Lymphoid Neoplasms Flashcards

(33 cards)

1
Q

malignancy of lymphocytes
often form a mass
involve lymph nodes

A

lymphomas

How well did you know this?
1
Not at all
2
3
4
5
Perfectly
2
Q

enlarged painless lymph nodes
fever, fatigue, chills, night sweats

A

lymphoma

How well did you know this?
1
Not at all
2
3
4
5
Perfectly
3
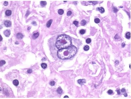
Q

Reed Sternberg cells present on tissue biopsy

A

Hodgkin lymphoma

How well did you know this?
1
Not at all
2
3
4
5
Perfectly
4
Q

derive from B cells
CD15 and CD30

A

Reed-sternberg cells
Hodgkin lymphoma

How well did you know this?
1
Not at all
2
3
4
5
Perfectly
5
Q

malignant cell= Reed-Sternberg cell
B symptoms common
hypercalcemia (from macrophages)

A

Hodgkin lymphoma

How well did you know this?
1
Not at all
2
3
4
5
Perfectly
6
Q

cervical lymphadenopathy commonly seen with this

A

Hodgkin Lymphoma

How well did you know this?
1
Not at all
2
3
4
5
Perfectly
7
Q
A

Hodgkin lymphoma

How well did you know this?
1
Not at all
2
3
4
5
Perfectly
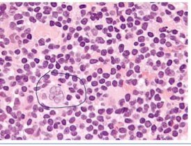
8
Q

rare variant of Hodgkin lymphoma
malignant cells: LP (popcorn cells)
express CD20

A

Nodular Lymphocyte Predominant Hodgkin Lymphoma

How well did you know this?
1
Not at all
2
3
4
5
Perfectly
9
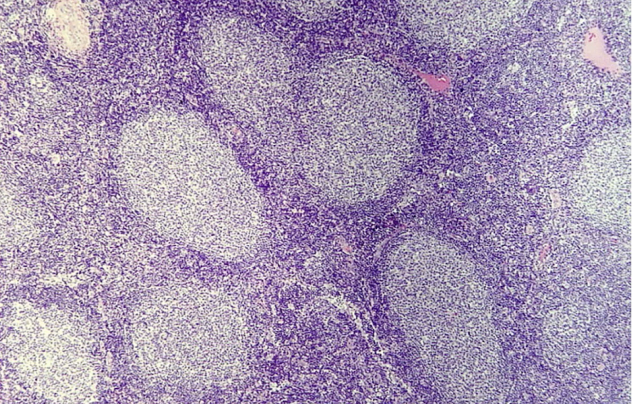
Q

most common type of Hodgkin lymphoma
tumor forms fibrous tissue surrounding itself and creating nodules

A

Nodular Sclerosing Hodgkin Lymphoma

How well did you know this?
1
Not at all
2
3
4
5
Perfectly
10
Q

more common in women
mediastinal mass on CXR
reed-sternberg cells seen in clear space (lacunar variant)

A

nodular sclerosing hodkgin lymphoma

How well did you know this?
1
Not at all
2
3
4
5
Perfectly
11
Q

hodgkin lymphoma type with many different cells

A

Mixed Cellularity

How well did you know this?
1
Not at all
2
3
4
5
Perfectly
12
Q

Lymphocyte rich type Hodgkin lymphoma has what prognosis

A

excellent

How well did you know this?
1
Not at all
2
3
4
5
Perfectly
13
Q

Lymphocyte depleted Hodgkin lymphoma has what prognosis

A

poor

How well did you know this?
1
Not at all
2
3
4
5
Perfectly
14
Q

localized; orderly spread from node to node

A

Hodgkin Lymphoma

How well did you know this?
1
Not at all
2
3
4
5
Perfectly
15
Q

multiple peripheral sites
noncontiguous spread
extranodal involvement common

A

Non-Hodgkin lymphoma

How well did you know this?
1
Not at all
2
3
4
5
Perfectly
16
Q

most common treatment for Hodgkin lymphoma

A

ABVD chemotherapy

17
Q

B and T cell malignancies (mostly B cells)
malignant cells obliterate lymph node architecture

A

Non-Hodgkin lymphoma

18
Q

most common Non-Hodgkin lymphoma
B cell malignancy (expresses CD19 and CD20)
median age of 64 yrs
AIDS defining malignancy

A

diffuse B cell lymphoma

19
Q

to treat diffuse B cell lymphoma

A

Rituximab (monoclonal CD20 antibody)

20
Q

B cell malignancy (express CD19, CD20)
t(14;18) translocation!!
overexpression of BCL2

A

follicular lymphoma

21
Q

median age 65 yrs
indolent course

A

follicular lymphoma

22
Q

lymphoma vs reactive lymphadenopathy

A

LAD will have macrophages b/c cell death
lymphoma will have BCL2 staining

23
Q

B cell malignancy
expresses CD5 and CD20
median age 68
poor prognosis

A

Mantle Cell Lymphoma

24
Q

t(11;14) translocation
overexpression of cyclin D1

A

mantle cell lymphoma

25
____zone forms and expands in setting of chronic inflammation
marginal zone
26
lymphoma in chronic inflammatory disorders
marginal zone lymphoma
27
CD20 and CD5 negative for cyclin D1 lymphocyte count <5000
small lymphocytic lymphoma
28
B cell malignancy very aggressive starry sky morphology EBV C-myc translocation
Burkitt's Lymphoma
29
"starry sky"
Burkitts lymphoma
30
endemic form: children and mass in mandible sporadic form: children and abdominal mass
Burkitt's lymphoma
31
CD4+ T cell malignancy HTLV-1 infection skin lesions
T cell leukemia/lymphoma
32
skin disorder of malignant T cells localized disease: Mycosis Fungoides diffuse disease: Sezary syndrome
Cutaneous T cell lymphoma
33
Sezary cells (seen in cutaneous T cell lymphoma)