lesión celular (necrosis) Flashcards

(30 cards)

1
Q

qué es la muerte celular?

A

efecto final de estímulos nocivos sobre la célula

How well did you know this?
1
Not at all
2
3
4
5
Perfectly
2
Q

Patrones de lesión celular

A

Apoptosis - fisiologico
Necrosis - patologico

How well did you know this?
1
Not at all
2
3
4
5
Perfectly
3
Q

Qué es la necrosis?

A

Cambios morfológicos que matan un tejido vivo
Causada por isquemia, toxinas, inflamación, desnaturalización de proteinas, rotura de organelos.

How well did you know this?
1
Not at all
2
3
4
5
Perfectly
4
Q

Tipo de necrosis más frecuente

A

Coagulativa
Infarto es necrosos coagulativa

How well did you know this?
1
Not at all
2
3
4
5
Perfectly
5
Q

Manifestacion de necrosis

A

Celulas gordas
Calientes
Desnaturalización de proteínas del citoplasma
Fragmentación de organelos celulares

How well did you know this?
1
Not at all
2
3
4
5
Perfectly
6
Q

Por que se da la necrosis?

A

Isquemia
Toxinas
Inflamación
Desnaturalización de proteínas
Rotura de organelos

How well did you know this?
1
Not at all
2
3
4
5
Perfectly
7
Q

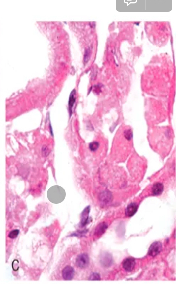
Cómo se ve la necrosis en histología?

A

Difuso rosa, eosinofilia borrosa

How well did you know this?
1
Not at all
2
3
4
5
Perfectly
8
Q

Cambios nucleares en la necrosis

A
  • cariolisis
  • picnosis
  • cariorrexis
How well did you know this?
1
Not at all
2
3
4
5
Perfectly
9
Q

Cariolisis

A

pérdida de la basofilia de la cromatina
nucleos pálidos

How well did you know this?
1
Not at all
2
3
4
5
Perfectly
10
Q

Picnosis

A

retracción nuclear con aumento en la basofilia
núcleos pequeños y muy azules

How well did you know this?
1
Not at all
2
3
4
5
Perfectly
11
Q

Cariorrexis

A

es la fragmentación de los núcleos picnóticos
- polvo estelar o nuclear

How well did you know this?
1
Not at all
2
3
4
5
Perfectly
12
Q

Necrosis más frecuente

A

coagulativa

How well did you know this?
1
Not at all
2
3
4
5
Perfectly
13
Q

tipos de patrones de necrosis tisular

A
  • coagulativa
  • grasa
  • caseosa
  • fibrinoide
  • gangrenosa
  • licuefactiva
How well did you know this?
1
Not at all
2
3
4
5
Perfectly
14
Q

Cómo se ve la necrosis COAGULATIVA en tejidos sólidos y por que es mas frecuentemente causada?

A

Se ven como triángulos con la base hacia afuera (hacia la perfieria)
Comunmente por infarto (isquemia)
Se ve de color amarillo

How well did you know this?
1
Not at all
2
3
4
5
Perfectly
15
Q

característica de la necrosis COAGULATIVA

A

es friable (o sea que la tocas y se rompe, frágil)

How well did you know this?
1
Not at all
2
3
4
5
Perfectly
16
Q

como se ve la necrosis coagulativa macro y micro?

A
  • macro: amarillo
  • micro: rosa o eosinofila
17
Q

cómo sucede la necrosia GRASA?

A

Enzimas digieren tejido graso
Común en pancreatitis aguda.
Páncreas produce enzimas emulsificantes de grasa, si hay un bloqueo de conducto pancreatico, se digerira por si solo.

18
Q

como se ve la necrosis grasa macro y micro?

A

Macro: amarilla y friable
Micro: rosa, cels amorfas, sin núcleo.

19
Q

Paciente que come graso y es alcoholico, llegó borracho.
Tiene dolor abdominar que irradia a espalda.

Caso clínico

A

Pancreatitis aguda.
Hidratar y quitar dolor.
Hacer tomografia abdominal.
Vaciar cámara gastrica para reducir enzimas digestivas.
Evaluar APACHE y Ransom.
No operar a menos que sea hemorragica o pseudoquistica.

20
Q

que se hace con un px que tiene pancreatitis chicos y grandes y cual es el prognostico segun la edad?

A

Se deja en ayuno y se vigila
Jovenes buen pronostico
Mayores de 50 mal pronostico

21
Q

Enfermedad común con necrosis caseosa

22
Q

Prueba mas efectiva para detectar la TB

A

Prueba del esputo.

23
Q

Tinción que se usa para ver necrosis caseosa por TB

A

Ziehl Neelsen
Se ve azul, bacilos se ven rosados.

24
Q

Px de 75 años, fumador, cocina con leña, duerme con 7 personas en un cuarto, síntomas B, sangra al toser.
Escuchas estretores en pulmon izquierdo.

Caso clínico

A

Haces prueba de esputo con tinción BAAR (Ziehl Neelsen) y encuentras bacilos.
TB.
Si haces biopsia encontraras granulomas y necrosis caseosa.
Si haces necropsia encontraras nódulos de Gomhn y calcificaciones.

25
Nodulos característicos de la TB
Nódulo de Gomhn
26
Necrosis gangrenosa
Similar a la coagulativa. Se obstruye un vaso sanguineo. Común por complicación de diabetes. Puede causar nefropatía, retinopatia, neuropatia.
27
Complicaciones agudas de necrosis gangrenosa
Cetoacidosis diabetica tipo 1 Hiperosmolaridad en diabetes tipo 2
28
Necrosis fibrinoide
Se acomoda en la lámina de pared de los vasos. Caracteristica de **vasculitis o lupus**.
29
Panarteritis nodosa
Por necrosis fibrinoide. Asociada a Hepatitis B.
30
Necrosis licuefactiva
Por infeciones o tumores. Tejido se transforma en líquido viscoso. Común en cerebro.