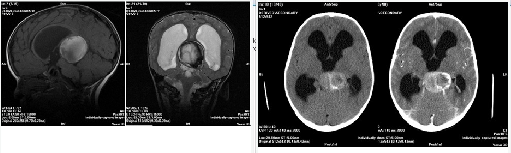
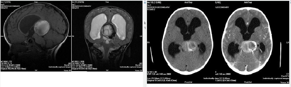
Seorang anak berusia 2,5 tahun dengan makroensefal dan gagal tumbuh kembang. Dia baru mulai bisa berjalan tetapi memiliki perkembangan bicara yang tidak sesuai dengan umur. Pada CT scan dam MRI tampak lesi pada regio pineal. Serum Beta HCG dan AFP negatif. Prosedur yang paling memungkinkan untuk dilakukan adalah
A. Biopsi endoskopi dan Pemasangan shunt CSF
B. Cerebral Angiogram
C. Biopsi stereotaktis
D. Open biopsy and possible resection

B. Cerebral angiogram
In this case, the pineal region lesion is not a tumor, but a Vein of Galen Malformation. Biopsy or attempt at open resection would be disastrous. This case emphasizes the need to carefully image, and in appropriate cases obtain angiography, for pediatric cases that may involve vascular lesions. Vein of Galen malformations present variably by age. Newborn children typically present in severe congestive heart failure due to high flow shunting through the malformation, and often macrocephaly. Older children may present first with hydrocephalus, usually with a slower flow lesion. Yasargil classified Vein of Galen Malformations in the following manner: 1: pure fistula of ACA or PCA branch to vein of galen, 2: Fistulous thalamoperforating vessels to Vein of Galen, 3: Combined lesions, and 4: Plexiform AVMs. Treatment options include endovascular techniques (both transarterial and transvenous), observation with management of hydrocephalus and rarely, open surgical techniques. Prognosis is related to age at presentation, cardiac status and presence of calcifications in the basal ganglia, as a marker of cererbral injury due to steal. In older children, non-operative management or hydrocephalus management alone can be successful. In this case, angiography showed a slow flow lesion which was seen to thrombose on follow-up studies.

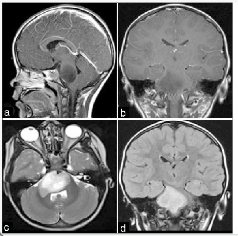
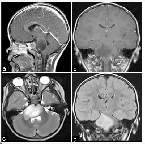
Seorang anak laki-laki datang dengan riwayat “dysequilibrium” sebelah kanan sejak 2 minggu lalu dan gangguan cara berjalan. pada pemeriksaan terdapat gangguan pada refleks muntah. Manakah dibawah ini yang paling sering berhubungan dengan kondisi patologis tersebut?
A. Perivascular pseudorosettes
B. Fibrally astrocytes with atypia
C. Mutasi lokus INI-1
D. Tidak adanya heterozigot dari kromosom 1p/19q
E. Indeks Ki-67 >4%

B. Fibrally astrocytes with atypia
Diffuse pontine gliomas classically present with cerebellar signs, lower cranial nerve deficits, and motor/sensory changes. Signs of CSF obstruction are more uncommon in this brainstem glioma subtype. Fibrillary astrocytoma is the most common histological type; although the genetic profile of mutations is varied, frequently TP53 and loss of 22q heterozygosity are encountered. The Ki-67 index is usually not elevated. Perivascular pseudorosettes are commonly seen in ependymomas and may also been seen in neurocytomas, PNETs and medulloblastomas. Loss of heterozygosity of chromosome 1p/19q is most commonly seen in oligoastrocytomas. INI-1 mutations are associated with atypical rhabdoid tumors.

Seorang anak laki-laki berusia 10 tahun dengan cerebral palsy dan diplegia spastis dirujuk untuk mengobati kekakuannya. Pasien dapat berjalan dengan asisten. Apakah prosedur definitif yang dapat memperbaiki kekakuan pada ektremitas bawah pasien :
A. Myelotomi pada midline
B. Selective dorsal rhizotomy
C. Injeksi botox
D. Selective peripheral neurectomy
E. Thermoregulasi DREZ
B. Selective dorsal rhizotomy
The current indications for selective dorsal rhizotomy include age greater than 2 years, diagnosis of spastic diplegia, some form of independent mobility, and either premature birth or birth at term with typical signs of spastic diplegia. This patient displays a form of cerebral palsy referred to as spastic diplegia. The patient’s spasticity can best be improved via a selective dorsal rhizotomy.
