Lab Quiz 4 Flashcards

(138 cards)

1
Q

Where does a granulocyte come from, how many cell lines does it have, and name them

A

Bone marrow
3 cell lines
Neutrophilic, eosinophilic, basophilic

How well did you know this?
1
Not at all
2
3
4
5
Perfectly
2
Q

List the granulocyte lineage

A

Myeloblast → promyelocyte (progranulocyte) → myelocyte → metamyelocyte → band → segmented

How well did you know this?
1
Not at all
2
3
4
5
Perfectly
3
Q
A
How well did you know this?
1
Not at all
2
3
4
5
Perfectly
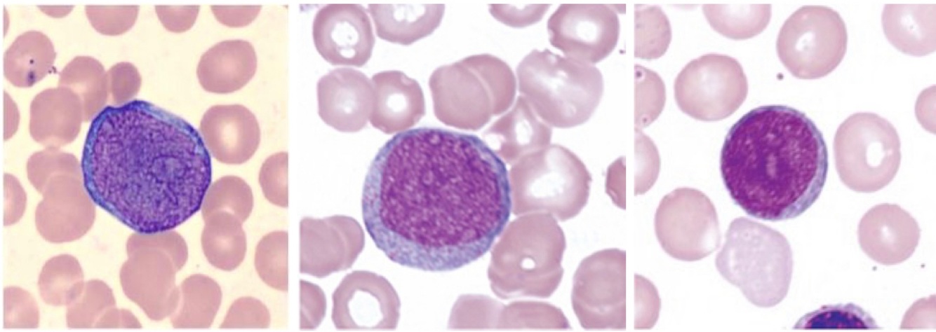
4
Q

Small cells (diameter 14um-18um)
Major part is occupied by a large oval nucleus
Chromatin is very fine, non-aggregated
2 or more nucleoli
Cytoplasm has basopholis character, devoid of granules

A

Myeloblast

How well did you know this?
1
Not at all
2
3
4
5
Perfectly
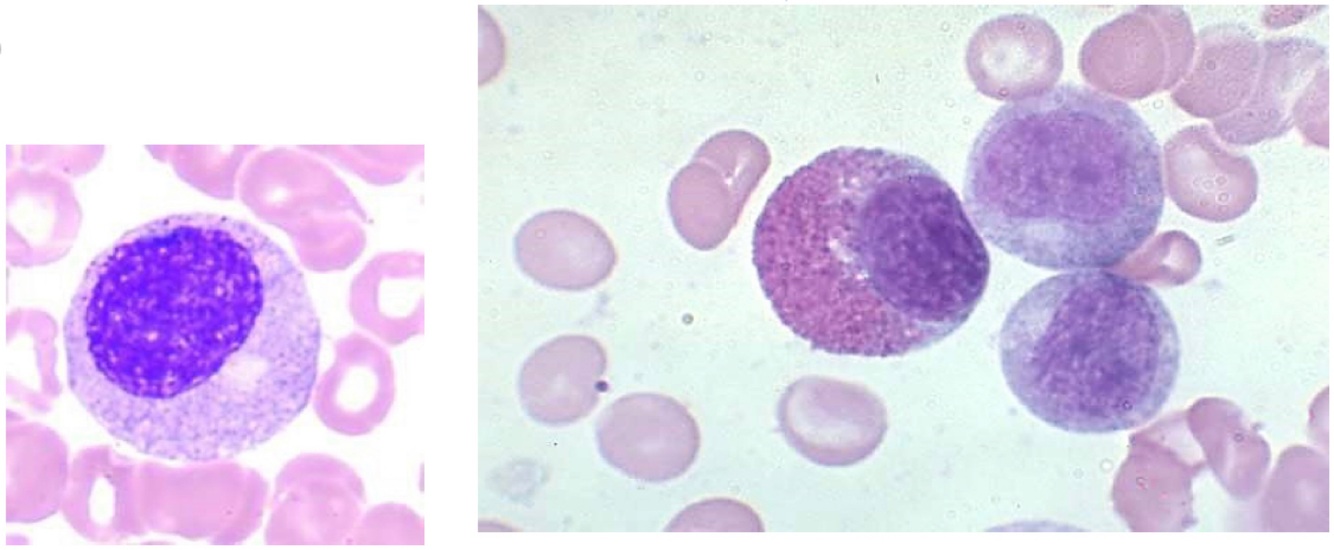
5
Q
A

