Lecture chap. 1-2 Flashcards

(40 cards)

1
Q

double question

comment appelle-t-on les quelques organites cytoplasmique des réticulocytes

et les réticulocytes ont une durée de vie dans le sang de cmb de temps?

A

SUSTANCE GRANULOFILAMENTEUSE

et

24 h après ca devient érythrocyte

How well did you know this?
1
Not at all
2
3
4
5
Perfectly
2
Q

cv/f habituellement le neutrophile contient 2-3 noyaux

A

1 noyauzx polylobé

( polynucléaire c’est genre historique comme nom)

petit fun fact

How well did you know this?
1
Not at all
2
3
4
5
Perfectly
3
Q

Dans les Protéines de transport/stockage / régulation

importante pour l’hématopoièse

on en mentionne 5 plus importantes

nomme les

A

Transport

  1. TRANSCOBALAMINE 2 ( pour vit B12)
  2. TRANSFERRINE ( fer)

Stockage

  1. FERRITinE ( fer)

Prot de régulation

  1. Érythropoiétine
  2. THrombopoiétine
How well did you know this?
1
Not at all
2
3
4
5
Perfectly
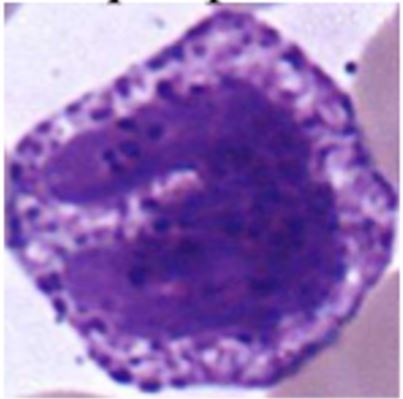
4
Q

wtf is that

A

BASOPHILE

lit la photo pls

How well did you know this?
1
Not at all
2
3
4
5
Perfectly
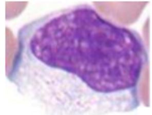
5
Q

wtf is that

A

Un petit lymphocyte waouh

cause Noyau prend presque tout la cellule et est full sombre

How well did you know this?
1
Not at all
2
3
4
5
Perfectly
6
Q

en gros comment se fait le métabolisme érythrocytaire

A

GLYCOLYSE ANAÉROBIE ++++++

( voie classique et celle des pentose) ( comme si tu savais ce que ca veut dire)

How well did you know this?
1
Not at all
2
3
4
5
Perfectly
7
Q
A
How well did you know this?
1
Not at all
2
3
4
5
Perfectly
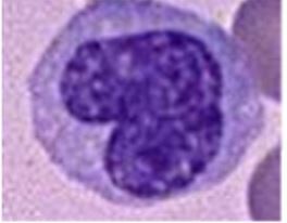
8
Q

wtf is that

A

a

NEUTROCYTE/neutrophile

( plusieurs lobes de noyaux , souvent 3)

How well did you know this?
1
Not at all
2
3
4
5
Perfectly
9
Q

v/f

La mesure de l’hématocrite se fait sur sang capillaire ou veineux

et c’est en fait

le VOLUME GLOBULAIRE RELATIVEMENT au SANG COMPLET , en %

A

bah c’Est exactement ca

un petit rappell

How well did you know this?
1
Not at all
2
3
4
5
Perfectly
10
Q

V/f l’examen avec FROTTIS SANGUIN

permet d’établir la différentielle leucocytaire

A

yepster

How well did you know this?
1
Not at all
2
3
4
5
Perfectly
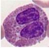
11
Q

Dans les propriété et fonction des polynucléaire neutrophile

( qui sont comme en ordre d’étape)

bah yen a 5 aka

1–) MARGINATION

2–) ?

3—) PHAGocytose et opsonisation

4—) ?

5 –) ?

A

2 –) Chimiotaxie et diapedes

4–) BActéricidie

5–) digestion intracellulaire

lire photo for 4,5

How well did you know this?
1
Not at all
2
3
4
5
Perfectly
12
Q
A

petit fun fact

How well did you know this?
1
Not at all
2
3
4
5
Perfectly
13
Q

donne trois raison qui permettent au sang

de remplir 1 de ses 4 fionction spécifique qui est de garder sa FLUIDITÉ

A
  1. La GRANDE DÉFORMABILITÉ des cellules sanguines ( surtout GR)
  2. les PROTÉINES ANTICOAGULANTES dans le plasma
  3. Les protéines permettant la FIBRINOLYSE
How well did you know this?
1
Not at all
2
3
4
5
Perfectly
14
Q

de quel méthode d’analyse globale s’agit-il

<< Je sépare les protéines sériques sériques en fonction de leur vitesse de migration lorsqu’elle sont soumises à un champs électrique , avec de l’acétate de cellulose>> - Victor Hugo

A

Well probably en fait could be both

si juste ca –) ELECTROPHORÈSE

mais IMMUNOFIXATION bah c’Est la première étape

faque bref juste question pour revoir snap

How well did you know this?
1
Not at all
2
3
4
5
Perfectly
15
Q

Il existe 2 méthodes analytiques globales courantes pour les protéines plasmatiques

nomme moi les 2

A

ELECTROPHORÈSE

et

IMMUNOFIXATION des prots sérique

How well did you know this?
1
Not at all
2
3
4
5
Perfectly
16
Q

dans

A
How well did you know this?
1
Not at all
2
3
4
5
Perfectly
17
Q

v/f , une variation de l’hématocrite fait varier la viscosité sanguine

A

yeah of course mais pas jsute ca , 4 trucs ( voir photo)

18
Q

si je divise mon volume globulaire par mon hématocrite

J’obtiens quoi

A

pense y deux sec

VOLUME SANGUIN

19
Q

wtf is that

A

un MONOCYTE

Grosse cellule

avec noyau ENCOCHÉ et non polylobé

20
Q

première étape de la destruction des bactéries après la phagocytose —) ?

et en gros se fait comment?