Botox injections typically have short term efficacy and will not provide long term improvement in spasticity. Midline myelotomy is a treatment option for visceral cancer pain. Selective peripheral neurectomy is indicated for severe focal spasticity. DREZ thermocoagulation is typically indicated for brachial plexus avulsion injuries for treatment of pain.
Seorang anak perempuan berusia 14 tahun yang sebelumnya sehat datang ke ruang gawat darurat dengan riwayat beberapa bulan lalu mengalami nyeri pada regio punggung bagian atas. Dia mengatakan bahwa nyeri membaik saat berbaring dan memburuk saat berdiri tegak. Dia menyangkal adanya nyeri menjalar, mati rasa, kesemutan atau ada hubungannya dengan saluran cerna atau berkemih. Riwayat trauma negatif. Hasil imaging terlampir. Apakah pengobatan yang paling mungkin diterapkan pada pasien :
A. Biopsi dengan perantara CT
B. Terapi metotreksat secara empiris
C. Terapi antibiotik secara empiris
D. Reseksi dan stabilisasi dengan instrumen
E. Terapi radiasi

D. Reseksi dan stabilisasi dengan instrumen
This lesion has imaging characteristics most consistent with an aneurysmal bone cyst. These include radiolucent, lytic destruction on CT with septations, high signal intensity on T2 weighted images and double density fluid levels. Aneurysmal bone cysts are benign tumors, and may often arise within another bony tumor. The indicated treatement is for resection of the lesion and subsequent stabilization of the spine, especially in a case like this, with vertebra plana. Antibiotic therapy, chemotherapy and radiation therapy are not indicated for this lesion. Biopsy of this lesion will not contribute to its definitive surgical management.

Seorang anak laki-laki berusia 15 tahun datang dengan nyeri tulang belakang hebat. Nyeri tidak bersepon baik pada pemberian Tylenol tapi pada pemberian aspirin menunjukkan respon yang baik. CT menunjukkan adanya lesi litik 1,5 cm padat dengan sarang kalsifikasi dan sklerosis sirkumferensial. Apakah diagnosisnya?
A. Osteochondroma
B. Osteoid osteoma
C. Hemangioma
D. Osteoblastoma
B. Osteoid osteoma
This child has an osteoid osteoma which typically presents between 10-20 years of age. The spine is involved in 10% of cases. CT reveals dense sclerosis around a lytic lesion with a central calcified nidus of osteoid and woven bone. They are usually < 2cm. Larger lesion should raise the suspicion of osteoblastoma. Symptoms include scoliosis and pain that responds to nonsteroidal anti-inflammatory medications.
Hemangiomas present a at a peak age of 30-50 years with a female predominance. Seventy-five percent are spinal and usually present in the vertebral body. CT demonstrates a honeycomb pattern. Most are asymptomatic and require no intervention.
Osteoblastomas also known as giant osteoid osteomas are typically > 2 cm in size and typically present around 20 years of age. There is a male predominance and they tend to occur in the posterior elements of the spine. These are more malignant than osteoid osteomas.
Osteochondromas also typical present at 20 years of age and have a male predominance. The have a tendency for the C2 spinous process or transverse process at other levels. The arise from lateral displacement of the epiphyseal growth cartilage.
Seorang pasien berusia 15 tahun dengan riwayat lahir prematur dan post-hemorrhagic hidrocephalus datang ke ruang gawat darurat dengan demam intermiten yang suhunya tidak lebih tinggi dari 100,20F, anoreksia dan nyeri kepala ringan. Sel darah putih dalam batas normal di 9,3. pasien dan ibunya menyangkal adanya kemungkinan malfungsi dari VP shunt. Pasien mengatakan “gejala ini berbeda dengan yang saya rasakan 8 bulan lalu saat shut terhambat.”. Diagnosis paling mungkin adalah :
A. Gastroenteritis
B. Pseudometer cerebri
C. Obstruksi proksimal shunt
D. Perforasi usus
E. Pseudokista abdominal
E. Pseudokista abdominal
Fastidious skin bacteria (staphalococcus epidermidis, proprionobacter, etc.) may cause chronic ventricular shunt infection, which often presents as a shunt related abdominal pseudocyst. Presenting symptoms include intermittent low grade fever, abdominal fullness, anorexia, nausea and vomiting, and headache. Fever >38.5 degrees C, rigors, meningismus, and peripheral leukocytosis are rare. Infection typically occurs weeks to months after the most recent surgical access or tap of the shunt system, representing the source of bacterial contamination. Ventricular shunt tap from a valve or reservoir may yield a normal or slightly elevated cerebrospinal fluid white blood cell count. Cultures may grow slowly (up to a week after sampling) or may be negative in the case of some difficult to culture organisms. Work-up should include imaging of the abdomen to identify a peritoneal pseudocyst around the distal shunt catheter, which indicates the presence of infection. Treatment involves appropriate antibiotic therapy and removal and ultimate replacement of shunt hardware in most cases.