Myeloblast

How well did you know this?
1
Not at all
2
3
4
5
Perfectly
6
Q

Primary (azurophilic) granules
Nucleus hidden by granules
Golgi zone and nucleoli may be visible
Approx. 2% of nucleated cells in BM
Don’t circulate in peripheral blood under normal conditions

A

Promyelocyte

How well did you know this?
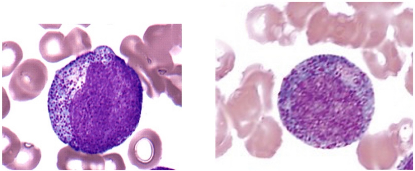
1
Not at all
2
3
4
5
Perfectly
7
Q
A

Promyelocyte

How well did you know this?
1
Not at all
2
3
4
5
Perfectly
8
Q

Contain both primary and secondary/specific granules (secondary amount increases as cell matures)
Pink granules
Nucleus is round and lacks a nucleolus
Chromatin more condensed
Not normally present in peripheral blood
May be seen in infectious/inflammatory conditions, growth factor effect, marrow infiltration, and myeloid neoplasms

A

Myelocyte

How well did you know this?
1
Not at all
2
3
4
5
Perfectly
9
Q
A

Myelocyte

How well did you know this?
1
Not at all
2
3
4
5
Perfectly
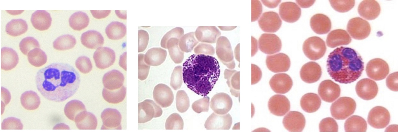
10
Q

Condensed chromatin
Slightly indented nucleus
Abundant specific granules and rare primary granules
Not normally present in peripheral blood
Can be seen in infectious/inflammatory States, and other reactive and neoplastic conditions

A

Metamyelocyte

How well did you know this?
1
Not at all
2
3
4
5
Perfectly
11
Q
A

Metamyelocyte

How well did you know this?
1
Not at all
2
3
4
5
Perfectly
12
Q

Slightly less mature than segmented
Have indented, unsegmented “C” or “S” shaped nuclei
Approx. 5-10% of peripheral blood leukocytes
An increase can indicate infection and inflammation

A

Bands

How well did you know this?
1
Not at all
2
3
4
5
Perfectly
13
Q
A

Bands

How well did you know this?
1
Not at all
2
3
4
5
Perfectly
14
Q
A

Segmented granulocytes

How well did you know this?
1
Not at all
2
3
4
5
Perfectly
15
Q

Mature granulocytes with condensed chromatin
2-5 nuclear lobes separated by thin filaments
Cytoplasm = pale pink, numerous specific granules
40-80% of peripheral blood leukocytes

A

Segmented granulocytes

How well did you know this?
1
Not at all
2
3
4
5
Perfectly
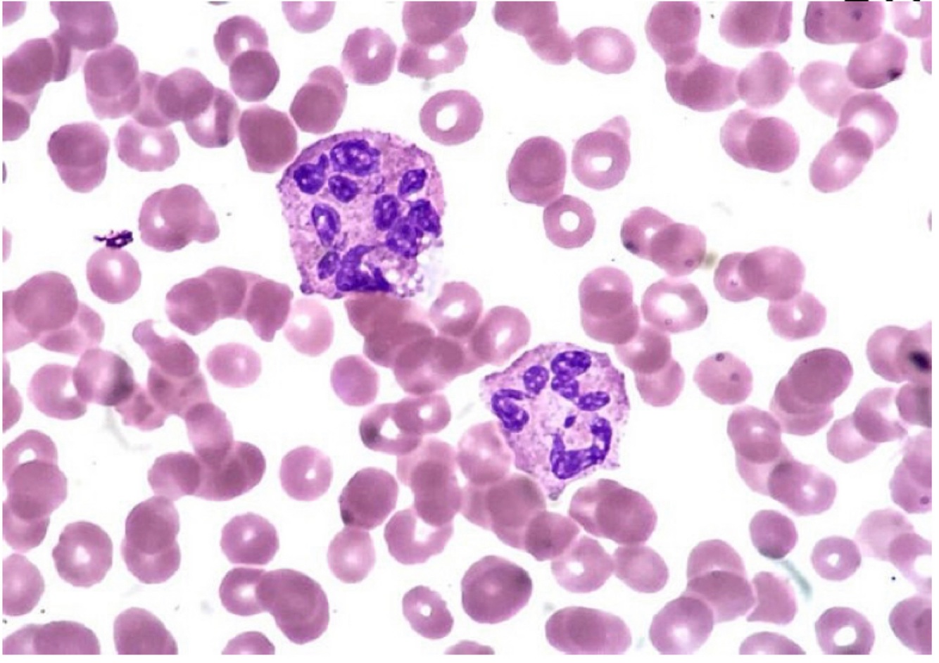
16
Q

