Go over this pic of the main structures of the pelvis

What are some of the non-gynaecological causes of pelvic masses ?
Bowel:
Bladder/Urological.
Other:
e.g. retroperitoneal tumour.
What are some of the gynaecological origins of pelvic masses ?
What are the uterine causes of pelvic masses ?
What is the commonest cause of uterine pelvic masses ?
Uterine fibroids (remember that uterine fibroids are very common)
Endometrial and cervical cancers are common causes of pelvic masses - T or F?
False
What are uterine fibroids ?
They are benign smooth muscle tumours of the uterus also known as leiomyomas
Who do uterine fibroids typically occur in ?
Women >40
How big can uterine fibroids become ?
Usually few cm, but may be much bigger & multiple - A very large uterine fibroid can cause the uterus to expand to the size of a 6 or 7 month pregnancy
Pic shows large uterine fibroids

What are the typical presenting features of uterine fibroids ?
Many are asymptomatic
Others may have the following symptoms:
What is red degeneration of fibroid ?
It is a rare complication where thrombosis of fibroid vessels occurs followed by venous engorgement an inflammation, causing severe abdo pain +/- vomiting and low grade fever, and localised peritoneal tenderness usually occuring in the last half of pregnancy or 6 months following childbirth (puerperium)
What is the typical presentation of a uterine fibroid felt on pelvic exammination?
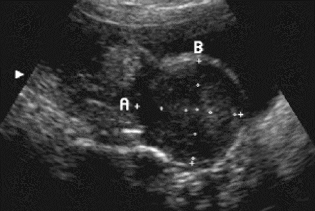
How are uterine fibroids diagnosed ?
Firboid in pic is indicated

What is the pharmacological treatment symptoms of uterine fibroids in terms of:
Red degernation requires painkiller and usually settles down
Menorrhagia:
Need to try at least 2 medical ones before surgery
What is the treatment required for most people with uterine fibroids ?
None - usually asymptomatic
What is the surgical options for uterine fibroids that could be considered if pharmacological management doesnt work or for those with menhorragia + fibroids > 3cm?
What are the causes of tubual swellings resulting in a pelvic mass ?
Ectopic pregnancy: (covered in another lecture)
Hydrosalpinx:
Pyosalpinx:
Paratubal Cysts:
What are some of the causes of ovarian masses resulting in pelvic masses ?
Tumours/Neoplastic:
or
Not tumours:
What is the treatment of benign ovarian cysts/masses ?
Removal or drainage if likely benign
Malignant treatment covered in ovarian cancer lecture
What is pyosalpnix and what is it caused by?
A condition in which the fallopian tube fills up and swells with pus.
Due to untreated PID which in turn is caused commonly by chlamydia and gonorrhoea
What are the symptoms potentially caused by pyosalpinx ?