Seorang anak berusia 3 minggu dengan hipoksia perinatal memiliki 2-10 detik episode yang terdiri dari fleksi dan ekstensi ritmik pada lengan, badan dan kepala. Hasil EEg menunjukkan ritme amplitudo yang tinggi dan kacau dari gelombang delta dan tetha yang bercampur dengan “mutifocal spikes”. Pilihan terapi yang dianjurkan pada pasien ini adalah :
A. Hormon adrenokortikotropik
B. Asam Valproat
C. Ethosuximide
D. Karbamazepin
E. Lorazepam
A. Hormon adrenokortikotropik
The described episodes are infantile spasms, which are best treated with ACTH. Infantile spasms are associated with perinatal hypoxia, have a characteristic EEG finding of hypsarrhythmia, and are a hallmark of West Syndrome. Infantile spasms portend a poor prognosis and may lead to Lennox-Gastaut syndrome.
Ethosuximide is the first line treatment for absence seizures. Valproic acid is the treatment of choice for primary generalized tonic-clonic seizures and juvenile myoclonic epilepsy. The first line agent for complex partial seizures typical of temporal lobe epilepsy is carbamazepine. Lorazepam is used to abort seizures in convulsive status epilepticus.
Seorang anak berusia 4 tahun dengan sindroma moya-moya simptomatis unilateral tealh diobati dengan revaskularisasi secara bedah. Satu tahun setelah operasi, pada angiogram terlihat arteriopati yang stabil dan perkembangan hasil operasi yang sangat bagus. Perhitungan aliran darah otak menunjukkan aliran yang baik dan secara klinis anak tanpa gejala. Pada saat ini, follow-up yang terbaik pada pasien ini adalah :
A. Kunjungan klinik atau radiologis hanya bila gejala timbul, selebihnya cukup kontrol rutin pada spesialis anak
B. Kunjungan klinik rutin setiap tahun dengan pemeriksaan neurologis yang mendetail dan MRI/MRA setiap 5 tahun
C. Kunjungan klinik rutin setiap tahun dengan pemeriksaan neurologis yang mendetail tanpa membutuhkan pencitraan radiologis
D. Kunjungan klinik dengan CT scan setiap tahun
E. Tidak perlu kontrol
B. Kunjungan klinik rutin setiap tahun dengan pemeriksaan neurologis yang mendetail dan MRI/MRA setiap 5 tahun
Children with unilateral moyamoya are at risk for development of moyamoya on the contralateral side, with about 1/3 of children progressing within a 5 year period. Risk factors include younger age (often under 7 years) or any type of arterial anomaly on the initially unaffected side. Follow-up with non-invasive imaging, such as MRI, can identify radiographic progression during this period of increased susceptibility Frequent CT imaging exposes children to ionizing radiation that is detrimental to their development and may increase risk of neoplasm.
Seorang anak berusia 5 tahun dengan nyeri kepala dan muntah-muntah. CT dan MRI terlihat adanya tumor ventrikel 4. Dilakukan kraniotomi suboksipital untuk reseksi total medulloblastoma. Reseksi diikuti dengan kemoterapi sesuai protokol dan raioterapi neuroaksis total, dengan dorongan ke arah fossa posterior. Manakah komplikasi endokrin yang sering muncul akibat radioterapi pada tumor fossa posterior anak-anak?
A. Diabetes insipidus
B. Sindrom Cushing
C. Defisit Growth hormone
D. Peningkatan Growth hormone
E. Sindrom Addison
C. Defisit Growth Hormone
Central nervous system (CNS) radiotherapy in childhood poses particular risks of hypopituitarism, in particular of short stature from growth hormone deficiency. Diabetes insipidus is uncommon. Gigantism, caused by growth hormone excess in childhood, is not seen. Pituitary neoplasms caused by previous radiotherapy for other diagnoses are extremely rare. Endocrine dysfunction, short stature and developmental delay caused by early childhood radiation generally preclude the use of cranial radiotherapy in children less than 3 years old.
