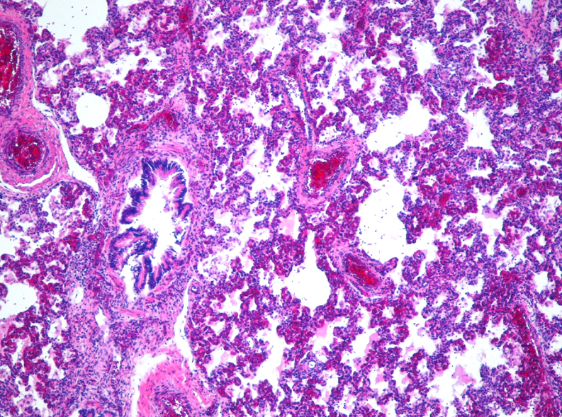
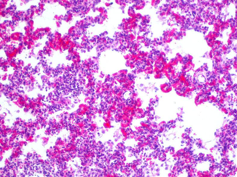
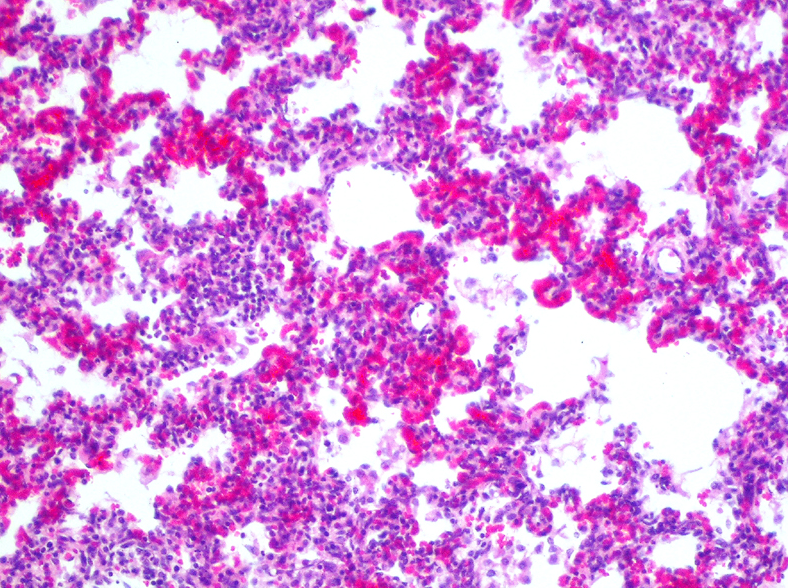
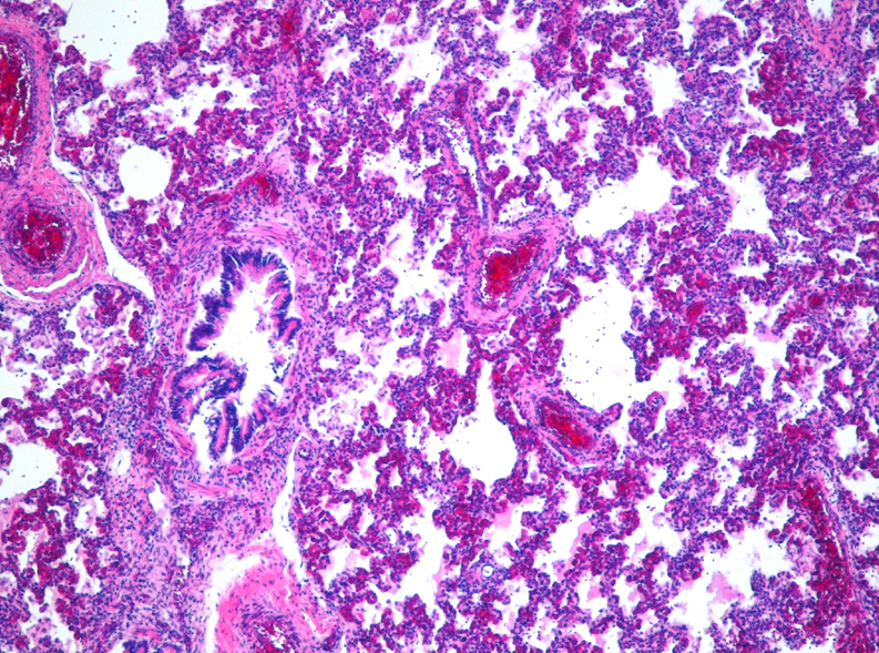
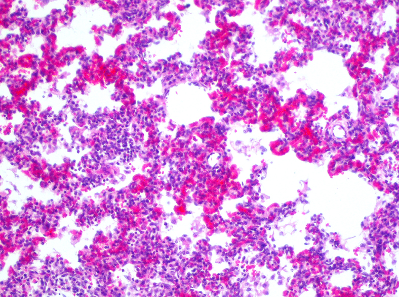
Identify:

