Herzinsuffizienz Flashcards

(48 cards)

1
Q

Welcher Anzahl der Patienten mit Herzinsuffizienz, die ACE-Hemmer einnehmen, erfahren eine Verbesserung der GFR?

A

Etwa 10 bis 25 Prozent der Patienten mit Herzinsuffizienz (HF) haben eine Verbesserung der Nierenfunktion nach Beginn der Angiotensin-Converting-Enzym (ACE)-Hemmer, vermutlich aufgrund einer sequentiellen Verbesserung der Herzleistung und eines Anstiegs des Nierenblutflusses.

How well did you know this?
1
Not at all
2
3
4
5
Perfectly
2
Q

Bei welchen Patienten mit Herzinsuffizienz, die ACE-Hemmer einnehmen, tritt am wahrscheinlichsten eine Reduktion der GFR auf?

A
  • Patienten unter diuretischer Therapie, bei denen eine relative Hypovolämie auftritt
  • Patienten mit relativer Hypotonie (mittlere arterieller Druck unter 75 mmHg) nach der Therapie
  • Patienten mit einer vorbehandelten Plasma-Natriumkonzentration unter 137 mq/l
  • Patienten mit signifikanter renovaskulärer Erkrankung
How well did you know this?
1
Not at all
2
3
4
5
Perfectly
3
Q

Unterschied zwischen ACE-Hemmer und ARBs in Wirkungsmechanismus

A
  • ACE-Hemmer blockieren die Bildung von Angiotensin II und verringern dadurch die Menge an Angiotensin, die sowohl für AT1- als auch für AT2-Rezeptoren verfügbar ist.
  • ARBs blockieren selektiv die Bindung von Angiotensin II an den AT1-Rezeptor, beeinflussen aber nicht den AT2-Rezeptor [ 2 ]. Die klinische Bedeutung davon ist ungewiss, da der AT1-Rezeptor zu dominieren scheint
How well did you know this?
1
Not at all
2
3
4
5
Perfectly
4
Q

Welche Nebenwirkung haben die ACE-H, die die ARBs nicht aufweisen?

A

Ein weiterer Unterschied besteht darin, dass ACE-Inhibitoren, aber nicht ARBs, den Kininabbau reduzieren, da ACE auch eine Kininase ist. Eine wichtige klinische Folge, die sich aus dem Mangel an Kininakkumulation ergibt, ist, dass die ARBs keinen Husten auslösen, eine Komplikation, die bei 3 bis 20 Prozent der mit ACE-Hemmern behandelten Patienten auftritt.

How well did you know this?
1
Not at all
2
3
4
5
Perfectly
5
Q

In welche Patienten mit Herzinsuffizienz sollte ein Aldosteron-Antagonist angesetzt werden?

A
  • NYHA II und LVEF < 30%
  • NYHA Klasse III bis IV HF und eine LVEF <35 Prozent
  • MI nach ST-Hebung mit einer LVEF <40% und entweder symptomatische Herzinsuffizienz oder Diabetes mellitus
How well did you know this?
1
Not at all
2
3
4
5
Perfectly
6
Q

Wie häufig ist asymptomatische LV-Dysfunktion?

A

Populationsbasierte Studien deuten darauf hin, dass asymptomatische LV-Dysfunktion in der Allgemeinbevölkerung mindestens so häufig ist wie symptomatische HF.

How well did you know this?
1
Not at all
2
3
4
5
Perfectly
7
Q

Wie viele Patienten mit asymptomatischen Herzinsuffizienz entwickeln sich zu symptomatischen Herzinsuffizienz?

A

10% pro Jahr

How well did you know this?
1
Not at all
2
3
4
5
Perfectly
8
Q

Patientengruppen mit asymptomatischer linksventrikulärer systolischer Dysfunktion, bei denen eine frühzeitige pharmakologische Intervention wichtig sein kann

A
  • Postmyokardiarkt
  • Post-Vaskularisation
  • Chronische LV-systolische Dysfunktion
How well did you know this?
1
Not at all
2
3
4
5
Perfectly
9
Q

Welchen Typ Herzinsuffizienz verursacht eine arterielle Hypertonie?

A

Dyastolische Dysfunktion

How well did you know this?
1
Not at all
2
3
4
5
Perfectly
10
Q

Häufigste Ursache für Herzinsuffizienz?

A

Myokardinfarkt

How well did you know this?
1
Not at all
2
3
4
5
Perfectly
11
Q

Wie schnell treten die Symptome einer Herzinsuffizienz nach einem Myokardinfarkt?

