
Grönt — proteinet tyroglobulin bildas i RER och transporteras ut till follikeln — rikt på tyrosiner
Rött/grönt — joderat tyroglobin — lager för T3/T4
Endocytos av joderat tyroglobin → sedan bildar en sen endosom och lysosom → nedbrytning med lysosomala enzymer — kvar blir T3/T4 som kan frisättas
Regleras av TSH från hypofysen
20T4 x T3 — T3 = 5 x T4-aktivitet

Vilka funktioner har tyroidea hormoner?
Ökad metabolism (värme)
Normal kropps-och-hjärn tillväxt under uppväxt
Hur ser tyroidea ut i mikroskop?
Folliklar med olika storlek — ett lager kubiska follikelceller
Större ljusar para-follikulära celler utanför folliklarna

Vad består paratyroidea av?
Huvudceller — små och mörka
Oxyfila celler — lite större (cytoplasma) och starkt acidofila
Adipocyter — insprängda som ökar med åldern
Kapsel med blodkärl
Minst 2 par på tyroidea och/eller thymus (< 10%)

Vilka hormon frisätter parathyroidea?
Huvudceller producerar parathormon (PTH) → höjer blod-kalcium bl.a. vid ökning i osteoklastaktivitet → ökat upptag av kalcium i njure och tarm
Var finns binjurarna och hur är den uppbyggd?
Glandulae suprarenales
I perireonalt fett ovanför njurarna
Triangulärt utseende med kapsel runtomkring
Kapselartären delas upp i 2 typer av kärl
Bark med 3 zoner som producerar olika hormoner

Hur är binjurebarken uppbyggd?
Zona glomerulosa — celler i kluster - sfärer
Zona fascikulata — cellerna i radeer
Zona retikularis — mindre celler, mera kompakt utseende

Vilka hormoner frisätter barken?
Frisätter steroidhormoner till sinusoider → märgvener → cirkulationen
Hur är binjurarnas märg uppbyggd?
Innehåller sinuoider, vener och märgceller
Märgcellerna är specialiserade ganglieceller som saknar axon — i det sympatiska NS
MC kallas kromaffina eftersom de färgas med krombaserade färgämnen
MC frisätter adrnalin och noadrenalin 80/20 → höjer frekvensen i hjärtat, rasiodilation i muskel, vasokonstriktion i hud och MTK — blod glukos går upp och anabola reaktioner ner