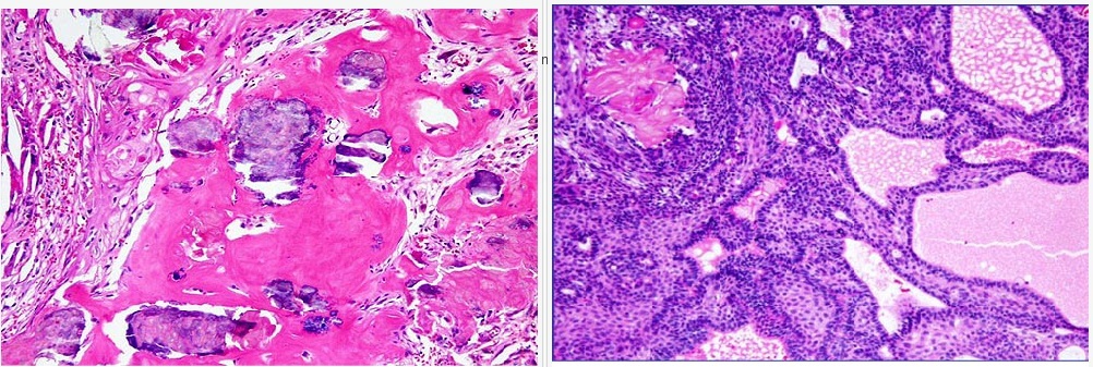
Seorang anak berusia 9 tahun datang ke spesialis anak dengan nyeri kepala dan pertumbuhan terhambat. Hasil patologi anatomi tumor terlihat seperti di gambar. Apakah diagnosis paling mungkin :
A. Colloid cyst
B. Craniopharyngioma
C. Pilocytic astrocytoma
D. Hypothalamic hamartoma
E. Pituitary adenoma

B. Craniopharyngioma
Craniopharyngiomas represent 1-2% of all intracranial neoplasms and about 10% of the tumors of the sellar region. The current WHO classification identifies two variants: adamantinomatous (Fig. 1) and papillary (Fig. 2). The adamantinomatous type tend to be mostly cystic lesions, while the papillary craniopharyngioma is most commonly a solid lesion. Some tumors may contain variable proportions of these two histologic patterns. In children, most tumors present with endocrinologic abnormalities, such as growth retardation and diabetes insipidus, and/or visual loss. In adults, symptoms of compressive effects including visual defects and hypopituitarism may be present. Mild hyperprolactinemia due to stalk compression may also be present.

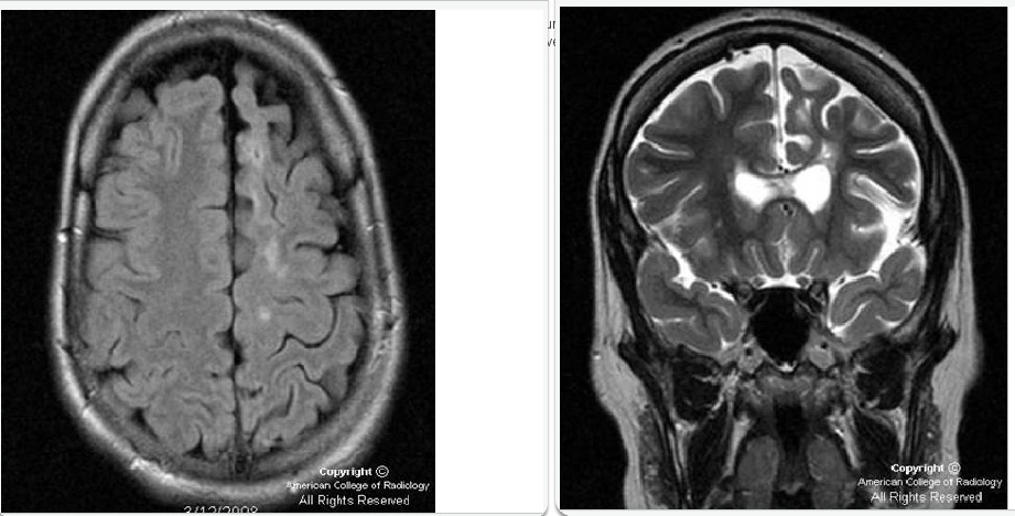
Seorang anak berusia lima tahun dengan tangan dominan sebelah kanan dinyatakan telah memiliki epilepsi sejak 4 tahun dan sering mengalami kejang motorik fokal yang persisten. Hasil pemeriksaan menunjukkan adanya gangguan perkembangan, perburukan IQ verbal dan hemiparesis sebelah kanan. EEG dan SPECT menunjukkan beberapa fokus epileptogenik pada lobus parietal kiri. Hasil MRI terlampir. Selain monitoring secara invasif, manakah dibawah ini pilihan terapi pembedahan yang paling mungkin :
A. Vagus nerve stimulation
B. Functional hemispherectomy
C. Corpus Callostomy
D. Parietal lobectomy
E. Selective temporal amygdalohippocampectomy

B. Functional hemispherectomy
Rasmussen’s encephalitis is a rare syndrome manifested by intractable epilepsy, hemiplegia, and cognitive decline; left untreated it frequently also leads to loss of language development in young children. Epilepsia partialis continua is also a frequent feature. Imaging demonstrates diffuse hemispheric atrophy; histology demonstrates perivascular T-cell lymphocytic infiltrates. Given the inexorable decline if seizure control is not obtained, functional disconnection is indicated to also preserve language function and cognitive development. Hemispheric disconnection surgery is associated with a 70-80% success of seizure freedom in most series.

Kelainan saraf tulang belakang pada anak dengan ibu yang mengidap diabetes mellitus memiliki insidensi tinggi pada :
A. Meningocele manque
B. Agenesis Sacrum
C. Spinal dysrpahism
D. Hemivertebra thoracalis
E. Lipoma Intraspinal
B. Agenesis sacrum
