Histology Flashcards

(20 cards)

1
Q

Tissue Name
Tissue Location
Tissues function
(Before flipping, critically think and use the process of elimination)

A

1.Dense Elastic Tissue
2. Arteries/ bronchial
3. Tensile strength, Recoil

How well did you know this?
1
Not at all
2
3
4
5
Perfectly
2
Q

Tissue Name
Tissue Location
Function
(Before flipping, critically think and use the process of elimination)

A
  1. Dense Regular connective tissue
  2. Tendons/Ligaments
  3. Supports and protects bones, muscles and other tissues
How well did you know this?
1
Not at all
2
3
4
5
Perfectly
3
Q

Tissue Name
Tissue Location
Function
(Before flipping, critically think and use the process of elimination)

A
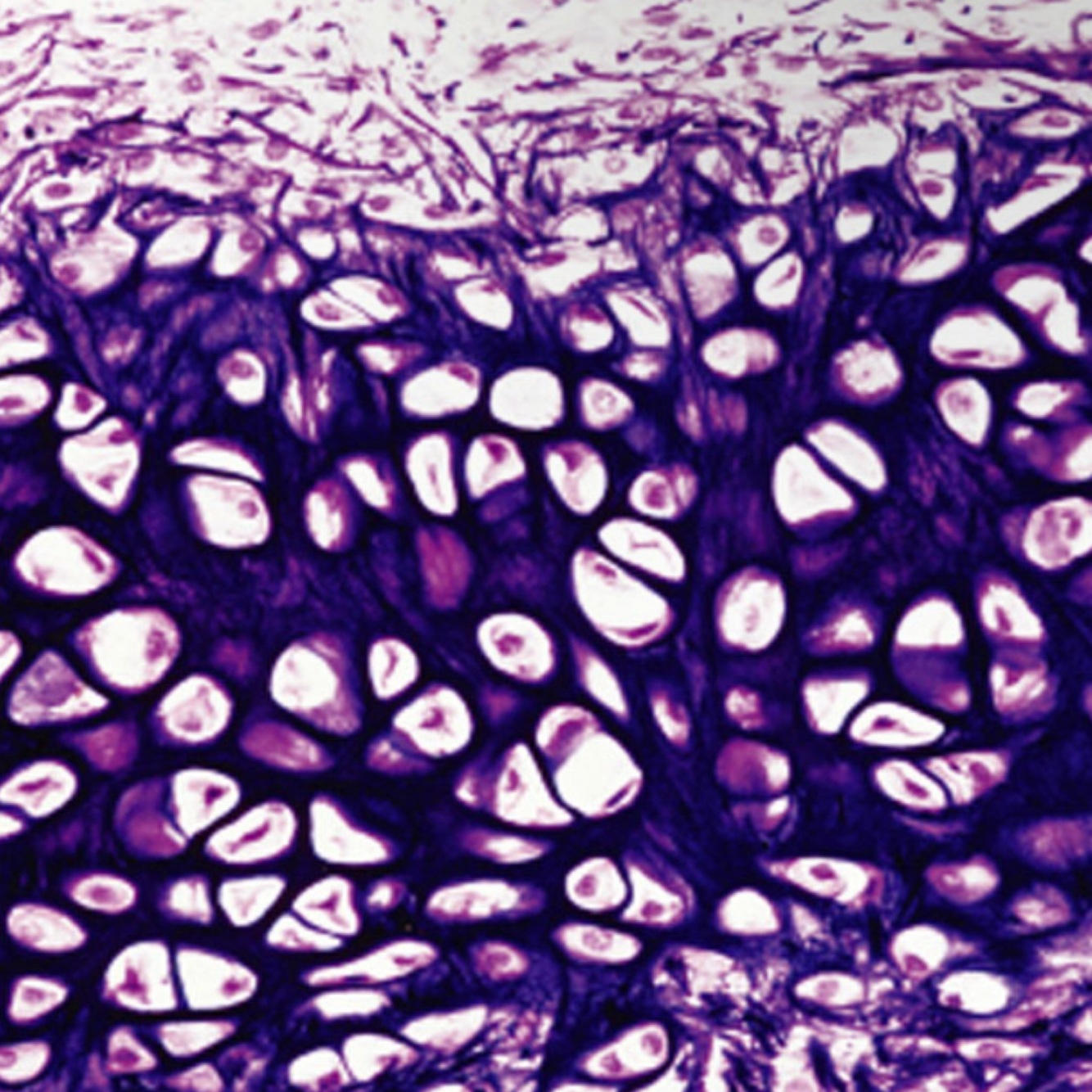
  1. Hyaline cartilage
  2. Articular surfaces (nose, larynx, trachea)
  3. Helps bones move smoothly past each other
How well did you know this?
1
Not at all
2
3
4
5
Perfectly
4
Q

Tissue Name
Tissue Location
Function
(Before flipping, critically think and use the process of elimination)

