Osteoarthritis Flashcards

(47 cards)

1
Q

What happens to fat tissue in the joint space after immobilization in patients with OA?

A

Increase in fibro-fatty build up in the joint space.

How well did you know this?
1
Not at all
2
3
4
5
Perfectly
2
Q

What are some of the results of excessive loading of articular cartilage?

A

Damage to collagen fiber network

Proteoglycan wash out

Decreased ability to respond to compressive and shear forces

How well did you know this?
1
Not at all
2
3
4
5
Perfectly
3
Q

In regards to OA which joint is the most frequently affected and source of complaint?

A

Hands

How well did you know this?
1
Not at all
2
3
4
5
Perfectly
4
Q

Four factors which contribute to joint inflammation

A

Abnormal mechanical loading

Obesity

Genetics

Aging

How well did you know this?
1
Not at all
2
3
4
5
Perfectly
5
Q

What are the 4 stages of changes in the cartilage structure as the degenerative process progresses?

A

Increased water and decreased proteoglycans

Fibrillation, fissuring, and erosion

Calcification/sclerosis of subchondral bone

Chondrocyte proliferation, hypertrophy, and apoptosis

How well did you know this?
1
Not at all
2
3
4
5
Perfectly
6
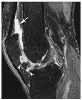
Q

What is represented in this image?

A

Bone marrow lesions

How well did you know this?
1
Not at all
2
3
4
5
Perfectly
7
Q

What are the common changes in bone structure during the later stages of OA?

A

Sclerosis (hardening) and cyst formation to the subchondral bone

Bone marrow lesions

Osteonecrosis

Bone attrition (reduction)

Joint deformity

How well did you know this?
1
Not at all
2
3
4
5
Perfectly
8
Q

What is the most likely source of pain in the OA?

A

Synovium

Bone

Nerves

How well did you know this?
1
Not at all
2
3
4
5
Perfectly
9
Q

What is the are the things indicated by the arrows and how does that influence OA?

A

That is infiltration of fragments of bone or cartilage into the synovium

How well did you know this?
1
Not at all
2
3
4
5
Perfectly
10
Q

What did Duncan’s 2008 study show in regards to severity of OA and severity of pain?

A

There is a strong correlation between pain and severity of OA

How well did you know this?
1
Not at all
2
3
4
5
Perfectly
11
Q

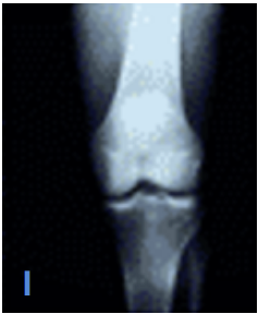
What are some of the characteristics of Kelgren and Lawrence Level I OA?

A

Minute osteophytes

Normal joint space

How well did you know this?
1
Not at all
2
3
4
5
Perfectly
12
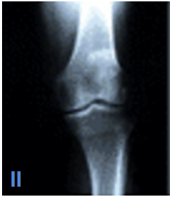
Q

What are some of the characteristics of Kelgren and Lawrence Level II OA?

A

Identifiable osteophytes

Joint space still maintained (mild)

How well did you know this?
1
Not at all
2
3
4
5
Perfectly
13
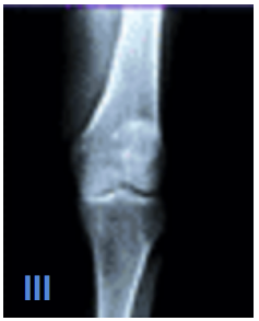
Q

What are some of the characteristics of Kelgren and Lawrence Level III OA?

A

Moderate reduction in joint space

How well did you know this?
1
Not at all
2
3
4
5
Perfectly
14
Q

What are some of the characteristics of Kelgren and Lawrence Level IV OA?

A

Severe reduction in joint space (severe)

How well did you know this?
1
Not at all
2
3
4
5
Perfectly
15
Q

What is the specificity and sensitivity for Altman’s clinical classification for Knee OA?