A

Obwohl ein großer MI zu einem frühen Auftreten einer Herzinsuffizienz führen kann, treten die Symptome einer Herzinsuffizienz in der Regel erst einige Monate bis Jahre nach dem MI auf

How well did you know this?
1
Not at all
2
3
4
5
Perfectly
12
Q

Herzkontraktilität (Kraft und Geschwindigkeit der Kontraktion), ventrikuläre Leistung sowie Sauerstoffbedarf des Myokards werden bestimmt durch

A
  • Vorlast
  • Nachladung
  • Substratverfügbarkeit (z. B. Sauerstoff, Fettsäuren, Glukose)
  • Herzfrequenz und Rhythmus
  • Menge an lebensfähigem Myokard
How well did you know this?
1
Not at all
2
3
4
5
Perfectly
13
Q

Das Herzzeitvolumen

A

ist das Produkt aus Schlagvolumen und Herzfrequenz

How well did you know this?
1
Not at all
2
3
4
5
Perfectly
14
Q

Das Herzzeitvolumen

A

ist das Produkt aus Schlagvolumen und Herzfrequenz

How well did you know this?
1
Not at all
2
3
4
5
Perfectly
15
Q

Vorlast

A

Füllungszustand des Herzens am Ende der Entspannungsphase (Diastole) unmittelbar vor der Kontraktion (Systole)

How well did you know this?
1
Not at all
2
3
4
5
Perfectly
16
Q

Nachlast

A

ist die Kraft, die der Muskelfaserkontraktion am Beginn der Systole entgegensteht. Sie wird vom LV-Kammerdruck, dem Radius und der Wanddicke zum Zeitpunkt der Öffnung der Aortenklappe beeinflusst.

How well did you know this?
1
Not at all
2
3
4
5
Perfectly
17
Q

Die kardiale Reserve

A

die Fähigkeit des Herzens seine Leistung über die Ruhebedingungen hinaus bei emotionaler oder körperlicher Belastung zu steigern

How well did you know this?
1
Not at all
2
3
4
5
Perfectly
18
Q

Herzinsuffizienz mit reduzierter Ejektionsfraktion (HFrEF)

A

Bei der HFrEF (auch systolische HF genannt) überwiegt die globale systolische Dysfunktion. Der LV zieht sich schlecht zusammen und entleert sich unzureichend, und dies führt zu

  • erhöhtem diastolischem Volumen und Druck
  • verminderter Ejektionsfraktion (≤ 40%)
How well did you know this?
1
Not at all
2
3
4
5
Perfectly
19
Q

Herzinsuffizienz mit erhaltener Auswurffraktion (HFpEF)

A

Bei HFpEF (auch diastolische Herzinsuffizienz genannt) ist die LV-Füllung beeinträchtigt, was zu folgenden Problemen führt:

  • Erhöhter enddiastolischer LV-Druck in Ruhe oder unter Belastung
  • Normalerweise normales enddiastolisches LV-Volumen
  • Die globale Kontraktilität und damit die Auswurffraktion bleiben normal (≥ 50%).
How well did you know this?
1
Not at all
2
3
4
5
Perfectly
20
Q

Herzinsuffizienz mit mäßiggradig eingeschränkter Ejektionsfraktion (HFmrEF)

A

LV-Ejektionsfraktion von 41 bis 49%

21
Q

Ursachen einer Myokardschädigung

A
  • Kardiomyopathie
  • Myokardinfarkt
  • Myokarditis
  • Chemotherapeutika
22
Q

Systemische Erkrankungen die eine Herzinsuffizienz auslösen können

A
  • Anämie
  • Hyperthyreose
  • Paget-Syndrom
  • Aortenstenose
  • Hypertonie
23
Q

Klassifikation der Herzinsuffizienz

A
  • Herzinsuffizienz mit reduzierter Ejektionsfraktion (“systolischer HF”) HFrEF (<40%)
  • Herzinsuffizienz mit erhaltener Ejektionsfraktion (“diastolischer HF”) HFpEF (>50%)
  • Herzinsuffizienz mit mäßiggradig eingeschränkter Ejektionsfraktion (HFmrEF) (LVEF) zwischen 41% und 49%
24
Q