Has 6 or more nuclear lobes
Typically seen in megaloblastic anemia due to vitamin B12 of folic acid deficiency
May also be present in myelodysplastic syndromes and rare congenital conditions

A

Hypersegmentation

How well did you know this?
1
Not at all
2
3
4
5
Perfectly
17
Q
A

Hypersegmentation

How well did you know this?
1
Not at all
2
3
4
5
Perfectly
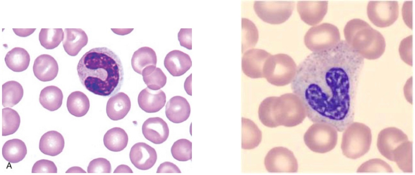
18
Q

Rare autosomal dominant disorder
Caused by failure of nuclear segmentation due to genetic defect
Heterozygous have dumbbell-shaped or hyposegmented neutrophils with coarse chromatin and normal granules
Homozygous have neutrophils with a single, round, eccentric nucleus with clumped chromatin and no nuclear segmentation
Benign condition

A

Pelger-Huet anomaly

How well did you know this?
1
Not at all
2
3
4
5
Perfectly
19
Q
A

Pelger-Huet anomaly

How well did you know this?
1
Not at all
2
3
4
5
Perfectly
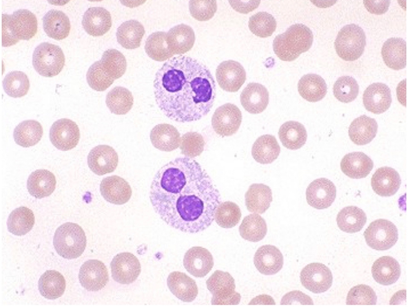
20
Q

An acquired abnormality due to myelodysplastic disorders, myeloproliferative diseases, and acute and chronic leukemia’s, reactions to drugs, and so on.
Drug induced tends to have monolobated neutrophils with a single ovoid nucleus
Myelodysplastic syndrome tends to be bi-lobed neutrophils

A

Pseudo Pelger-Huet anomaly

How well did you know this?
1
Not at all
2
3
4
5
Perfectly
21
Q
A

Pseudo Pelger-Huet anomaly

How well did you know this?
1
Not at all
2
3
4
5
Perfectly
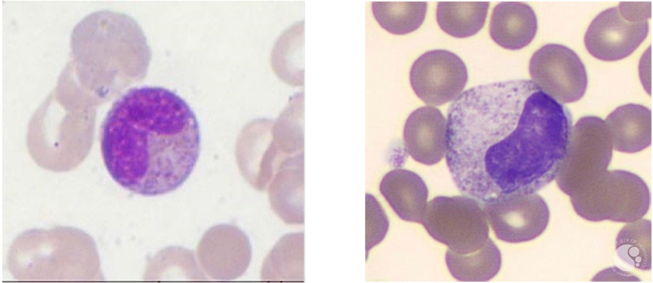
22
Q

Autosomal dominant abnormality characterized by large pale basophilic inclusions resembling Dohle bodies which appear to be altered RNA
Giant platelets and sometimes thrombocytopenia

