Differentialdiagnoser kring magbesvären?

Vad är detta och vad orsakar det?

Per Andersson, 34 år, uppsöker vårdcentralen på grund av hudförändringar osm han uppmärksammat senaste veckorna (ser ut som Dermatitis hepatoformis). Han jobbar som snickare, har sambo och två barn. Per har haft bubblig mage sedan flera år, han har avföring 1-2 ggr dagligen och ibland knipsmärta.
Differentialdiagnoser?

Per Andersson, 34 år, uppsöker vårdcentralen på grund av hudförändringar osm han uppmärksammat senaste veckorna (ser ut som Dermatitis hepatoformis). Han jobbar som snickare, har sambo och två barn. Per har haft bubblig mage sedan flera år, han har avföring 1-2 ggr dagligen och ibland knipsmärta.
Vilka prover vill du ta?
Tolka proverna hos denne herre med misstänkt celiaki

Dessa prover mer eller mindre bekräftar diagnosen celiaki, varför vill vi också göra en gastroskopi?

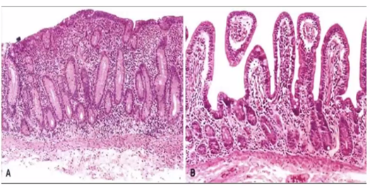
Vad ses på gastroskopins biopsi?

Förklara hur villi förstörs av immunsystemet

Varför normaliseras transglutaminasantikroppar vid glutenfri kost?
Vad är skillnaden mot om detta hade varit en autoimmun sjukdom, vad skulle krävas för fortsatt bildning av transglutaminasantikroppar?

Hereditet (IBD, colorektalcancer), viktnedgång, rökning, NSAID-användning (riskfaktor för IBD?), infektion (även om det gått lång tid)
Frida, 34 år, med lös avföring senaste två månaderna med fem tarmtömningar per dag och blod i avföring har sökt vårdcentral. Hon har gått ner 2 kg i vikt på två månader. Inga släktingar med IBD eller colorektalcancer. Status inga patologiska fynd.
Vad sticker ut på proverna?

Frida, 34 år, med lös avföring senaste två månaderna med fem tarmtömningar per dag och blod i avföring har sökt vårdcentral. Hon har gått ner 2 kg i vikt på två månader. Inga släktingar med IBD eller colorektalcancer. Status inga patologiska fynd.
Vad göra härnäst?

Vad visar biopsierna?

Lymfocytinfiltrat ovan, oregelbundna kryptor, basal plasmacytos (plasmaceller i basalmembranet) vanligt vid ulcerös kolit (även förlust av bägarceller på bilden?
Vad beror IBD på övergripande generellt?

Vilka tre mekanismer ger upphov till IgA-switch?
Varför är blod i avföring kardinalsymptom vi ulcerös kolit och inte Crohns?
Sjukdomen sitter mer distalt vilket gör att det syns lättare i avföring
När är detta eventuellt högt?
Differentialdiagnoser?

Vilka prover vill du ta?

Vilken status (och enkel undersökning) gör du?

Vilka differentialdiagnoser tänker du på?

Du ger patienten lugnande besked (“förstoppning”) och skriver ett recept på bulkmedel för att förebygga förstoppningen som troligtvis har skapat fissuren. Linda får också livsstilsråd, vilka?
Optimera vätske- och fiberintag
Utnyttja gastro-kolisk reflex eller “efter motionspass”
Regelbundenhet i måltider, sömn och motion
Ont i magen flera dagar i veckan. Sämre matlust då magbesvären blir värre efter måltid men vikten är stabil. Besvären har nu varat i 5 fem månader. Hon har fyllt i matdagbok och vill göra en koloskopi.
Du har tagit blodsatus, CRP, f-Hb och F-kalprotektin som är normalt
Matdagbok, vad säger den?
Vilka diagnoser misstänker du?
Vad skulle en koloskopi tillföra?