Häufige Ursachen einer Rechts-Herzinsuffizienz

A
  • am häufigsten Folge eines vorangehenden LV-Versagens (wegen erhöhtem pulmonalvenösen Druck)
  • schweren Lungenkrankheit
25
New York Heart Association (NYHA) Klassifikation der Herzinsuffizienz
I. Normale körperliche Aktivität verursacht keine übermäßige Müdigkeit, Atemnot, Herzklopfen oder Angina. II. Normale körperliche Aktivität verursacht Müdigkeit, Atemnot, Herzklopfen oder Angina. III. Keine Beschwerden im Ruhezustand; weniger als normale körperliche Aktivität verursacht Müdigkeit, Atemnot, Herzklopfen oder Angina. IV. Symptome treten in Ruhe auf, jede körperliche Aktivität erhöht Unbehagen.
26
Allgemeine Symptome und Anzeichen von Herzinsuffizienz
- Die Dyspnoe tritt üblicherweise bei Belastung auf und verschwindet in Ruhe - paroxysmalen nächtlichen Dyspnoe - Orthopnoe - Knöchelschwellung (Rechts-HI)
27
Kardiale Befunde bei HFrEF
- Diffuser, anhaltender und seitlich verschobener apikaler Impuls - Hörbare und gelegentlich tastbare 3. (S3) und 4. (S4) Herztöne - Akzentuierte pulmonale Komponente (P2) des 2. Herztons (S2)
28
pulmonalen Befunde bei HFrEF
- frühe basale inspiratorische Rasselgeräusche, die man nicht Abhusten kann - Klopfschalldämpfung und verminderte Atemgeräusche in den unteren Lungenabschnitten.
29
Zeichen des RV-Versagens
- Nicht schmerzhafte periphere Ödeme (digitaler Druck hinterlässt sichtbare und tastbare Abdrücke, manchmal ziemlich tief) in den Füßen und Knöcheln - Vergrößerte und manchmal pulsierende Leber - Abdominalschwellung und Aszites - Sichtbare Erhöhung des Jugularvenendrucks
30
Große V-Wellen in den Jugularvenen weisen in der Regel auf:
eine signifikante Trikuspidalinsuffizienz hin, die häufig bei RV-Versagen auftritt
31
Kussmaul-Zeichen
Anstieg des Jugularvenendrucks während der Einatmung
32
Diagnose von Herzinsuffizienz
- Manchmal nur klinische Bewertung - Röntgenthorax - Echokardiographie, kardiale Szintigraphie und/oder MRT - BNP oder N-terminal-pro-BNP (NT-proBNP)-Spiegel - EKG und andere Tests zur Ätiologie nach Bedarf
33
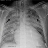
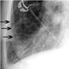
Befunde der Röntgenthoraxaufnahme, die für eine Herzinsuffizienz sprechen
- vergrößerte Herzsilhouette - ein Pleuraerguss, Flüssigkeit in den Hauptfissuren - horizontale Linien in der Peripherie der unteren hinteren Lungenfelder (Kerley-B-Linien)
34
Röntgenthorax eines Patienten mit bilateralen Pleuraergüssen
35
Kerley-B-Linien
36
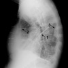
Röntgenthorax eines Patienten mit Kardiomegalie und Kephalisation
37
Röntgenthorax eines Patienten mit Flüssigkeit in kleinen und großen Fissuren
38
EKG-Zeichen einer Herzinsuffizienz
- früheren Myokardinfarkt - linksventrikuläre Hypertrophie - Linksdchenkelblock - Tachyarrhythmie (z.B. TAA bei VHF) **EKG -Befunde sind nicht diagnostisch aber Ein vollkommen normales EKG ist bei chronischer Herzinsuffizienz selten.**
39
Befunde bei der Echokardiographie, die für eine zugrunde liegende KHK sprechen
Lokalisierte oder segmentale Wandbewegungstörungen
40
In welchen Erkranungen werden Lokalisierte oder segmentale Wandbewegungstörungen aufgewiesen?
- KHK - fleckförmigen Myokarditis
41
Behandlung von Herzinsuffizienz
- Änderung von Ernährung und Lebensstil - Behandlung der Ursache - Medikamentöse Therapie - Manchmal Gerätetherapie (z. B. implantierbarer Kardioverter-Defibrillator, kardiale Resynchronisationstherapie, mechanische Kreislaufunterstützung) - Ggfs. Herztransplantation - Interdisziplinäre Versorgung
42
Allgemeine Behandlungsmaßnahmen bei Herzinsuffizienz
- Aufklärung - Natriumrestriktion - Bestimmung von Gewicht und Trainingszustand - Beheben der zugrunde liegenden Ursachen
43
Behandlung von Herzinsuffizienz: diätetische Natriumrestriktion
< 2 g/Tag Alle Patienten sollten Kochsalz beim Kochen und bei Tisch weglassen und gesalzene Speisen vermeiden
44
Behandlung von Herzinsuffizienz: tägliche Gewichtskontrolle
Wenn das Gewicht innerhalb einiger Tage um > 2 kg ansteigt, sollten die Patienten in der Lage sein die Diuretikadosis selbst anzupassen, aber sie sollten medizinische Hilfe in Anspruch nehmen, wenn die Gewichtszunahme weitergeht oder weiter Symptome auftreten.
45
intraaortale Gegenpulsationsballonpumpe Wann??
Patienten mit akuter Herzinsuffizienz, die gute Heilungschancen haben: - akute Herzinsuffizienz nach Myokardinfarkt Brücke zu einer dauerhafteren Lösung - Behandlung einer schweren Herzklappenerkrankung - Multigefäß- koronare Herzkrankheit
46
Die medikamentöse Behandlung der Herzinsuffizienz umfasst die Linderung der Symptome mit
- Diuretika - Nitrate - Digoxin
47
Eine medikamentöse Therapie der Herzinsuffizienz zur langfristigen Behandlung und ein verbessertes Überleben erfolgt mit
- Angiotensin-Converting-Enzym(ACE)-Hemmer // Angiotensin-II-Rezeptor-Antagonisten // Angiotensin-Rezeptor/Neprilysin-Inhibitoren (ARNI) - Betablocker - Aldosteron-Antagonisten - Natrium-Glukose-Co-Transporter 2-Hemmer (SGLT2i) - Sinusknoten-Inhibitoren
48
NT-proBNP in akuter Herzinsuffizienz Referenzwerte (altersabhängig)
• <50 Jahre: >450 pg/ml • 50–75 Jahre: >900 pg/ml • >75 Jahre: >1800 pg/ml