A

May-hegglin anomaly

How well did you know this?
1
Not at all
2
3
4
5
Perfectly
23
Q
A

May-hegglin anomaly

How well did you know this?
1
Not at all
2
3
4
5
Perfectly
24
Q

Rare autosomal recessive disorder
Partial oculocutaneous albinism due to defects in melanin granules and recurrent pyogenic bacterial infections due to abnormalities in granulocytes
Basic defect is in microtubules resulting in fusion of lysosomal granules
All WBCs contain abnormally giant granules
Azurophilic granules form and fuse together to form mega granules

A

Chediak-Higashi syndrome

How well did you know this?
1
Not at all
2
3
4
5
Perfectly
25
Chediak-Higashi syndrome
26
Caused by the deficiency of one of ten lysosomal enzymes and the resultant accumulation of glycosaminoglycans in tissues and organs Evenly distributed granulocytes show metachromatic and darkly staining inclusions that resemble toxic granulation but are permanent Gargoylism and dwarfish Can be neurological impairments, vision, hearing, and developmental issues Tay-sachs, Hunter syndrome
Alder-reilly anomaly
27
Alder-reilly anomaly
28
Alder-Reilly anomaly
29
Rare genetic disorder Deposition of glucocerebroside in cells of the macrophage-monocyte system Disorder results from the deficiency of the enzyme glucocerobrosidase Lipid storage problem
Gaucher Cell
30
Gaucher cell
31
Lysosomal storage disease that affects metabolism and caused by genetic mutations Some not able to metabolize cholesterol and other lipids property within the cell Others have a deficiency of a specific enzyme, acid sphingomyelinase
Niemann-pick disease
32
Niemann-pick cells
33
Develop when a series of acquired genetic mutations take place within the bone marrow compartment leading to a proliferation of clones of abnormal stem cells
Myeloproliferative disorders (neoplasm)
34
Peripheral blood demonstrates neutrophilia with prominent left shift, eosinophilia, and basophilia Typically numerous myelocytes and segmented neutrophils predominate Dark primary granules, metamyolocytes, band neutrophils
Chronic myelogenous leukemia
35
Chronic myelogenous leukemia
36
Very high WBC count and immature WBC (blasts, promyelocytes, myelocytes, and metamyelocytes) Often have anemia or thrombocytopenia Band neutrophils, increase in basophils and eosinophils
Chronic myelogenous leukemia
37
Chronic myelogenous leukemia
38
Chronic myelogenous leukemia
39
Solid green arrows = atypical monocytes, they are slightly larger and show a decreased lobularity of the nucleus Dotted green arrow = large promonocyte Solid yellow arrows = hypogranular/agranular segmented neutrophils Dotted yellow arrow = band neutrophil White arrows = myelocyte with lower amount of cytoplasm Cyan arrow= a megaloblastoid metamyelocyte with hypogranular cytoplasm
Chronic myelomonocytic leukemia (CMML)
40
Condition where peripheral WBCs on a stained blood smear may have some resemblance to leukemia cells High neutrophil count with more immature cells, particularly myelocytes High leukocyte alkaline Phosphatase score Metamyelocytes, neutrophils
Leukemoid reaction
41
Leukemoid reaction
42
What disease?
Leukemoid reaction
43
Used to differentiate chronic leukemia vs leukemoid reaction An enzyme present in the secondary granules of neutrophils and not present in eosinophils or basophils Each cell is assigned a score between 0-4 (0 = no stain retained, 4 = very dark) Scores of each cell are added up which give a potential score 0-400
Leukocyte alkaline phosphatase (LAP)
44
Leukocyte alkaline phosphatase
45
Normal morphology Increase in RBCs, granulocytic WBCs, platelets, hemoglobin, and hematocrit
Polycythemia Vera
46
Polycythemia Vera
47
Sustained and pronounced thrombocythemia Increased megakaryocytes in marrow Increased WBC, occasionally metamyelocytes and myelocytes present
Essential thrombocythemia
48
Essential thrombocythemia
49
Fibrosis of marrow cavity Extramedullary hematopoesis Smear may show nRBC, immature granulocytes, micromegakaryocytes Tear drop cells