Interstitial pneumonia

Identify:
This lesion can be complicated by?

INTERSTITIAL PNEUMONIA
-Can be complicated by HYALINE MEMBRANES

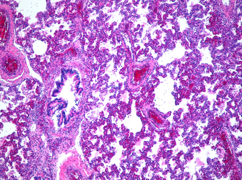
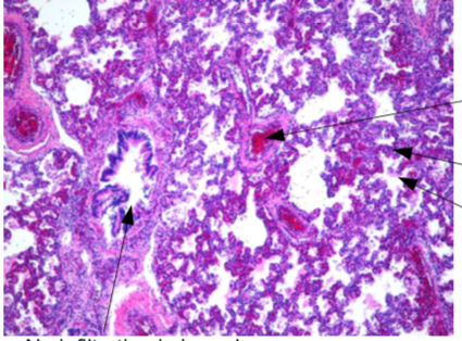
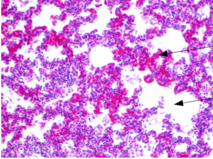
Identify this lesion
What is the most common cause?
(name all that apply)

Interstitial pneumonia

Identify lesion:
Who is most affected by this lesion
and what are the syptoms?

Interstitial pneumonia
Children, elderly patients
Symptoms:

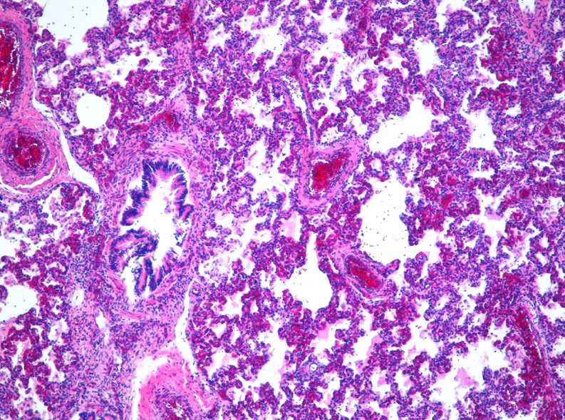
identify lesion:
What is its Morphology?

Interstitial pneumonia
Necrosis of type 1 epithelial cells and hyaline membrane formation
(Type 1 – most sensitive to damage and loss of integrity (intra-alveolar)
Morphology:

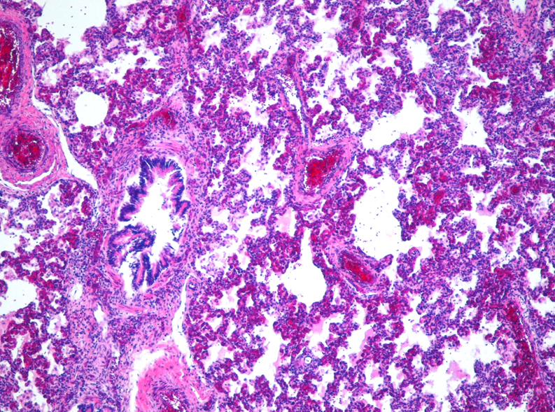
Identify
and
provide Microscopy of this slide:

Interstitial pneumonia

Identify slide:
Give 4 examples:

Interstitial pneumonia
Type 1 – most sensitive to damage and loss of integrity (intra-alveolar)
4 types:

Identify


identify:

Interstitial pneumonia
