OPTHALMOLOGY 9 Flashcards

(29 cards)

1
Q

what are some anatomicla differences between cat and dog eyes?

A

*No eyelashes
*Deep anterior chamber
*Iris pale with visible vasculature at the periphery
*Pupil is a vertical slit: greater constriction compared to round pupil

How well did you know this?
1
Not at all
2
3
4
5
Perfectly
2
Q

what are some anatomicla differences between cat and dog FUNDUS?

A
  • optic nerve head located ventral
    *^ small and grey due to absence of myelin
How well did you know this?
1
Not at all
2
3
4
5
Perfectly
3
Q

do cats tend to have a low or high IOP during examination due to stress?

what is the normal rnage?

A

10-25 mmHg
high due to stress

How well did you know this?
1
Not at all
2
3
4
5
Perfectly
4
Q

in eyelid agenesis/colomba, which part of the eyelid is usually missing?

tx for the condition?

A

upper lateral

lubrication or eyelid reconstruction

How well did you know this?
1
Not at all
2
3
4
5
Perfectly
5
Q

are eyelid tumours usually benign or malignant

A

malignant

How well did you know this?
1
Not at all
2
3
4
5
Perfectly
6
Q

what is the most common eyelid tumour

A

SCC

How well did you know this?
1
Not at all
2
3
4
5
Perfectly
7
Q

What are some causes of UNILATERAL third eyelid protrusion?
BILATERAL?

A

uni: -horners syndrome
-ocular suface pain
-retrobulbar disease

bi: -bilateral from uni’s list
-haws syndrome
-dysautonomia

How well did you know this?
1
Not at all
2
3
4
5
Perfectly
8
Q

what are 4 infectious causes of conjuctivitis

A
  • Chlamydophila felis
  • Feline Herpes 1
  • Mycoplasma
  • Feline Calicivirus
How well did you know this?
1
Not at all
2
3
4
5
Perfectly
9
Q

infectious conjuctivitis due to chlamydophila felis will have which unique symptom?

is it more unilateral or bilateral?

gram + or gram -?

A

chemosis (eyelid swelling)

uni

gram -

How well did you know this?
1
Not at all
2
3
4
5
Perfectly
10
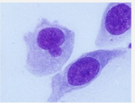
Q

seeing this in a cytology of conjuctivitis. likely which infective agent?

A

chlamydophila felis

How well did you know this?
1
Not at all
2
3
4
5
Perfectly
11
Q

tx of chlamydophila felis?

A

doxycycline

How well did you know this?
1
Not at all
2
3
4
5
Perfectly
12
Q

latent FHV infection is latent in the trigeminal nerve ganglia. what are 2 possible causes of re-activation?

after activation, is it usually self-lmiting?

A

stress & immunocompromise
yes

How well did you know this?
1
Not at all
2
3
4
5
Perfectly
13
Q

What type of ulcer is pathognomonic for FHV?

A

dendritic ulcer

How well did you know this?
1
Not at all
2
3
4
5
Perfectly
14
Q

describe the eye treatment for FHV PRIMARY infections

A

supportive:
-clean eyes
-lubricate
-antibiotics (?)
antiviral
-rare

How well did you know this?
1
Not at all
2
3
4
5
Perfectly
15
Q

describe the eye treatment for FHV REACTIVATED infections

A

[same as primary. only addition: stress management]
-antibiotic and lubricant
-stress management husbandry: litter/cardboard boxes
-antiviral treatments

How well did you know this?
1
Not at all
2
3
4
5
Perfectly
16
Q

What is symbelpharon?

A

complicaiton of FHV: Adhesions of conjunctiva or
third eyelid to each other or to
cornea

17
Q

what is corneal sequestrum

common in what type of cats?

what color ocular discharge?

what does the early condition look like?

best tx?

A

corneal necrosis

brachycephalic cats

dark brown ocular discahrge

early: tea staining of stroma

tx: surgical excision (keratectomy)

18
Q

what condition

A

eosinophillic keratitis

19
Q

what is the appearence

and cytology of eosinophillic keratitis

A
  • cottage cheese plaque
  • eosinophils on cytology
21
Q

what are 3 types of uveal neoplasia in cats?
which is msot common?

A
  • FDIM: feline diffuse iridal melanoma (most common)
  • feline intraocular sarcoma
  • lymphoma
22
Q

what are differences btwn iris melanosis and FDIM?

A

-pigment dispersion
-flat n superficial

23
Q

which of the 3 feline uveal tumours is rare, highly malignant, associated with trauma

A

feline intraocular sarcoma

24
Q

most common secondary intraocular tumour?
more commonly B or T cell?

A

lymphoma
B cell

25
most glaucoma in cats is secondary to __________ tx:(specific drug)
uveitis dorzolamide (CAI) +/- timolol (beta blocker)
26
appearance of taurine deficient retinopathy
-retinal degeneration -dialated cardiomyopathy -focal hyperreflectivity
27
progressive retinal atrophy (PRA) is inherited in which breeds?
siamese & abyssinian
28
systemic hypertension (common in older cats) can lead to hypertensive retinopathy. will this cause gradual or sudden onset blindness? hypertension is systolic bp> ______
sudden >170
29
which drug can cause irreversible retinal damage and blindness if > 5mg/kg/day given
enrofloxacin