Primary myelofibrosis
50
Primary myelofibrosis
51
Acute myeloblastic leukemia, minimally differentiated
Acute myelogenous leukemia M0
52
Acute myeloblastic leukemia, without maturation
Acute myelogenous leukemia M1
53
Acute myeloblastic leukemia, with granulocytic maturation
Acute myelogenous leukemia M2
54
Promyelocytic, or acute promyclocytic leukemia (APL)
Acute myelogenous leukemia M3
55
Acute myelomonocytic leukemia
Acute myelogenous leukemia M4
56
Myelomonocytic together with bone marrow eosinophilia
Acute myelogenous leukemia M4eo
57
Acute monoblastic leukemia (M5a) or acute monocytic leukemia (M5b)
Acute myelogenous leukemia M5
58
Acute erythroid leukemias, including erythroleukemia (M6a) and very rare pure erythroid leukemia (M6b)
Acute myelogenous leukemia M6
59
Acute megakaryoblastic leukemia
Acute myelogenous leukemia M7
60
This stains is an enzyme that is found in the primary grandes of all granulocytes and monocytes and not present in lymphocytes Useful for differentiating between ALL and AML Positive stain for acute myeloid leukemias M1, M2, M3, M4 Stains lipids present in the primary and secondary granules of granulocytes and monocyte lysosomes
Myeloperoxidase (MPO)
61
What stain is present
Myeloperoxidase (MPO)
62
Non-specific - used to differentiate granulocytes from monocytes Specific - specific for granulocytes (myeloblasts)
Esterase stains
63
What stain is used
Esterase stain
64
Lack of obvious myeloid differentiation Presence of myeloperoxidase in <3% of blasts Blasts are small to large with no granules or auer rods Blasts contain evenly distributed chromatin and prominent nucleoli Appear similar to lymphoblasts
Acute minimally differentiated myeloid leukemia (AML-M0)
65
What disease shows myeloblasts that are larger than a small lymphocyte and does not show prominent nucleoli
Lymphoblastic leukemia
66
What disease
Acute minimally differentiated myeloid leukemia (AML-M0)
67
Presence of more than 90% myeloblasts in blood and/or bone marrow Most blasts are large with prominent nucleoli
Acute myeloblastic leukemia with minimal maturation (AML-M1)
68
What disease
Acute myeloblastic leukemia with minimal maturation (AML-M1)
69
Presents with greater than 20% blasts, at least 10% maturing cells of neutrophil lineage, and fewer than 20% precursors with monocytic lineage Auer rods and other aspects of dysplasia are present Abnormal shapes and primary granules starting
Acute myeloblastic leukemia with maturation (AML-M2)
70
What disease
Acute mydoblastic leukemia with maturation (AML-M2)
71
Predominance of promyelocytes Abundance of purple granules Some have "bundles of auer rods" Promyelocytes have abnormally coarse and numerous azurophilic granules Several cells have bi-lobed nuclei (angel wings) and a cell in the center of the field contains multiple needle-like auer rods
AML-M3 Acute promyelocytic leukemia (APL)
72
What disease
AML M3 Acute promyelocytic leukemia (APL)
73
Myeloid and monocytic cells are present Monocytic cells comprise at least 20% of all marrow cells, with monoblasts and promonocytes present
Acute myelomonocytic Leukemia (AML M4)
74
What is M4 eos
Acute myelomonocytic leukemia with eosinophilia
75
What disease
Acute myelomonocytic leukemia (AML M4)
76
More than 20% monoblasts and/or promonocyte cells in bone marrow Large monoblasts with fine nuclear chromatin and prominent nucleoli Absence of auer rods Promonocytes show moderate amounts of cytoplasm and large nuclei with five chromatin but without prominent nucleoli Presence of nuclear folds and creases
Acute monoblastic-monocytic leukemia (AML M5)
77
What disease
Acute monoblastic - monocytic leukemia (AML M5)
78
What kind of cell is the arrow pointing at? What disease
Nucleated RBC (nRBC) Erythroleukemia (AML-M6)
79
What disease
Acute basophilic leukemia (AML M8)
80
Lymphocytes are small but slightly larger than normal small lymphocytes and show scant cytoplasm and round to slightly irregular nuclei contains clumped chromatin Nucleoli are small to indistinct Presence of "smudge" or "basket" cells
