Gastro: DRGE Flashcards

(52 cards)

1
Q

Qual o principal mecanismo envolvido na DRGE?

A

relaxamento transitório do EIE

How well did you know this?
1
Not at all
2
3
4
5
Perfectly
2
Q

Manifestações da DRGE:

A

pirose

regurgitação

tosse/rouquidão

How well did you know this?
1
Not at all
2
3
4
5
Perfectly
3
Q

Paciente com sintomas típicos, sem complicações, o que fazer inicialmente?

A

prova terapeutica com IBP

How well did you know this?
1
Not at all
2
3
4
5
Perfectly
4
Q

Quando fazer endoscopia?

A

sintomas atipicos

sinais de alarme

refratario

risco pra barrett

How well did you know this?
1
Not at all
2
3
4
5
Perfectly
5
Q

Quais os sinais de alarme na DRGE?

A

> 40 anos

Disfagia

Perda ponderal

sangramento

anemia

How well did you know this?
1
Not at all
2
3
4
5
Perfectly
6
Q

Endoscopia, classificação de Los Angeles

A

A: erosões < 5mm não confluentes

B erosões > 5mm não confluentes

C: confluentes

D: erosões confluentes en >75% da circunferencia

How well did you know this?
1
Not at all
2
3
4
5
Perfectly
7
Q

Tratamento H pylori 1a linha:

A

CAÔ menor

Claritro 500mg 12/12h
Amoxi 1g 12/12h
Omeoprazol
14 diass

How well did you know this?
1
Not at all
2
3
4
5
Perfectly
8
Q

Criterios diagnostico de DRGE:

A

Grau C e D

+

complicações(estenose péptica e esofago de barrett)

How well did you know this?
1
Not at all
2
3
4
5
Perfectly
9
Q

Fatores de risco esofago de barrett:

A

obesidade

sexo masculino

caucasiano

tabagiista

DRGE > 5 anos

How well did you know this?
1
Not at all
2
3
4
5
Perfectly
10
Q

Tratamento H pylori 1a linha alternativo ou COM RESISTENCIA À CLARITROMICINA:

A

MOBT

Metronidazol 400mg

Omeoprazol

Bismuto

Tetraciclina ou doxiciclina

How well did you know this?
1
Not at all
2
3
4
5
Perfectly
11
Q

Esofago de barrett, conduta:

A

IBP + acompanhamento

How well did you know this?
1
Not at all
2
3
4
5
Perfectly
12
Q

Displasia esofago de barret, conduta:

A

Sem displasia: EDA a cada 3 anos Baixo grau: ablação por radiofrequencia ou EDA anual Alto grau: ressecção ou ablação

How well did you know this?
1
Not at all
2
3
4
5
Perfectly
13
Q

Manometria, pra que serve:

A

Sugere DRGE: EEI hipotonico, hipomotilidade, hernia hiatal

How well did you know this?
1
Not at all
2
3
4
5
Perfectly
14
Q

Exame padrão ouro para DRGE:

A

Phmetria- detecta apenas refluxo acido

How well did you know this?
1
Not at all
2
3
4
5
Perfectly
15
Q

O que a impedanciophmetria faz?

A

Mede refluxo acido e nao acido

How well did you know this?
1
Not at all
2
3
4
5
Perfectly
16
Q

Criterios diagnosticos de DRGE no EDA:

A

Espfagites C e D Estenose Barrett

How well did you know this?
1
Not at all
2
3
4
5
Perfectly
17
Q

Medida não farmacologica mais importante na DRGE:

A

Perda ponderal

How well did you know this?
1
Not at all
2
3
4
5
Perfectly
18
Q

Medicamentos relacionados a refluxo:

A

BCC, nitratos, bdz, anticolinergicos

How well did you know this?
1
Not at all
2
3
4
5
Perfectly
19
Q

Efeitos colaterais IBP:

A

Vit b12 Colite pseudomembranosa

How well did you know this?
1
Not at all
2
3
4
5
Perfectly
20
Q

Bloqueadores H2, pra que?

