What is the neuropathology of AD?
Extracellular plaques
Neurofibrillary tangles
Cerebral amyloid angiopathy (CAA)
Neuronal loss (cerebral atrophy)
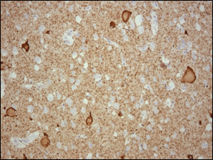
What is this?

Senile plaques
What is this?

Cerebral amyloid angiopathy
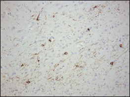
What is this?

Tau immunostaining
Which drug for Alzheimer’s has not yet been approved?
Aducanumab
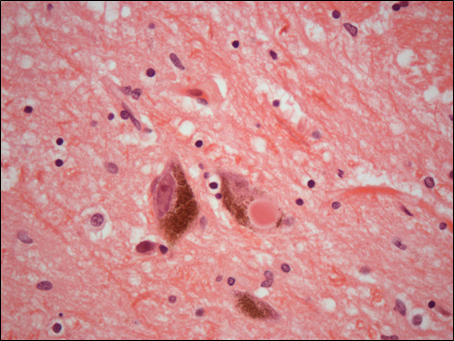
What is this?

Locus classicus
Low pigmented substantia nigra - Parkinson’s
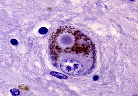
What is this?

Lewy Body
What is this?

Lewy Body
What is this?

Lewy Body
What is the pathology of α-synuclein?
Polymeropoulos in 1997 found that mutations in the α-synuclein gene can result in PD.
Spillantini reported that Lewy bodies and Lewy neurites are immunoreactive for α-synuclein.
Now α-synuclein immunostaining is considered as the diagnostic gold standard.
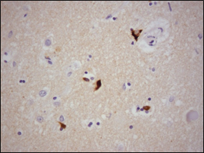
What are these?

α-synuclein immunostaining
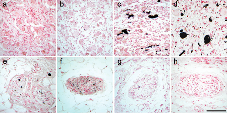
What are these?

α-Syn pathology in the epicardial nerve fascicles (e, f) and paravertebral sympathetic ganglia (a, b).
What are causes of Parkinsonism?
What is this?

Multiple System Atrophy (MSA)
What is this?

Corticobasal Degeneration (CBD)
What is this?

Progressive supranuclear palsy (PSP)
What is this?

Progressive supranuclear palsy (PSP)
What are features of Pick’s Disease?
Fronto-temporal atrophy
Marked gliosis and neuronal loss
Balloon neurons
Tau positive Pick bodies
What is this?

Tau positive Pick bodies
What is this?

Tau positive Pick bodies
What is the structure of the TAU protein?
Single gene on 17q21
16 exons
Alternative splicing gives rise to 6 isoforms
3R or 4R-tau (microtubule-binding domains)
Two further inserts with unknown function
Shortest form (3R/0N) foetal