B-cell chronic lymphocytic leukemia (CLL)
81
What disease
B-cell chronic lymphocytic leukemia (CLL)
82
Medium-sized lymphocytes with prominent single nucleoli, with a moderate amount of pale weakly basophilic cytoplasm, and somewhat condensed chromatin What disease?
Chronic lymphocytic leukemia (CLL) with prolymphocyte transformation / prolymphocytic leukemia
83
What disease
Chronic lymphocytic leukemia (CLL) with prolymphocyte transformation / prolymphocytic leukemia
84
What type of Acute Lymphocytic Leukemia (ALL): T cell or pre-B cell Small and homogeneous (uniform) cells
ALL - L1
85
What type of Acute Lymphocytic Leukemia (ALL): T cell or pre-B cell Large and heterogeneous (varied) cells
ALL - L2
86
What type of Acute Lymphocytic Leukemia (ALL): B cell Large and varied cells with vacuoles
ALL - L3
87
Mostly B cells Blasts have: Minimal cytoplasm Variable nuclear size and chromatin density Irregular nuclear contour Some small nucleoli
Acute lymphocytic leukemia L1
88
What disease
Acute lymphocytic leukemia L1
89
Blasts have: Moderate cytoplasm Round nuclei of variable size Coarse chromatin Some resemble mature lymphocytes Not noticeable nucleoli
Acute lymphocytic leukemia L1
90
What disease
Acute lymphocytic leukemia L1
91
Large lymphoblasts have: Moderate cytoplasm Large nuclei with hoarsely reticular chromatin Prolymphocytic transformation
Acute lymphocytic leukemia L2
92
What disease
Acute lymphocytic leukemia L2
93
Blasts have cytoplasmic azurophilic granules (uncommon)
Acute lymphocytic leukemia L2
94
What disease
Acute lymphocytic leukemia L2
95
Blasts: Vary in size, small to large May contain very scant to moderate amounts of cytoplasm and is a darker blue color May be heterogeneous with respect to the amount of cytoplasm, nuclear size, and presence or absence of distinct nucleoli Cytoplasmic vacuoles may be seen
Acute lymphocytic leukemia L3
96
What is a characteristic feature of Burkina lymphoma/leukemia and is related to the Epstein-Barr virus
The presence of cytoplasmic vacuoles
97
What disease
Acute lymphocytic leukemia L3
98
AKA Burkitt lymphoma Tumor cells have moderate amounts of deeply basophilic cytoplasm with numerous lipid vacuoles
Acute lymphocytic leukemia L3
99
What disease
Acute lymphocytic leukemia L3
100
What is a group of malignancies that develop from lymphocytes, they originate in lymphoid tissue and spread to the bone marrow and other tissues over time
Lymphoma
101
What are the two main types of lymphoma
Hodgkin lymphoma and Non-Hodgkin lymphoma
102
Name the disease: Malignant cells usually have B-cell markers Associated with epstein-barr virus Reed-sternberg cells in bone marrow
Hodgkin's lymphoma
103
What disease
Hodgkin's lymphoma
104
Seen in a bone marrow specimen with twin nuclei and prominent nucleoli Clear area around the nucleoli with H&E stain, giving "owl's eyes”
Reed sternberg cells
105
What type of cell
Reed sternberg cells
106
Rare b-cell lymphoproliferative disorder usually seen in middle-aged men Shows the circumferential cytoplasmic ”fuzzy” projections (arrow) Moderate light to pale blue cytoplasm
Hairy cell leukemia
107
What disease
Hairy cell leukemia
108
An aggressive form of lymphoma called cutaneous T-cell lymphoma. Cells are present in the blood, skin, and lymph nodes Abnormally shaped nucleus
Sezary syndrome
109
What type of cell
Sezary cells
110
Intermediate to large sized lymphoid cells with irregular nuclei, dispersed chromatin, prominent nucleoli, and small amounts of cytoplasm
T-cell lymphoblastic lymphoma
111
Circulating lymphoma cells may be pleomorphic with basophil cytoplasm resembling blasts Vary in size
Large B-cell lymphoma
112
Cells with cleaved nucleus and paucity of cytoplasm What disease?
Mantle cell lymphoma
113
What cell
Plasma cell
114
Plasma cells with multiple cytoplasmic globules present in a single cell Seen in some parasitic infections, malaria, leishmaniasis, trypanosomiasis, myeloma