A
  1. Simple Squamous epithelium
  2. Alveoli
  3. Diffusion
How well did you know this?
1
Not at all
2
3
4
5
Perfectly
5
Q

Tissue Name
Tissue Location
Function
(Before flipping, critically think and use the process of elimination)

A
  1. Cardiac Muscle
  2. Heart only
  3. Contraction
How well did you know this?
1
Not at all
2
3
4
5
Perfectly
6
Q

Tissue Name
Tissue Location
Function
(Before flipping, critically think and use the process of elimination)

A
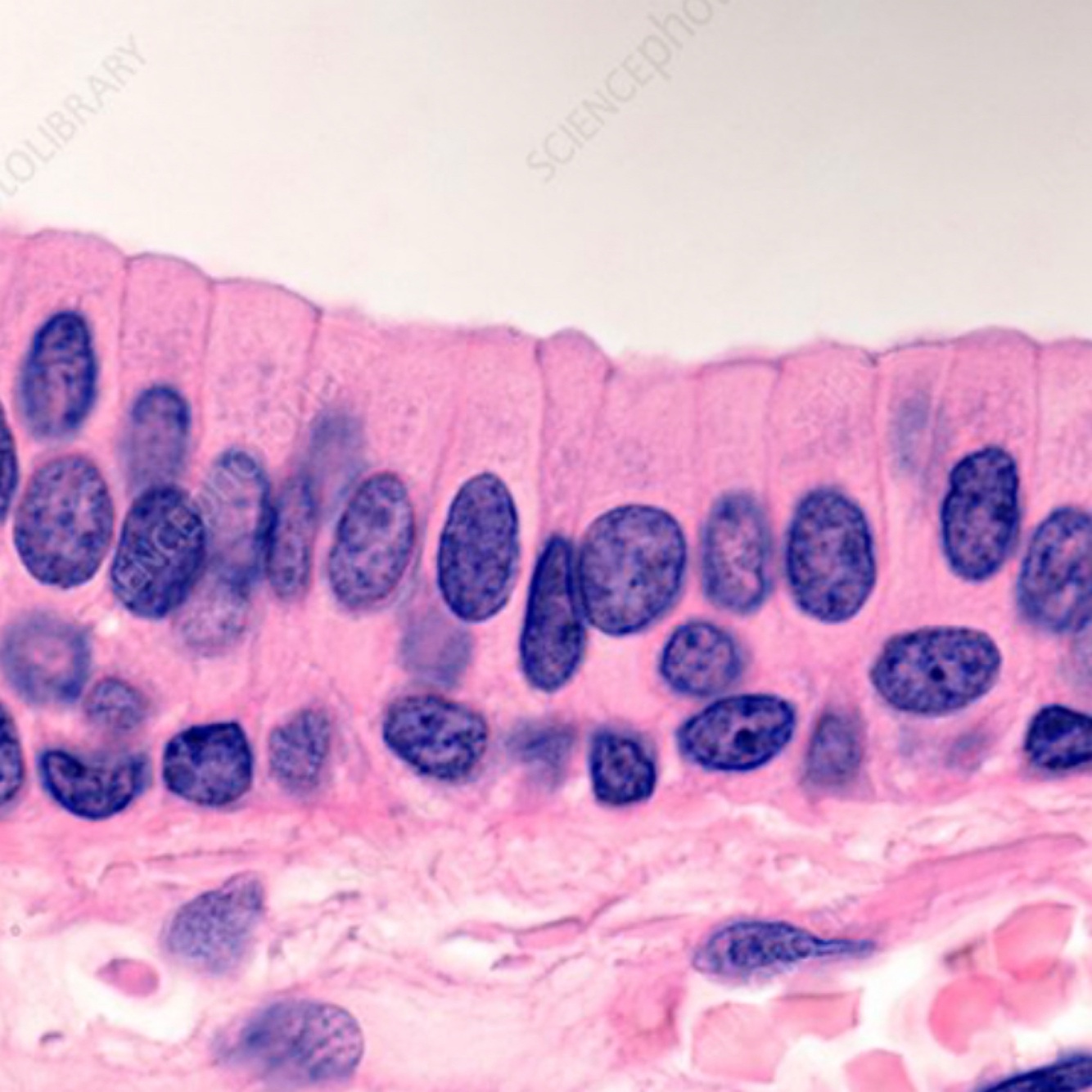
  1. Psuedostratified columnar epithelium
  2. Trachea
  3. Secretion
How well did you know this?
1
Not at all
2
3
4
5
Perfectly
7
Q

Tissue Name
Tissue Location
Function
(Before flipping, critically think and use the process of elimination)

A
  1. Loose adipose connective tissue
  2. Hypo dermis
  3. Wraps and cushions organs
How well did you know this?
1
Not at all
2
3
4
5
Perfectly
8
Q

Tissue Name
Tissue Location
Function
(Before flipping, critically think and use the process of elimination)

A
  1. Transitional epithelium
  2. Urinary tract
  3. Stretch/ recoil
How well did you know this?
1
Not at all
2
3
4
5
Perfectly
9
Q