Sixteen percent of children with sacral agenesis or caudal regression are born to diabetic mothers and 1% of diabetic mothers have children with these conditions. The overall incidence of spinal dysraphism has decreased 26% in the US by folate supplementation of cereal making this as well as meningocele manque acute; and intraspinal lipomas incorrect choices. Active or passive exposure to tobacco smoke has been linked to preterm delivery or low birth weight, another example of a maternal activity or condition being linked to a neonatal condition. There is no data to support neonatal thoracic hemivertebrae being increased in mothers with diabetes.
Kista dermoid pada kranial dapat timbul dimana saja. Manakah dari lokasi kista dermoid dibawah ini yang menjadi risiko tertinggi dalam melakukan ekstensi intradural :
A. Inion
B. Brow
C. Pterion
D. Anterior fontanelle

A. Inion
Dermoid cysts are the most common congenital lesion of the scalp and calvarium encountered by the pediatric neurosurgeon. They result from failure of dysjunction of the cutaneous and neuroectoderm and contain epithelium, hair follicles, sebaceous glands, and other cutaneous elements (Figure 1). Nasal and midline sub-occipital (inion) dermoid cysts are more likely to be associated with a small overlying pit or tract and have a higher risk of intracranial and intradural extension (generally between the leaves of the falx cerebri or falx cerebelli, respectively). Extracranial cysts present as palpable or enlarging lumps (Figure 2), or with local infection. Cysts with intracranial extension may also present due to recurring meningitis or, rarely, with intracranial mass effect. The treatment in all cases is surgical extirpation.

Pedoman cedera kepala anak saat ini menunjukkan pemeliharaan tekanan perfusi serebral minimum di atas 40-65 mm Hg, tergantung pada:
A. Ketebalan tengkorak
B. Umur pasien
C. Status dari fontanelle
D. Suhu inti
E. Waktu terjadinya cedera
B. Umur pasien
As in adult patients, the incidence of intracranial hypertension increases with a declining GCS score. Limited clinical studies have suggested that a sustained ICP of > 20 is associated with a significantly worse outcome than if less than 20. Intuitively, for younger children and particularly infants, ICP treatment thresholds of <10 would seem to offer better outcomes, but no study has to this point has demonstrated this. Cerebral perfusion pressure targets for children are imprecisely known. One study has suggested that CPP of <40mmhg is associated with a poor outcome, while expert opinion holds that values between 40-65 mm Hg, dependent on age, are appropriate targets. An open fontanelle does not preclude the development of intracranial hypertension, nor obviate the utility of ICP monitoring. Diffuse cerebral edema after trauma without intracranial hemorrhage is thought to be more common in children than adults, and may be an indication for ICP monitoring even when no overt mass lesion is present. ICP monitoring for children even with GSC scores of 9 or greater may be indicated for certain mass lesions or if the patient cannot be followed with serial neurological examinations.
