LEcture 8: Pulmonary system - Diagnostic Testing/Chest Imaging Flashcards

(27 cards)

1
Q

When we have O2 in our blood theres different forms of that O2. Some is bound to Hb, some is in its dissolved form in plasma

A
How well did you know this?
1
Not at all
2
3
4
5
Perfectly
2
Q

Indications for chest x-ray (3)

A

Chest pain
Dyspnea
Cough

acute symptoms: persistent cough, dyspnea, chest pain, hemoptysis, fever

Cardiac concerns: CHF, thoracic aortic disease (widened mediastinum), post-trauma chest pain (rib fractures, hemothorax, pneumothorax)

Systemic symptoms: Unexplained wt loss, fever, night sweats, malignancy workup

Post procedure/device placement verification
* check endotracheal tube, central line, chest tube, NG tube position

How well did you know this?
1
Not at all
2
3
4
5
Perfectly
3
Q

Chest x-ray
* 2D view = not tones of detailed info
* viewing imaging as if you are directly looking at that pt

A
How well did you know this?
1
Not at all
2
3
4
5
Perfectly
4
Q
A
How well did you know this?
1
Not at all
2
3
4
5
Perfectly
5
Q

Ches X-ray Interpretation

Systemically analyze the structres on the image (ABCDE)

A = Airways and Trachea
* Trachea should be midline
* Deviation in the trachea suggests mass effect, pneumothorax, or pleural effusion
* Look for bronchi and carna (bifurcation should be at T5-T6 level)
* Right mainstem intubation (if endotracheal tube is too deep)

A
How well did you know this?
1
Not at all
2
3
4
5
Perfectly
6
Q

Ches X-ray Interpretation

Systemically analyze the structres on the image (ABCDE)

B - bones and soft tissues:
* Check ribs, clavicles, sternum for fractures or lesions
* Look for lytic lesions (metastic cancer) or extra calcifications
* Soft tissues –> check for subcutaneous air

A
How well did you know this?
1
Not at all
2
3
4
5
Perfectly
7
Q

Ches X-ray Interpretation

Systemically analyze the structres on the image (ABCDE)

C - Cardiac Silhouette and Mediastinum:
* Normal heart size = <50% of thoracic width (PA) view
* Enlarged heart (>50%) –> cardiomegaly, pericardial effusion
* Mediastinal widening –> consider aortic dissection, mass, or lymphoma

A
How well did you know this?
1
Not at all
2
3
4
5
Perfectly
8
Q

Ches X-ray Interpretation

Systemically analyze the structres on the image (ABCDE)

E - everything else (lungs, hidden findings):
* Compare right vs left lung fields for symmetry
* Consolidations (white patches) –> Pneumonia, atelectasis, hemorrhage
* Hyperinflation –> COPD, asthma (flattened diaphragm, increased rib spacing)
* Pneumothorax (no lung markings, sharp pleural edge)
* Masses, nodules –> cancer, tuberculosis, funal infections

NOTE: COPD can cause a flattened diaphragm (because its hyperinflatted because the air can’t get out)

A
How well did you know this?
1
Not at all
2
3
4
5
Perfectly
9
Q
A
How well did you know this?
1
Not at all
2
3
4
5
Perfectly
10
Q

Common patholgies on chest X-rays

Pneumonia:
* Pneumonia is more opaque than the surrounding normal lung and its margins may be fluffy and indistinct except for where it abuts a pleural margin
* Tends to be homogeneous in density
* May contain air bronchograms and may be associated w/ atelectasis
* We can sometimes localize the lobe imapcted by pneumonia

A
How well did you know this?
1
Not at all
2
3
4
5
Perfectly
11
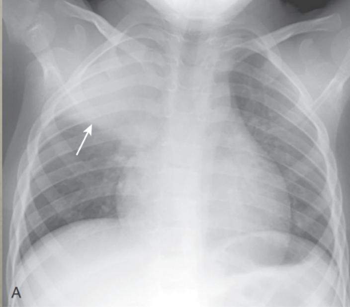
Q

RUL Pneumonia:
* This disease obscures the ascending aortia and produces a sharp margin where it abuts the minor fissure (arrow)

A
How well did you know this?
1
Not at all
2
3
4
5
Perfectly
12
Q
A
How well did you know this?
1
Not at all
2
3
4
5
Perfectly
13
Q
A
How well did you know this?
1
Not at all
2
3
4
5
Perfectly
14
Q
A
How well did you know this?
1
Not at all
2
3
4
5
Perfectly
15
Q
A
How well did you know this?
1
Not at all
2
3
4
5
Perfectly
19
Q

Pleural effusion
* Pleural effusions collect in the potential space between the visceral and parietal pleura and are either transudates or exudates, depending primarily on their protein content and LDH concentration

Very large pleural effusions may behave like a mass and produce a shift of the mobile mediastinal structures (i.e., the heart) away from the side of the effusion

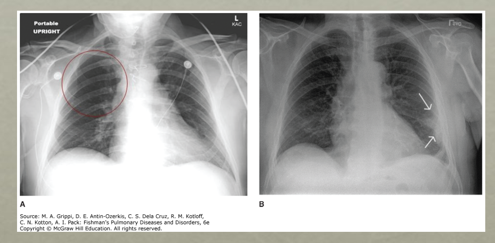
20
Q

This is a pleural effusion

Notice the L side has the pleural effusion and the trachea is deviated the the R (because things are deviated away from the side w/ the pleural effusion)

21
Q

Pneumothorax
* chest x-ray is the diagnostic test of choice, showing absence of lung markings and a visible pleural line - so i guess because its like 100% collapsed
* Tension pneumothorax is a life threatening emergency with tracheal deviation and mediastinal shift

23
Q

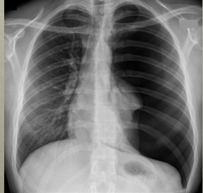
Common pathologies on Chest x-ray

HF
* Chest x-ray is a key tool in diagnosing CHF, showing signs of pulmonary congestion and cardiomegaly
* Findings var based on the severity of CHF (mild congestion vs, pulmonary edema)
* Key CXR signs include cardiomegaly, kerly B lines, pulmonary venous congestion (engorgement of upper lobe pulmonary veins due to increased L atrial pressure - early sign) and pleural effusions

notice the cardiac thoracic ratio

24
Q

Pulmonary embolism
* Chest x-ray is often normal in PE but can show subtle signs that suggest the diagnosis
* Chest CT angiography (CTA) is the gold standard for diagnosing PE, but CXR helps rule out other causes of dyspnea

25
26
Atelectasis = alveolar collapse --> Lung volume loss Obstructive - caused by airway blockage Common causes: * Mucus plug * Foreign body aspiration * Lung tumor * Endotracheal tube misplacement **Trachea shift toward the affected side (lung volume loss) Nonobstructive - external compression or reduced lung expansion (i.e., pleural effusion, pneurmothorax, surfactant deficiency). * Trachea shifts away from the affected side (if due to pleural effusion or pneumothorax)
27
pleural effusion = more systemic and organized * so because of gravity it will be pulled down to the diaphragm * more systemic because fluid is often building other places of their body as well pneumonia doesnt pull to the bottom like this Pneumothorax - no white part