Quiz 1 Flashcards

(5 cards)

1
Q

Which of the following are expected results of the loss of a tooth?

a) No change
b) supraeruption
c) drifting
d) tilting
e) all of the above

A

e) all of the above

How well did you know this?
1
Not at all
2
3
4
5
Perfectly
2
Q

In preparing a four unit bridge, you only have two abutments. A premolar & a molar. Which features below do you need for a favorable prognosis to finish the prosthesis?

a) an occlusal scheme with only one interference
b) a negative result for Ante’s Law calculation using these two teeth
c) a periodontally healthy premolar
d) all of the answers are correct

A

c) a periodontally healthy premolar

How well did you know this?
1
Not at all
2
3
4
5
Perfectly
3
Q

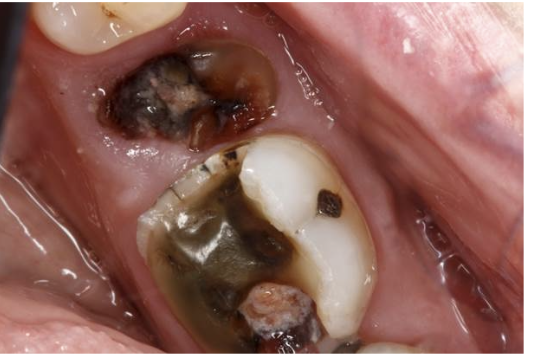
In the photo below we see an example of a patient. The patient desires a treatment pant for an RCT, buildup and crown on #30, and an extraction on tooth #29.
Which of the following are things to consider prior to this treatment in terms of treatment planning a bridge from #28-#30?

a) discuss with the patient the possible consequences if #29 is not replaced once it is extracted
b) taking the necessary radiographs to assess the area
c) an assessment of the patients occlusion
d) taking a thorough medical history
e) all answers are correct

A

e) all answers are correct

How well did you know this?
1
Not at all
2
3
4
5
Perfectly
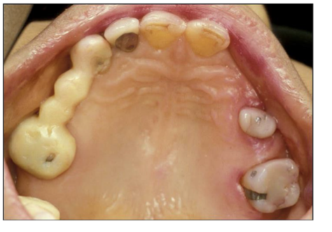
4
Q

This patient arrives in your office on a Monday morning. He states that he wants a permanent bridge placed on his upper right to replace to replace the failing temporary bridge. Which of the following is NOT required in order to decide if this is an appropriate treatment for this patient?

a) diagnostic casts
b) identifying esthetic desires
c) analysis of the patient occlusion
d) full mouth radiographs
e) all of the answers are required

A

e) all of the answers are required

How well did you know this?
1
Not at all
2
3
4
5
Perfectly
5
Q

Here are two mandibular teeth, #22 and #20. #21 is missing. Which of the following is true from the information you can see in this radiograph?

a) the ideal crown to root ratio can be seen in tooth #22
b) the crown to root ratio for #20 makes it recommended as a bridge abutment
c) the conical root shape of #22 enhances the actual area of support more than expected from the height of the bone
d) an endodontic assessment of #22 is not necessary before the definitive treatment plan
e) all of the answers are incorrect
f) all of the answers are correct

A

e) all of the answers are incorrect

How well did you know this?
1
Not at all
2
3
4
5
Perfectly