Kasus penutupan dini pada sutura metopik terjadi pada bentuk kepala :
A. Brachycephaly
B. Scaphocephaly
C. Trigonocephaly
D. Pachycephaly
E. Plagiocephaly
C. Trigonocephaly
Premature closure of the metopic suture results in a pointed forehead. The triangular shape of the head is referred to trigonocephaly. The incidence of metopic synostosis is 1:15,000 children with a male to female ratio of 3.3:1. The condition may present in either a syndromal or non-syndromal fashion. Scaphocephaly (boat-shaped head) results from premature closure of the sagittal suture, and is the most common craniosynostosis. Brachycephaly (short head) results from premature closure of the coronal sutures. Pachycephaly, or posterior plagiocephaly, is caused by premature closure of one lambdoid suture.
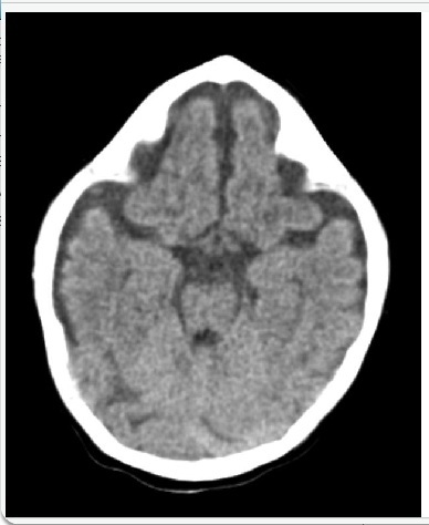
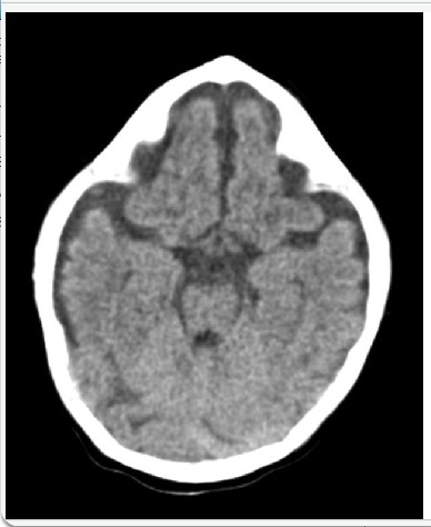
Hasil CT Scan aksial kepala tanpa kontras pada neonatus yang terlihat pada gambar menunjukkan kelainan deformitas yang disebut :
A. Siantosis Unicoronal
B. Siantosis Lambdoid
C. Siantosis Sagittal
D. Siantosis Metopic
E. Siantosis Bicoronal

D. Siantosis Metopic
Metopic synostosis also known as Trigonocephaly is caused by premature fusion of the metopic suture. Normally metopic sutures close at 3-9 months of age. Premature fusion can lead to the observed wedge shaped deformity in the cranial vault. There is a resulting restriction of growth in the bilateral frontal bones with compensatory growth in the parietal bones. The deformity can be most easily appreciated above the nasion and extends from the glabella to the anterior fontanelle. Trigonocephaly accounts for approximately 5% of all craniosynostoses and is thought to result from abnormal signaling in growth factors including transforming growth factor (TGF) and fibroblast growth factor (FGF).
Unicoronal synostosis is characterized by flattening of the forehead on the affected side with contralateral bossing which is not present in this CT. This along with the foreshortening of the orbit and zygoma produces the harlequin eye. Sagittal synostosis is also a straightforward diagnosis where the CT shows the characteristic long-boat shaped head along with narrowing of the biparietal diameter. For lambdoid synostosis, the ipsilateral tragus and petrous bone are drawn posteriorly and the midline of the foramen magnum is drawn to the affected side. Bicoronal synostosis is characterized by a very broad and tall forehead from the premature fusion of both sutures with characteristic CT findings. Metopic synostosis and other cranial synostoses may lead to increased intracranial pressure if left untreated as well as other neurocognitive deficits and behavioral abnormalities.