Tissue Name
Tissue Location
Function
(Before flipping, critically think and use the process of elimination)

A
  1. Skeletal muscle tissue
  2. Bone
  3. Voluntary body movement
How well did you know this?
1
Not at all
2
3
4
5
Perfectly
10
Q

Tissue Name
Tissue Location
Cell type
(Before flipping, critically think and use the process of elimination)

A
  1. Elastic cartilage
  2. Nose, external ear, larynx
  3. Fibroblast
How well did you know this?
1
Not at all
2
3
4
5
Perfectly
11
Q

Tissue Name
Tissue Location
Cell type
(Before flipping, critically think and use the process of elimination)

A
  1. Dense irregular connective tissue
  2. Dermis
  3. Fibroblast
How well did you know this?
1
Not at all
2
3
4
5
Perfectly
12
Q

Tissue Name
Tissue Location
Function
(Before flipping, critically think and use the process of elimination)

A
  1. Stratified columnar
  2. Male urethra
  3. Transport Sperm and Urine
How well did you know this?
1
Not at all
2
3
4
5
Perfectly
13
Q

Tissue Name
Tissue Location
Function
(Before flipping, critically think and use the process of elimination)

A
  1. Smooth muscle
  2. Hollow organs
  3. Involuntary movement of organs
How well did you know this?
1
Not at all
2
3
4
5
Perfectly
14
Q

Tissue Name
Tissue Location
Function
(Before flipping, critically think and use the process of elimination)

A
  1. Non keratinized stratified squamous epithelium
  2. Esophagus
  3. Transport
How well did you know this?
1
Not at all
2
3
4
5
Perfectly
15
Q

Tissue Name
Tissue Location
Function
Cell type
(Before flipping, critically think and use the process of elimination)

A
  1. Fibrocartilage
  2. Intervertebral disc
  3. Shock absorption
How well did you know this?
1
Not at all
2
3
4
5
Perfectly
16
Q

Tissue Name
Tissue Location
Function
Cell type
(Before flipping, critically think and use the process of elimination)

A
  1. Loose reticular connective tissue
  2. Spleen/ lymph
  3. Support/ protection
  4. Macrophages
17
Q

Tissue Name
Tissue Location
Function
(Before flipping, critically think and use the process of elimination)

A
  1. Stratified cubodial epithelium
  2. Mammary glands
  3. Milk production
18
Q

Tissue Name
Tissue Location
Function
Cell type
(Before flipping, critically think and use the process of elimination)

A
  1. Loose areolar connective tissue
  2. Organ external openings
  3. Holds and pass tissue fluid
  4. Fibroblast
19
Q

Tissue Name
Tissue Location
Function
(Before flipping, critically think and use the process of elimination)

A
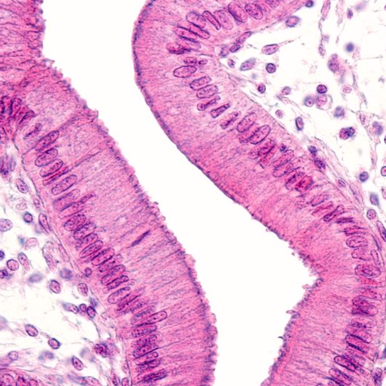
  1. Simple columnar epithelium
  2. Digestive tract
  3. Absorption
20
Q

Tissue Name
Tissue Location
Function
(Before flipping, critically think and use the process of elimination)

A
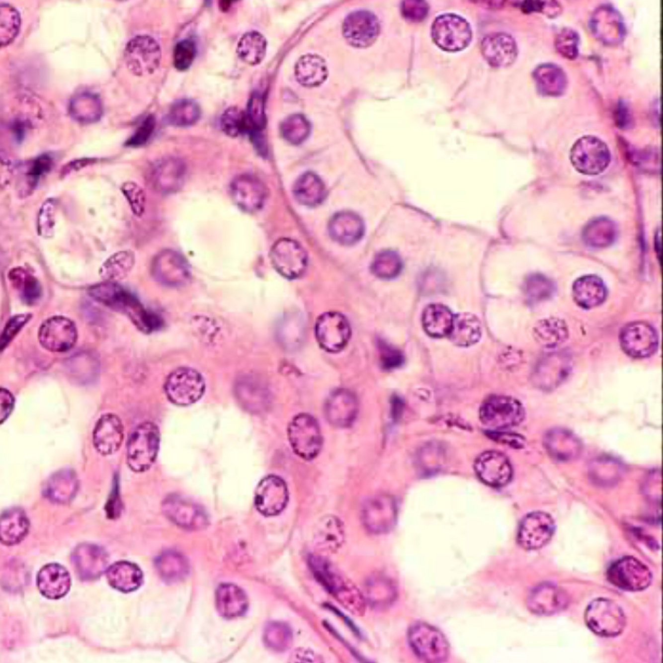
  1. Simple cuboidal epithelium
  2. Kidney tubules
  3. Absorption