Lymphoid Tissue I (Non-encapsulated) Flashcards

(13 cards)

1
Q
A

Primary Nodule:

  • More infrequent than secondary nodules
  • Consists of only small lymphocytes
  • Prenatal
  • Don’t possess a germinal center
How well did you know this?
1
Not at all
2
3
4
5
Perfectly
2
Q
A

Secondary Nodular

  • More frequent
  • Possesses a germinal center
  • Germinal center posses cluster of lymphoblasts
How well did you know this?
1
Not at all
2
3
4
5
Perfectly
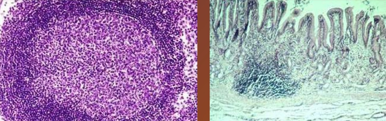
3
Q
A

Left - Secondary lymph nodule

Right - Primary lymph nodule

How well did you know this?
1
Not at all
2
3
4
5
Perfectly
4
Q
A

Partially encapsulated

A: Pharyngeal tonsil (Adenoids)

B: Palatine tonsil

C: Lingual tonsils

How well did you know this?
1
Not at all
2
3
4
5
Perfectly
5
Q
A

Pharyngeal tonsil

Psudostratified columnar ciliated epithelium

Posses germinal center

No crypts

A: Pseudostratified columnar ciliated epithelium

B: Germinal center

How well did you know this?
1
Not at all
2
3
4
5
Perfectly
6
Q
A

Palatine tonsil:

  • Stratified squamous epithelium
  • Thick partial tissue capsule
  • Germinal centers
  • Multiple crypts

A:Stratified squamous

B: Partial capsule

C: Germinal centers

D: Crypts

How well did you know this?
1
Not at all
2
3
4
5
Perfectly
7
Q
A

Lingual tonsil

  • Stratified squamous
  • No well defined capsule
  • Posses germinal centers
  • One crypt per tonsil

A: Stratified squamous epithelium

B: One crypt per tonsil

How well did you know this?
1
Not at all
2
3
4
5
Perfectly
8
Q
A

Palatine Tonsil

How well did you know this?
1
Not at all
2
3
4
5
Perfectly
9
Q
A

Lingual tonsil

How well did you know this?
1
Not at all
2
3
4
5
Perfectly
10
Q
A

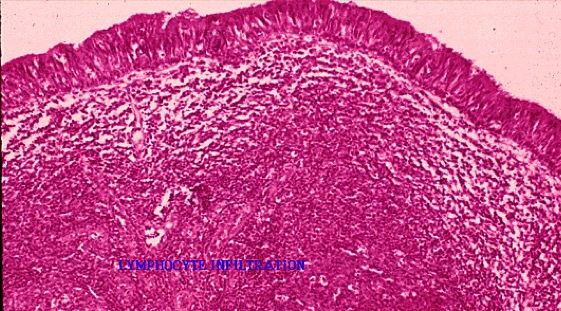
Pharyngeal tonsil

How well did you know this?
1
Not at all
2
3
4
5
Perfectly
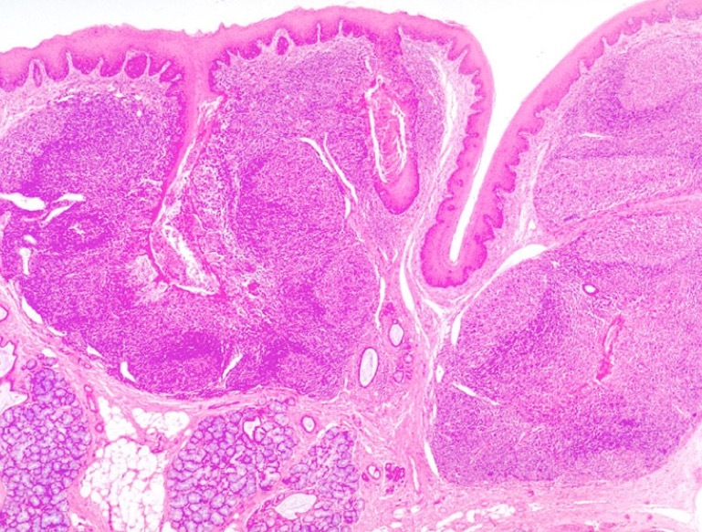
11
Q
A

GALT

Small intestine

A: illeum

B: Villi

C: Lymphoid tissue

D: Peyer’s patches

Simple columnar with goblet cells

How well did you know this?
1
Not at all
2
3
4
5
Perfectly
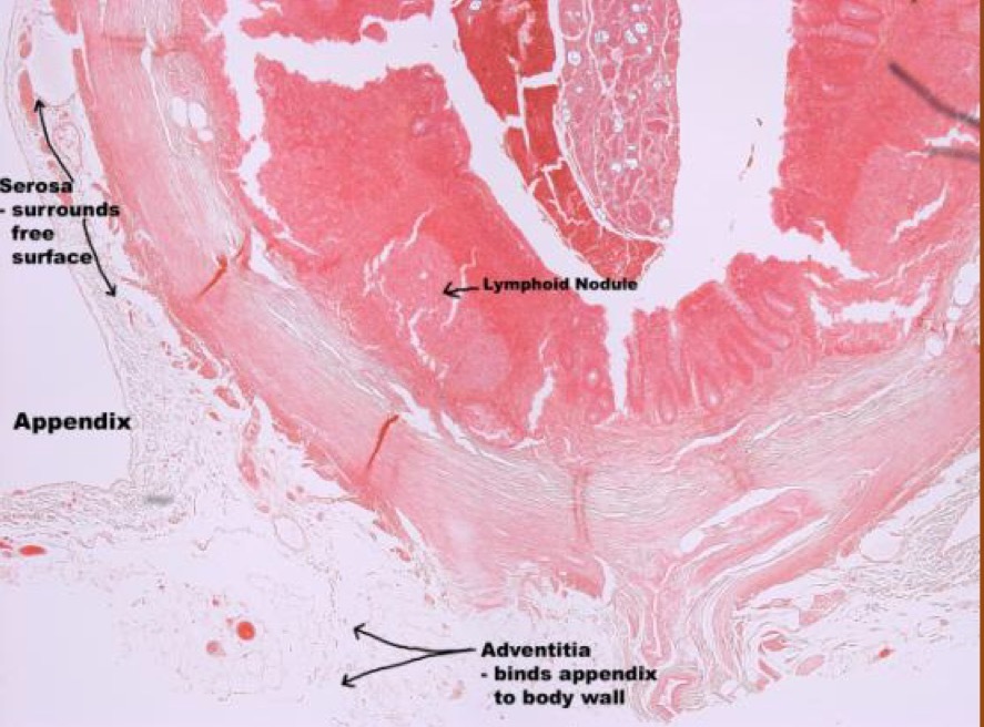
12
Q
A

GALT

Vermiform appendix

No villi

Crypts

Simple columnar with goblet cells

How well did you know this?
1
Not at all
2
3
4
5
Perfectly
13
Q
A
How well did you know this?
1
Not at all
2
3
4
5
Perfectly