A

Terapia adjuvante

How well did you know this?
1
Not at all
2
3
4
5
Perfectly
21
Q

Procineticos pra quem?

A

Gastroparesia ou dispepsia

22
Q

Qual melhor horario pra usar IBP?

A

Antes do cafe da manha

23
Q

Toda ulcera gastrica precisa ser biopsiada. V ou F?

24
Q

O H pylori deve ser pesquisado na ulcera. V ou F?

A

Falso, na mucosa integra

25
Testes de H pylori invasivos:
Teste da urease por endoscopia
26
Teste de H pylori não invasivos para diagnostico padrão ouro:
teste respiratório da ureia marcada
27
Outros testes não invasivos de diagnóstico para H pylori:
antigeno fecal e sorologia
28
Sorologia para h pylori pode ser usada para controle de cura: V ou F:
FALSO, NÃO PODE
29
Esquema de retratamento H pylori(não deu certo o esquema de primeira linha)
Levofloxacino + amoxicilina + omeoprazol (mas pode usar o esquema de 1a linha alternativo com bismuto tbm)
30
Quando fazer o controle de cura do h pylori:
4 sem após o tratamento
31
Testes para controle de cura:
histopatológico(invasivo) Teste do antigeno fecal teste repiratorio da ureia marcada
32
Nos casos de ulcera gastrica, qual o controle de cura de preferencia?
obrigatorio por EDA(histopatológico)
33
Na úlcera duodenal eu preciso biopsiar? O controle de cura deve necessariamente ser feito por endoscopia?
Não precisa Não precisa fazer endoscopia de controle, pode-se optar por metodos nao invasivos
34
IBP deve ser administrado como?
por via oral e de jejumm 30-60min antes da refeição
35
IBP reduz atividade de quais medicações?
clopidogrel, imidazólicos e TARV
36
IBP aumenta atividade de quais medicações?
warfarina, fenitoina e diazepam
37
Quando a phmetria confirma refluxo?
Quando o tempo com o ph\<4 for mais que 6% ao longo de 24h
38
Efeitos adversos do IBP, o que é comprovado?
aumenta o numero de polipos de glandulas fundicas(benignos), infecção enterica e nefrite intersticial
39
Efeitos adversos do IBP, o que é controverso?
Hipocalcemia, Def b12, infecção por clostridium, hipomagsenemia
40
Quais os procedimentos endoscópicos para tratamento de DRGE? Quando não realizá-los?
Radiofrequencia e fundoplicatura transoral Não realizar se hernia hiatal \>2cm, disfagia ou Los Angeles C e D
41
Persona Esofagite eosinofilica:
Homem jovem asmático/atópico
42
Sintomas esofagite eosinofílica no adulto:
Pirose e disfagia
43
Diagnóstico esofagite eosinofílica, como é realizado?
Por endoscopia, confirma por biopsia com eosinofilos ≥ 15 CGA(campos de alta potencia)
44
Quais as alterações da endoscopia? o que sugere?
Sulcos longitudinais/exsudatos esbranquiçados/aneis Sugerem esofagite eosinofilica
45
Tratamento esofagite eosinofilica 3ds:
Dieta(retirar leite, trigo e ovos) Drogas: IBP e budesonida Dilatar se estenose
46
O que é a disfagia lusoria?
Uma disfagia devido a uma arteria subclavia direita aberrante que passa atras do esofago
47
Medicações alternativas ao IBP:
PCABs e Anti H2
48
Dispepsia funcional criterios de roma IV:
um ou mais dos seguintes: dispepsia, plenitude, saciedade precoce, dor epigástrica. Sintomas nos ultimos 3 meses, com pelo menos 6 meses de inicio. SEM EVIDENCIA DE DOENÇA ESTRUTURAL
49
Triade de Mackler ruptura de esofago:
vomitos, enfisema subcutaneo e dor torácica
50
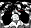
O que é isso?
Boerhaave
51
Exame de escolha para localização de gastrinoma?
PET CT com DOTA
52
Esofagite de hipersensibilidade, perceba que mesmo com impedanciophmetria normal, foi observado sintomas quando ph atingia niveis acidos.