Qu’est-ce que le péricarde ?
Le péricarde est un sac sérofibreux qui entoure le cœur et la racine des gros vaisseaux sanguins du médiastin moyen. Histologiquement, il est divisé en deux couches formées de différents tissus.
Quelles sont les deux couches de tissus du péricarde ?
La couche externe se nomme péricarde fibreux. La couche interne se nomme péricarde séreux.
De quoi est composé le péricarde fibreux ?
Il s’agit d’un épais feuillet fibreux composé essentiellement de collagène. Ce feuillet dense et rigide contient peu de cellules.
Comment se caractérise le péricarde séreux?
il est lui-même divisé en deux feuillets
Quelles sont les deux feuillets du péricarde séreux
le feuillet séreux pariétal et le feuillet séreux viscéral. Le feuillet pariétal tapisse l’intérieur du péricarde fibreux alors que le feuillet viscéral recouvre directement la surface du cœur.
Comment se nomme l’espace compris entre les deux feuillets du péricarde?
cavité péricardique.
De quoi sont composés les 2 feuillets séreux (partiétal et viscéral)? Quels sont le rôle de ces cellules ?
Les feuillets séreux sont tous deux composés de cellules mésothéliales métaboliquement actives qui sécrètent un liquide lubrifiant dans la cavité péricardique.
De quoi est aussi recouvert le péricarde ?
de tissu adipeux.
Quel est le rôle du tissu adipeux autour du péricarde?
Celui-ci sert de réserve d’énergie locale pour le cœur et protège les structures qu’il englobe en amortissant les chocs.
à apprendre

.
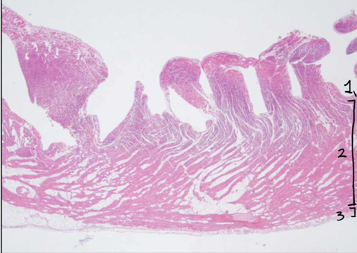
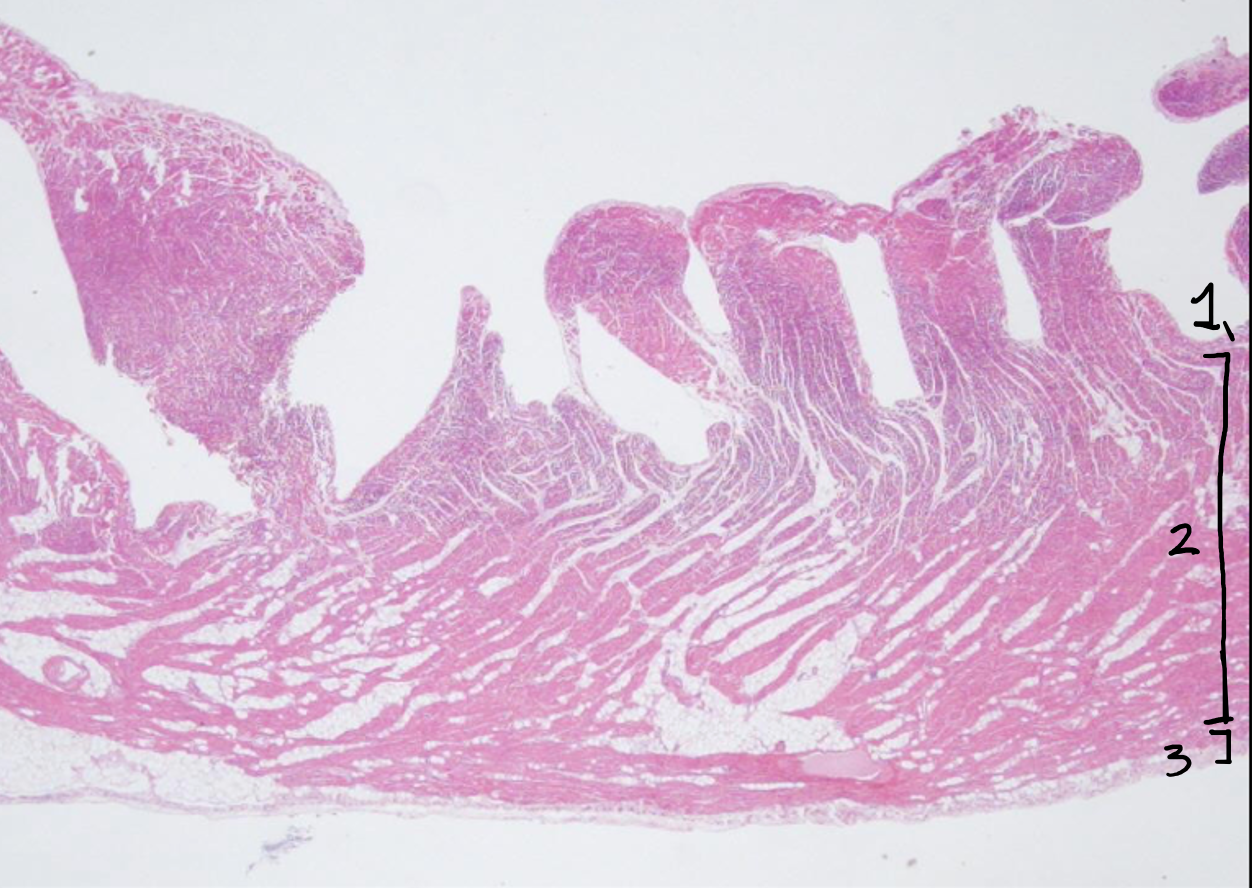
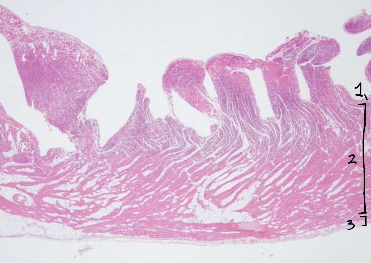
Dites à quoi correspond les chiffres 1, 2 et 3

1 - séreux pariétal
2- fibreux
3- tissu adipeux
Structures 1

mésothélium
Structure 2

feuillet séreux viscéral
Structure 3

myocarde
feuillet 4

adipocytes
Combien de tuniques forment le cœur ?
3
Quelles sont les tuniques du coeur?
l’épicarde, l’endocarde et le myocarde.
1

endocarde
2

myocarde
3

épicarde
Qu’est-ce que l’épicarde et comment se caractérise-t-elle morphologiquement ? + son rôle
Épicarde. La tunique externe se nomme épicarde et contient deux couches distinctes.
L’épicarde correspond en fait au feuillet viscéral du péricarde séreux.
Il sécrète le liquide péricardique.
Quelles sont les deux couches distinctes de l’épicarde et de quoi sont-elles formés?
La plus profonde est composée de tissu conjonctif et adipeux alors que la plus superficielle recouvre tout le cœur et se compose de cellules mésothéliales cuboïdes.

Où retrouve-t-on les vaisseaux de la circulation coronaire ?
Les vaisseaux de la circulation coronaire, artères comme veines, sillonnent le tissu adipeux de l’épicarde et leurs branches le pénètrent en plusieurs endroits.
De quoi sont entourés les vaisseaux de la circulation coronaire et quels sont leur rôle ?
Ils entourés de tissu adipeux qui:
Ils possèdent une couche musculaire puissante dont le tonus est régulé par des cellules nerveuses autonomes parasympathiques et sympathiques. Ces neurones sont abondants au pourtour des vaisseaux coronariens.