explain the ras pathway and how mutation leads to kras cancer
- mutated ras (kras): hydrolysis of bound GTP (first stage in pathway) occurs v slowly. GTP is bound to ras in unhydroloysed form - ras is permenantly switched on. continois proliferation and growth.
innate immunity tries to take out pathogens. the system uses complement blood proteins. name 2 that do this and their role
Uses complement blood proteins that
which bacteria do exotoxins and which do endotoxins?
exootoxins: gram postive & gram negative
endotoxins: gram negative -> from the LPS layer of wall !
what can type 2,3, & 4 hypersensitivty be
Type II: IgG/IgM to patients own RBCs due to M. pneumonia
Type III: complement activation causing inflammation e.g. S. pyogenes causing glomerulonephritis
Type IV: T cell mediated e.g. TB granulomas
1-4: ACID

•Increased K+ permeability of the post-synaptic membrane will result in which type of potential?
Inhibitory post synpatic signal
the normal pH range of blood = ?
can u name a location in the body which is alkali?
•The normal pH of blood: 7.35-7.45
alkali: small intestine - pH of 8
whats a buffer?
A solution that can resist pH change upon the addition of an acid or a base.
what is the equation for bicarobate buffer? what enzume?
Co2 + H20 ⇌ H2C03 ⇌ HCO3- + H+
enyme: carbonic anhydrase
acid / base disorders:
If the problem is with the respiratory system, the kidneys can compensate by altering HCO3-. How is this altered for acidosis & alkalsosi?
If the problem is with the respiratory system, kidneys:
acid / base disorders:
If the problem is metabolic, the lungs can compensate by altering Co2 levels. How is this altered for acidosis & alkalsosi?




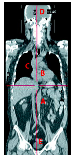
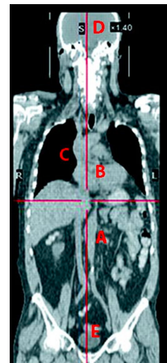
What are each of these body cavities?

A. Abdomen
B. Mediastinum
C. Pleural
D. Cranial
E. Pelvic







which nuclei in the hypothalamus recieve information regarding:
a) warm temperatures [1]
b) cold temperatures [2]
- preoptic area (POA) monitors core temperature: recieves input from warm receptors from skin and and internal receptors
how many ATPs are used [1] and produced [1] in glycolysis?
2 used
4 produced
what are the products of Krebs cycle? [4]
what is structure of aspirin like in
i) stomach [1]
ii) blood [1]
what is structure of aspirin like in
i) stomach [1] R-COOH. lipid soluble
ii) blood [1] R-COO- water soluble
what is the defintion of a prodrug [1]
A prodrug is a medication or compound that, after administration, is metabolized (i.e., converted within the body) into a pharmacologically active drug.
label A-D stages of cancer development:
A
B
C
D

label A-D stages of cancer development:
A: hyperplasia
B: metaplasia
C: dysplasia
D: anaplasia

what are the different modes of actions for antiobiotics? (2)
what are the spectrums for antiobiotics? (2)
Mode of actions
Bactericidal : Kills bacteria
Bacteriostatic: Inhibit bacterial replication
Spectrum
Broad: both aerobes and anaerobes
Narrow: either aerobes or anaerobes or a specific gram +/-
what are the different modes of actions for antiobiotics? (2)
what are the spectrums for antiobiotics? (2)
Mode of actions
Bactericidal : Kills bacteria
Bacteriostatic: Inhibit bacterial replication
Spectrum
Broad: both aerobes and anaerobes
Narrow: either aerobes or anaerobes or a specific gram +/-