Quiz 4 Flashcards

(5 cards)

1
Q

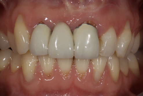
These PFM crowns were placed 10 years ago. Evident after this duration of time, is the metal on the two abutment teeth in this FPD. You can see the loss of porcelain which has chipped on the central incisor. What is the likely type of margin use for these crowns?

a) porcelain shoulder
b) metal collar
c) disappearing porcelain
d) all are likely

A

C

How well did you know this?
1
Not at all
2
3
4
5
Perfectly
2
Q

What is the most likely result of this type of PFM crown design?

a) wear on the opposing dentition
b) fracture of the incisal portion
c) poor translucency of overlaying ceramic
d) visible metal margin on facial

A

A

How well did you know this?
1
Not at all
2
3
4
5
Perfectly
3
Q

Which of the following are NOT part of the makeup of a metal-porcelain bond?

a) Vander Waal’s forces
b) Expansive forces
c) Mechanical interlocking of metal and porcelain
d) Chemical bonding

A

B

How well did you know this?
1
Not at all
2
3
4
5
Perfectly
4
Q

Which of the following measurements accurately described the layers in the design of a PFM crown?

a) The metal coping needs to be at least 0.5mm thick to properly support the porcelain

b) Ideally, the body porcelain is greater than 2mm thick for appropriate esthetics

c) Shoulder porcelain is used in a disappearing metal margin design for added strength

d) opaquing porcelain is minimally 0.2mm thick to hide the silver metal color as body porcelain is placed

A

D

How well did you know this?
1
Not at all
2
3
4
5
Perfectly
5
Q

This 45 year old patient comes in with a chief complaint of this crown on tooth #8. She had it done in another office because the tooth broke on vacation and she needed it fixed at the time. She is not happy with the esthetics. Which of the following phrases does not describe the changes you would make to this crown as you replace it with a PFM?

a) a base metal alloy coping is not recommended here because the patient reports a sensitivity to cheap jewelry

b) a porcelain shoulder or disappearing metal finish line is recommended and should be placed slightly subgingival

c) a metal lingual finish line 1.5mm away from where the opposing tooth occludes is recommended

d) the metal coping design is best left with at least 3.0mm of incisal porcelain not enhance the esthetics of the new crown’s translucency

e) a wax up will be needed here to ensure that the metal coping design is appropriately supporting the porcelain to prevent fracture

A

D

How well did you know this?
1
Not at all
2
3
4
5
Perfectly