A

Sensitivity 89%

Specificity 88%

How well did you know this?
1
Not at all
2
3
4
5
Perfectly
16
Q

A recent Cochrane review should some results of land based exercise for OA. What are those results?

A

Exercise resulted in short term pain relief sustained for 2-6 months.

How well did you know this?
1
Not at all
2
3
4
5
Perfectly
17
Q

What are the precaution for rTSA?

A

Internal rotation with adduction and extension

How well did you know this?
1
Not at all
2
3
4
5
Perfectly
18
Q

The condition of which muscle determines the external rotation following a rTSA?

A

Teres minor

How well did you know this?
1
Not at all
2
3
4
5
Perfectly
19
Q

What is the rate of progression of patients with a negative ER lag sign following a rTSA

Wha is the functional elevation expected?

A

Quicker progression in terms of arm strength.

Functional elevation of 105º

20
Q

What are the main risk factors for hip OA?

A

Age

Previous hx of developmental disorders (developmental dysplasia, congenital dislocation, Legg-Calve-Perthes, Slipped Capital Femoral Epiphysis)

Trauma

High impact athletes (football, hockey)

Obesity (conflicting)

21
Q

What are the imaging ranges of distance for OA spacing in Hip OA?

A

Normal: 3-5mm

Significant change <0.5mm change

Moderate OA < 2.5mm (osteophytes likely present)

Severe OA: < 1.5mm (sclerotic hardening)

22
Q

What are the clinical diagnostic criteria for hip OA?

A

Hip pain

Erythrocyte sedimentation rate ≤20mm/hr

Pain on internal hip rotation

AM stiffness

Age greater than 50 years

23
Q

A difference of how many degrees between legs of internal rotation of the hip is considered pathological?

24
Q

What is the pattern of hip ROM limitation from more limited to less limited?

A

Internal rotation

Abduction

Flexion

25
What are the 5 items in Sutlive CPR for the diagnosis of hip OA?
Painful squatting Painful flexion Scour test that produces groin pain Painful extension IR \<25º
26
What manual therapy maneuver is applied in this picture?
Anterior glide of the hip joint.
27
What manual therapy maneuver is presented here?
Posterior hip glide.
28
What maneuver is being presented here?
Lateral distraction of the hip.
29
Which maneuver is this and how much force do you need to be effective?
Long axis distraction of the hip 70lb
30
What is this test assessing?
Knee flexion with adduction. Externally rotating and adducting the tibia.
31
What is this test assessing?
Knee flexion Tibia IR and abduction
32
What effects are expected with tibia internal rotation in various decrees of knee flexion?
This motion can add more movement of the tibia without increasing any symptoms to the knee.
33
Wha is the intension of this maneuver?
Promote knee extension
34
What maneuver is this?
Medial patellar glide.
35
What maneuver is this?
Lateral patellar glide.
36
What is the following technique?
Patellar rotation
37
What technique is this?
Patellar caudal glide
38
What maneuver is this?
Patellar superior glide
39
What maneuvers is this?
Fibular glides - Posterior
40
What maneuver is this?
Anterior tibial glide.
41
What is this maneuver testing
Quad flexibility
42
Besides obesity, female gender, and poor muscular strength what other condition is also associated with symptomatic knee OA?
Lower educational level.
43
What medication is recommended for patients with mild to moderate pain in knee OA?
Acetaminophen (Tylenol)
44
Which modality is indicated in the case of knee OA?
TENS
45
Which kind of injections have demonstrated good results for patients with knee OA?
Hyaluronate | (More effective than corticosteroids)
46
Which kind of surgery is indicated for medial or lateral compartment pain?
Unicompartmental knee arthroplasty per Zhang et all 2008
47
Is ACL morphological changes shown on MRI in the presence of knee OA per Altman?
No.