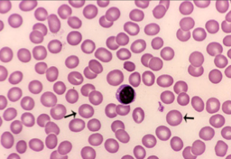
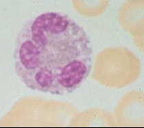
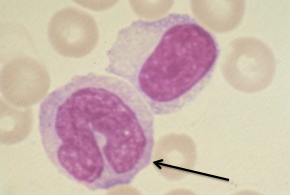
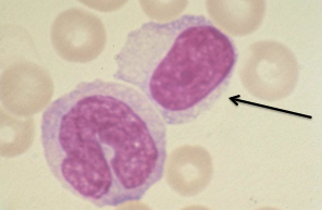
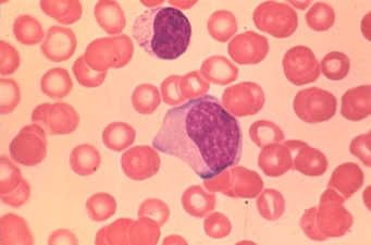
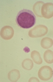
What are these?

normal RBC

eosinophil

Basophil

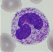
Neutrophil

Monocyte

Lymphocyte

Platelets
(small, aneucleate)

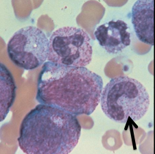
Band

Metamyelocyte
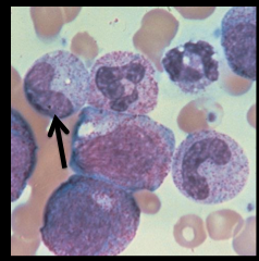
What is occuring in the cytoplasm of this neutrophil?

toxic granulation

reactive lymphocyte
(larger nuclei and lots of cytoplasm)
What abnormality is demonstrated by these RBC?

hypochromia
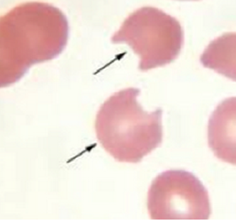
What structural abnormalities are demonstrated in these RBC?

Anisocytosis,
poikilocytosis
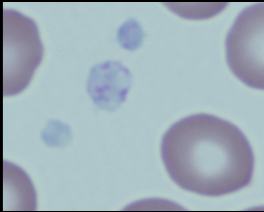
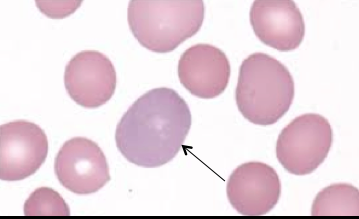
What abnormality is demonstrated by this cell?

Polychromasia
(residual mRNA is present in RBC)

Sickle cell

bite cells

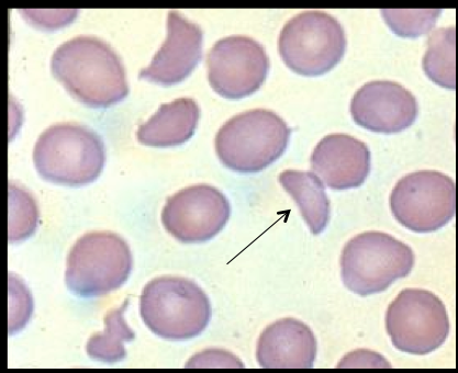
schistocyte

Heinz bodies

bite cells

Howell Jolly bodies

Hgb C crystals
What’s the condition?

SCD Hgb SC

sickle cell anemia
What condition?

microcytic hemolytic anemia
(schistocytes)