Beberapa dekade terakhir, insidensi dari myelomeningocele telah menurun. Sebelum tahun 1980, insidensi dari penyakit tersebut adalah 1-2 dari 1000 angka kelahiran hidup. Insidensi baru-baru ini adalah 3 dari 10.000 angka kelahiran hidup. Salah satu alasan terjadinya hal dia atas dikarenakan adanya anjuran dari dokter dan spesialis kandungan agar wanita meningkatkan kebutuhan asam folat mereka. Manakah dibawah ini yang dianjurkan The American College of Obstetrics and Gynecology pada pedoman asupan asam folat pada semua wanita dari menarche sampai menopause :
A. 400 microgram setiap hari
B. 800 microgram selama trimester pertama
C. 4 gram setiap hari
D. 4 gram setiap minggu
E. 400 microgram setelah dibuktikan positif hamil
A. 400 microgram setiap hari
The incidence of infants born with spina bifida has been declining for 50 years in most areas of the world. The incidence in 1984 was 5.9 per 10,000 live births. The factors contributing to the decline include improved maternal nutrition, prenatal screening and diagnosis, selective pregnancy termination, undetermined environmental changes, and vitamin supplementation, especially folate. The incidence decreases from east to west in the United States. It is higher among females and is much less common among blacks and Asians. It is increased with poverty and poor nutrition. The American College of Obsetrics and Gynecology recommends 400 micrograms daily of folic acid supplementation (in addition to a healthy diet) to all women capable of becoming pregnant. Because the full benefit of folic acid is seen in mothers who begin supplementation at least 3 months before conception and continue it throughout pregnancy, the recommendation is for daily supplementation from menarche to menopause. The importance of this recommendation is emphasized by the fact that up to 50% of pregnancies are unplanned even amongst married couples.
Apakah gejala yang paling umum pada sindrom Moyamoya :
A. Kejang
B. Stroke perdarahan
C. Stroke iskemik
D. Chorea
E. Tremor
C. Stroke iskemik
The most common presentation of symptomatic moyamoya syndrome in both pediatric and adult populations is cerebral ischemia, with either stroke or transient ishcemic attack. Hemorrhage is more common in adults than in children with moyamoya disease. However, patients of all ages are more likely to present with ischemic symptoms. Seizures, chorea, and tremors are infrequent diagnoses
Apakah kemungkinan status berjalan di masa yang akan datang pada bayi yang baru lahir dengan myelomeningocele L4?
A. Kursi roda
B. Berjalan dengan alat bantu jalan dan orthoses
C. Berjalan sendiri
D. Berdiri tapi tidak bisa berjalan
B. Berjalan dengan alat bantu jalan dan orthoses
Predicted level of function depends on the level of the defect: L3-L4 are usually ambulators but need orthoses as well as walking aids. Wheelchairs may be used for long distances. L5-S1 patients are ambulators with orthoses. They generally do not need walking aids but some may use wheel chairs for long distances. S2 patients are ambulators with no orthoses and are able to keep up with peers. L1-L2 utilize wheelchairs both indoors and out. Some may be able to stand with orthoses and walking aids.
A recent study Bartonek et al. also points out that spasticity and contractures can also contribute to overall ambulatory function. They found that not all patients with the same motor level achieved the same level of ambulation. In addition, during periods of significant growth, tethered cord operations are necessary. In the series published by Schoenmakers et al., 5 of their 44 patients experienced deterioration in ambulatory function while 26 of 44 stabilized. The overall conclusion of both studies is that for the reasons detailed above, children with the same level can have different ambulatory functional outcomes.
Berapa persentase pasien anak yang menjalani lobektomi temporal untuk epilepsi “intractable” mencapai hasil yang diinginkan (bebas kejang atau penurunan frekuensi kejang)?
A. 50-65%
B. 80-95%
C. 65-80%
D. 35-50%
C. 65-80%
Temporal lobectomy is associated with a 63-78% seizure freedom rate for mesial temporal sclerosis, making 65-80% the appropriate answer.
Pengobatan apakah di bawah ini yang telah menunjukkan dapat menurunkan risiko IVH dan meningkatkan hasil yang baik pada bayi prematur?
A. Indomethacin
B. Fenobarbital
C. Kortikosteroid
D. Ibuprofen
E. Vitamin E
C. Kortikosteroid
Antenatal steroid administration reduces the risk of IVH. Prevention of IVH and thus post-hemorrhagic hydrocephalus (PHH) is a goal in the care of the preterm infant, and significant progress has been made in this regard. The likely mechanism is a decrease in cerebral blood flow at the germinal matrix. Postnatal corticosteroids may increase the risk of neurodevelopmental difficulties with no associated reduction in risk of IVH, PVL or mortality. A number of other pharmacological agents have been evaluated for their ability to prevent IVH. Phenobarbital, which prevents fluctuations in blood pressure and is thought to mitigate free radical-mediated injury, has been extensively investigated.