Mott cells Grape cell or morula cell
115
The term for individual inclusion/globule in a Mott cell
Russell body
116
Nuclear inclusions in Mott cells
Dutcher bodies
117
Plasma cells with a distinctive pinkish hue in the outer rim of the cytoplasm Cells found in plasma cell dyscrasias as well as cases of chronic infection or inflammation
Flame cell
118
What cell
Flame cell
119
Varies from small mature-appearing plasma cells to large anaplastic cells without any apparent resemblance to plasma cells Show "clonal" morphology
Multiple myeloma
120
Cells with crystalline inclusions Forms include needle-like, coarse, azurophilic granules, prismatic, spindle shaped, spherical, and cylindrical shape What disease?
Multiple myeloma
121
Yellow arrow = small lymphocyte Two arrowheads = two plasma cells Two long arrows = two plasmacytoid lymphocytes What disease?
Waldenstrom's macroglobulinemia
122
Contains small lymphocytes, plasma cells, and plasmacytoid lymphocytes (constant feature) Can have rouleaux formation What disease
Waldenstrom's macroglobulinemia
123
Eccentric nuclei that protrudes from the cell and a pale hoff that is not adjacent to the nucleus What kind of cell?
Osteoblast
124
How are thrombocytes generated
Start in bone marrow → stem cell → common myeloid progenitor → megakaryocyte - erythrocyte progenitor → megakaryoblast → promegakaryocyte → megakaryocyte → platelet
125
Large cell about 20-30 micrometers in bone marrow Has a single oval or kidney- shaped nucleus, several nucleoli, and basophilie non-granular cytoplasm
Megakaryoblast
126
Large cell about 20-30 micrometers in bone marrow Single oval or kidney - shaped nucleus, several nucleoli and basophilic non-granular cytoplasm What cell
Megakaryoblast
127
More abundant cytoplasm Cytoplasm is less basophilic and may begin to show azurophilic granulation Nucleus becoming irregular even lobed in shape Multiple nucleoli present Still in bone marrow What cell
Promegakaryocyte
128
Large cell, round or oval. 20-80 micrometers. In bone marrow Cytoplasm appears lumpy, basophilic, with azurophilic granules Chromatin is dense and multi-lobed
Basophilic megakaryocyte
129
Large cell 35-160 micrometers in diameter. Round or oval, often has unclear contour. In bone marrow Edges are slightly basophilic or colorless Filled with markedly red or bluish-red granules Lobed condensed nucleus sometimes with separated lobuli What cell
Acidophilic megakaryocyte
130
Large, round to oval cell 35 - 160 micrometers. In bone marrow Cytoplasm is slightly reddish to colorless with clusters of azurophilic granules Produces between 2000 - 7000 thrombocytes, which can be seen breaking off along the margins of the cell Nucleus is irregular s often fragmented and pyknotic with denser chromatic
Thrombocytogenic megakaryocyte
131
What cell?
Megakaryocyte nuclei
132
15-30 micrometers Nuclear chromatin may appear smudged or puddled looking What cell?
Micromegakaryocyte
133
Rare autosomal recessive disorder Giant hyper granular platelets with granules condensed in center creating a "pseudo-nucleus” What disease?
Bernard - soulier syndrome
134
Normal to giant in size Round, oval or irregular in shape, have surface projections Cytoplasm is light gray to light blue Contain rare azurophilic granules What cell
Hypo granular platelet
135
Rare inherited disorder (autosomal recessive) Moderate thrombocytopenia and agranular platelets Platelets lack granules and appear as gray or pale blue splotches What disease
Gray platelet syndrome
136
May occur as the result of partial clotting from not properly and promptly mixing the specimen or if the blood draw is poorly performed Can cause pseudo-thrombocytopenia
Platelet clumps/aggregation
137
Can cause pseudo-thrombocytopenia Result of an IgG plasma antibody coating platelets in the presence of EDTA. The platelets then rosette around segmented neutrophils, bands, and monocytes
Platelet satellitism
138
Nuclei with multiple overlapping lobes
Megakaryocyte