På vilka två ställen kan inlagringssjukdomar ske?
Vilka ämnen kan inlagras (patologiskt) i kroppen?
Vilka mekanismer är det som gör att patologisk inlagring sker?
Vad är amyloidos (definition)?

Hur agerar amyloidos?
Fibrillsättningarna vid amyloidos binder varianter av proteoglycaner/glycosaminoglycaner (heparan och sulfat) och även?

Vilket ursprung har Amyloid med AL (amyloid light chain)-protein?
Vilket ursprung har AA (amyloid-associerad)-protein?
Vilket ursprung har amyloidos beroende på transtyretin (TTR)?

Vad är patogenesen bakom ansamlingen av proteiner vid amyloidos (övergripande kring proteiner osv)?
Hur degraderas vanligtvis felaktigt vikt protein?
I proteasom eller extracellulärt av makrofag
Vilka olika klasser av amyloidos finns?
Vad innebär en primär amyloidos (utförligt)?
Vad innebär reaktiv systemisk amyloidos (utförligt)?
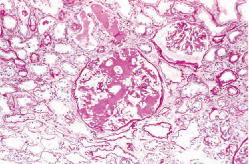
Var i kroppen lagras ämnen oftast in vid amylodios? Hur hittas det?
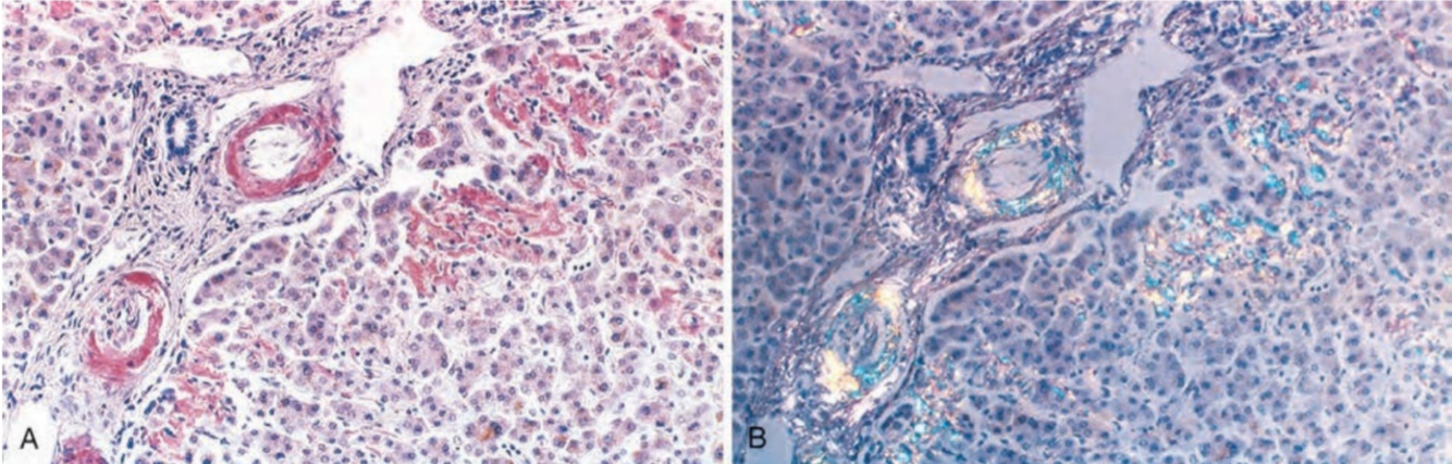
Hur kan vi genom biopsin konstatera att det rör sig om amyloidos?

Vad visar bilderna?


Vad visar bilden?


Vilka kliniska manifestationer har amylodios?
Hur ställs diagnosen amyloidos?
Nämn tre andra (ej amyloidos) inlagringssjukdomar
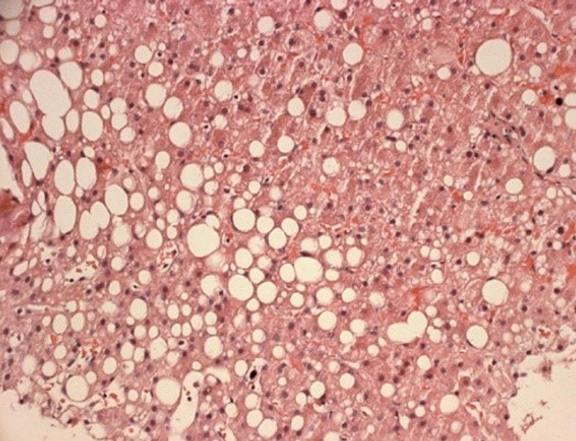
Fettlever, alfa-1-antitrypsinbrist och Gauchers sjukdom
Vad visar bilen?

Fettlever
Vad visar bilden?

α-1-antitrypsinbrist
Vad visar bilden?

Bilden visar inlagring av glukosylceramid i fagocyter (Gaucherceller) vid Gauchers sjukdom