While indomethacin has been shown to decrease IVH rates, its impact on overall outcomes is equivocal. Whielaw and Odd performed a meta-analysis of 10 trials and found no reduction in IVH or PHH. Reduction of IVH was observed serendipitously in using indomethacin, a cyclooxygenase inhibitor, used to close patent ductus arteriosus in newborns. Indomethacin was believed to facilitate germinal matrix vessel maturation, improve cerebral autoregulation, and decrease ischemia. While IVH rates and IVH severity were indeed lower with indomethacin, the effect on long-term neurological outcome is less clear. In one trial, despite a decrease in IVh, no improvement in survival or neurosensory outcome was observed. A second trial demonstrated benefit in decreasing IVH rates and severity and increasing neurodevelopmental test performance in males only. Fowlie et al. recently published an update of their meta-analysis of the effect of indomethacin on IVH.
The cyclooxygenase inhibitor ibuprofen has a similar mechanism of action to indomethacin and appears to improve cerebral autoregulation in animals. In clinical trials, however, ibuprogen was ineffective in reducing IVH.
Other pharmacological agents evaluated for prevention of iVH include vitamin E, ethamsylate, and pancuronium. Through different mechanisms, each has been shown to decrease the incidence of IVH but not morality or neurological impairment.
Manakah dibawah ini yang merupakan sindrom neurokotaneus yang diturunkan dengan cara resesif autosomal?
A. Tuberous sclerosis
B. Neurofibromatosis tipe 2
C. Neurofibromatosis tipe 1
D. Von Hippel Lindau
E. Ataxia-telangectasia
E. Ataxia-telangectasia
Ataxia-telangiectasia (AT), unlike the other neurocutaneous syndromes, exhibits autosomal recessive inheritance. The ATM gene, which has been linked to chromosome 11q22-23, encodes the ATM protein kinase, which plays a pivotal role in the cellular response to DNA double-strand breaks by inducing either DNA repair or apoptotic cell death. AT occurs rarely, in roughly 1 per 40,000 births, but the prevalence of heterozygotes ranges from 0.5-2%. AT patients have a propensity to develop multiple cancer types, particularly of the lymphoreticular system. However, CNS lesions have also been linked to AT. Multiple case reports have linked AT with astrocytoma, medulloblastoma, and even craniopharyngioma. Meningiomas, too, have been shown to have both positive and negative associations with certain ATM haplotypes. Recent evidence does not, however, suggest a primary role for the ATM gene in the oncogenesis of medulloblastoma.
The surgical management of AT-associated intracranial lesions does not necessarily differ from that of sporadic lesions. An important consideration, though, is that the extreme sensitivity of AT patients to ionizing radiation necessitates judicious use of radiation therapy as an adjunctive treatment, with lower than standard dose regimens perhaps optimizing the balance between maximizing effectiveness and minimizing risk.
Neurofibromatosis Type I (aka von Recklinghausen disease or NF1) is the most common neurocutaneous syndrome, having a prevalence of 1 in 2,190-7,800. The NF1 gene encodes the protein neurofibromin; the NF1 mutation responsible for NF1 features autosomal dominant inheritance with complete penetrance but variable expression, though roughly half of cases appear sporadically, likely secondary to new mutations. Neurofibromatosis Type II, or NF2, is a disorder of autosomal dominant inheritance affecting 1 in 33,000-40,000 individuals, with 99% penetrance by age 60.
Von Hippel Lindau (VHL), like the other syndromes so far reviewed, is inherited in an autosomal dominant fashion. Its genetic locus, the VHL gene, is located on chromosome 3p. VHL acts as a tumor suppressor gene, and most patients inherit one defective copy of the gene and one wild-type copy; according to the two-hit hypothesis, inactivation of both VHL alleles leads to tumorigenesis. Tuberous sclerosis (TS), like the other neurocutaneous syndromes so far discussed, is transmitted in an autosomal dominant fashion, though sporadic cases outnumber inherited cases. The overall incidence of this disorder is 1 in 30,000, with a birth incidence of 1 in 5,800.