A

Bactéricidie

qui sera suivi de digestion intracellulaire

mais en gros se pogne pleins de radicaux toxique , mais pas besoin de comprendre la fuck off

21
Q

On considère que les Cellules sanguines provenant de la moelle osseuse ont besoin de 2 vitamines essentielles pour etre fabriqué , lesquelles?

et la lignée des globule , eux y’ont besoin de 2 truc aussi , lesquelles?

A

B12 et Acide folique

et l’autre c’est

B6 et Fer

23
Q

V/f le cytoplasme des Érythrocytes est une substance aqueuse avec pas grand chose dedans

A

FAUX

ATTENTION

y’a pas d’ORGANITES

FINE

,

MAIS YA FULL HÉMOGLOBINE

24
Q

Selon les 3 constantes érthrocytaire

si une delle est augmenté ou diminué

donnce ca veut dire quoi ( pas expliquer , mais genre ce serait une anémie…..)

A

VGM

si DIMINUÉ –) Microcytose

si Augmenté –) macrocytose

si Normal –) Normocytose

TGMH —) ON s’en fou

CGMH

si Diminué –) HYPOCHROMIE

si Augmenté–) you’re a liar pck st’impossible

si normal –) Normochromie

25
26
c'est quoi la différence entre du plasma et du sérum
plasma qui coagule --) fibrinogène se transforme en caillot de firine et le liquide résiduelle= ssérum
27
28
29
ok on dit que le sang peut faire 4 fonctions spécifiques lesquelles
1. Transport de l'oxygène vers périphérie et du CO2 vers les poumons 2. Défense conre l'étranger 3. Enraement de l'HÉMORRAGIE ( HÉMOSTASE) 4. Préservation de la FLUIDITÉ
30
donne moi les nom complet des 3 constante érythrocytaire à savoir
VGM: VOlume globulaire moyen TGMH : Teneur Globulaire moyenne en Hémoglobine CGMH Concentration globulaire moyenne en hémoglobine
31
Les valeurs normales du Volume sanguin totale , volume globulaire et volume ddu plasma varient selon 4 trucs dis les
Poids, taille , age ,sexe makes sense
32
La déformabilité érythrocytaire dépend de 3 facteurs lesquelles
1. Viscosité interne du cytoplasme érythrocytaire 2. Rapport suface/volume érythrocytaire 3. Flexibilité de la membrane je pense pas que c esoit important la…
33
ayt tell me the nom intelligent et quel test t'as permis de voir tout ca? 1. Coloration des hématie varie trop d'un érythrocyter à l'autre 2. On y voit des macrocytes voisinant des normocytes et des microcytes 3. Forme des érythrocyte varie trop 4. Coloration des érythrocyte est insuffisante 5. Hématie plus basophile que la teinte habituelle
FROTTIS SANGUIN 1. Anisochromie 2. Anisocytose ( hématie de taille inégale) 3. Poikilocytose 4. hypochromie 5. Polychromatophilie
34
35
donne moi 4 methodes d'analyse globales des protéines plasmatiques et 1 qui permet d'estimer/dépistage facile
VIT SEDIMENTATION is strong pour genre dépister sinon 1. Electrophorèse des prots 2. Immunofixation 3. Dosage fibrinogène 4. Dosage quantitatif des immunoglobulines
36
wtf is that
un ÉOSINOPHILE ( ressemble au neutrophile mais moins lobe ( souvent 2 au lieu de 3 )) et plus de grtanulations visible dans le cytoplasme
37
v/f une des fonctions spécifique du plasma est l'optimisation de la phagocytose
well its true cause it contains les IMMUNOGLOBULINES et le système du complément qui sont des prots OPSONISANTE faque ce sont des opsonines ( qui dans les fait facilite/optimise;))
38
quelle est la différence entre une formule leucocytaire enfant vs adulte
enfant jusqu'à 4-8 ans bcp plus de LYMPHOCYTE et tendance à leucocytose bpc plus élevé
39
v/f la fonction principale des monocytes est la phagocytose
VRAI MAIS ATTENTION Monocytes and Histiocytes(quand sort dans le sang) can both act as CELLULE PRÉSENTATRICE D'ANTIGÈNE which is cool for immunité cellulaire et humorale ( amis je pense c'est juste les Macrophage qui font ca et que c'est leur seul fonction ( mais tsé monocte et histiocyte permettent de se rendre à macrfo i guess)
40
Nomme moi 2 mesures relatives de la masse sanguine
well ya juste 2 possibilité HÉMAtocRITE et PLASMACRITE