What is hepatitis?
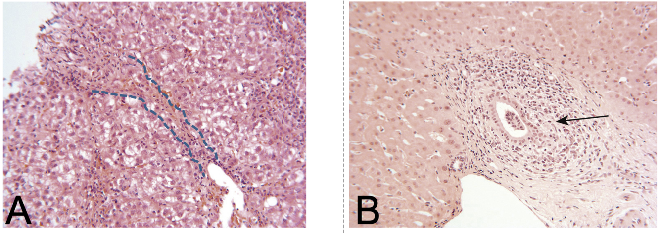
How does inflammation present on histology around the cholangiocytes?
In the images below, which is inflammation of the hepatocytes (presents as lobular or periportal inflammation) and which is inflammation of the cholangiocytes (epithelial cells of bilary tree) which presents around the bile duct?


What are some common causes of hepatitis?
What are some common clinical presentations of hepatitis?
Patients with hepatitis can present with pale stools, why is this?
Patients with hepatitis can present with dark urine, why is this?
What is the difference between acite and chronic hepatitis?
What common drug can cause acute hepatitis?
What virus can cause acute hepatitis?
What virus can cause chronic hepatitis?
In addition to hepatitis C, what other condition can cause chronic hepatitis?
What viruses can cause both chronic and acute hepatitis?
If the ALT is really high but other liver enzymes are not affected, what can this be indicitive of?
What 3 liver conditions do not tend to cause an increase in liver enzymes?
1 - alcohol
2 - NAFLD
3 - autoimmune hepatitis
At what stage of hepatitis can be reversed?

Where is hepatitis A prevelent?
What type of virus is hepatitis A?

How many people a year are affected by hepatitis A and how is it spread?
Does hepatitis A cause symptoms dstraigh away or is the an incubation period?

How is hepatitis A diagnosed?

Is hepatitis A acute or chronic and generally what symptoms do patients present with?
How is hepatitis A treated and the risk of catching it reduced?
What type pf virus is hepatitis E?
