Slides questions Flashcards

(13 cards)

1
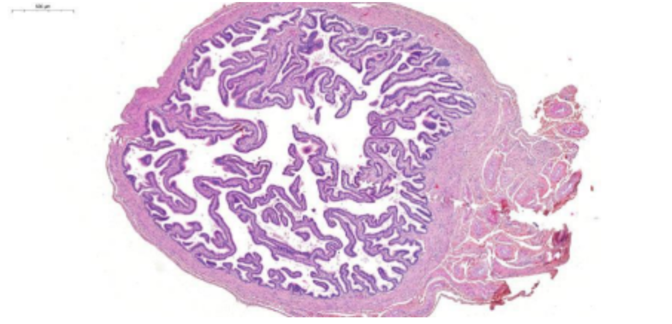
Q
What do we see in the below picture?
A. This is part of the intestinal tract 
B. This is a parenchymal organ
C. This hollow organ is the oviduct 
D. Oesophagus
E. This is part of the male genital tract
A

C. This hollow organ is the oviduct

How well did you know this?
1
Not at all
2
3
4
5
Perfectly
2
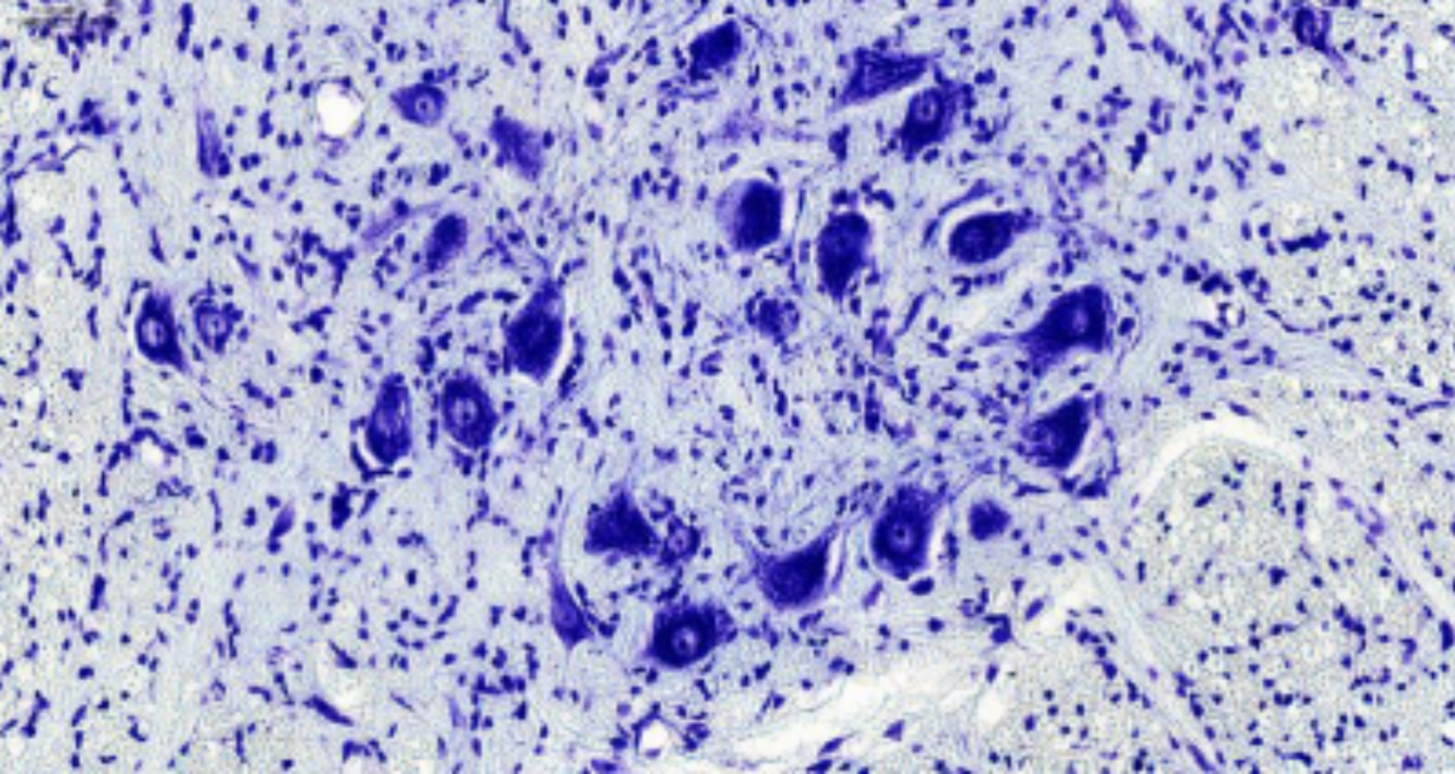
Q
The below image is from the...
 A. Lymph Node 
B. Cerebellum
C. Adrenal gland 
D. Cerebrum
E. Spinal cord
A

E. Spinal cord

How well did you know this?
1
Not at all
2
3
4
5
Perfectly
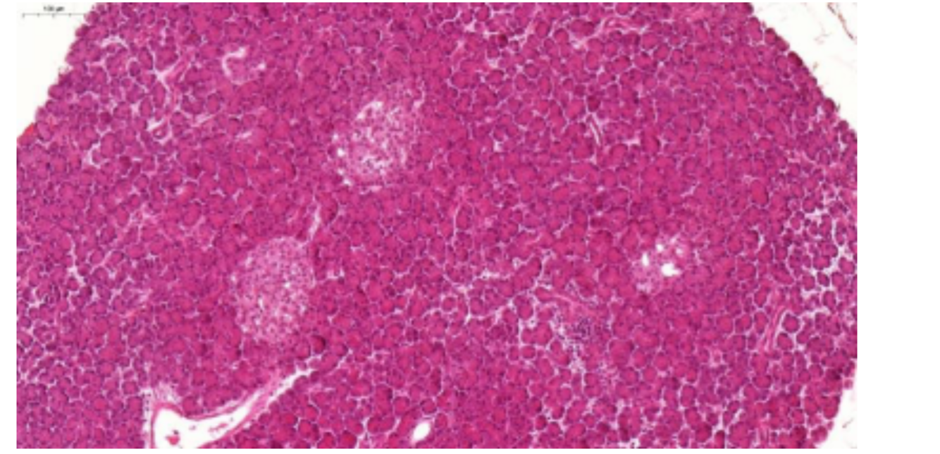
3
Q
Which one of the listed structures can we find in the below image? 
A. Lymph follicles
B. Hering's bodies
C. Peyer's patches
D. The organ of Corti 
E. Hassal's bodies
A

E. Hassal’s bodies

How well did you know this?
1
Not at all
2
3
4
5
Perfectly
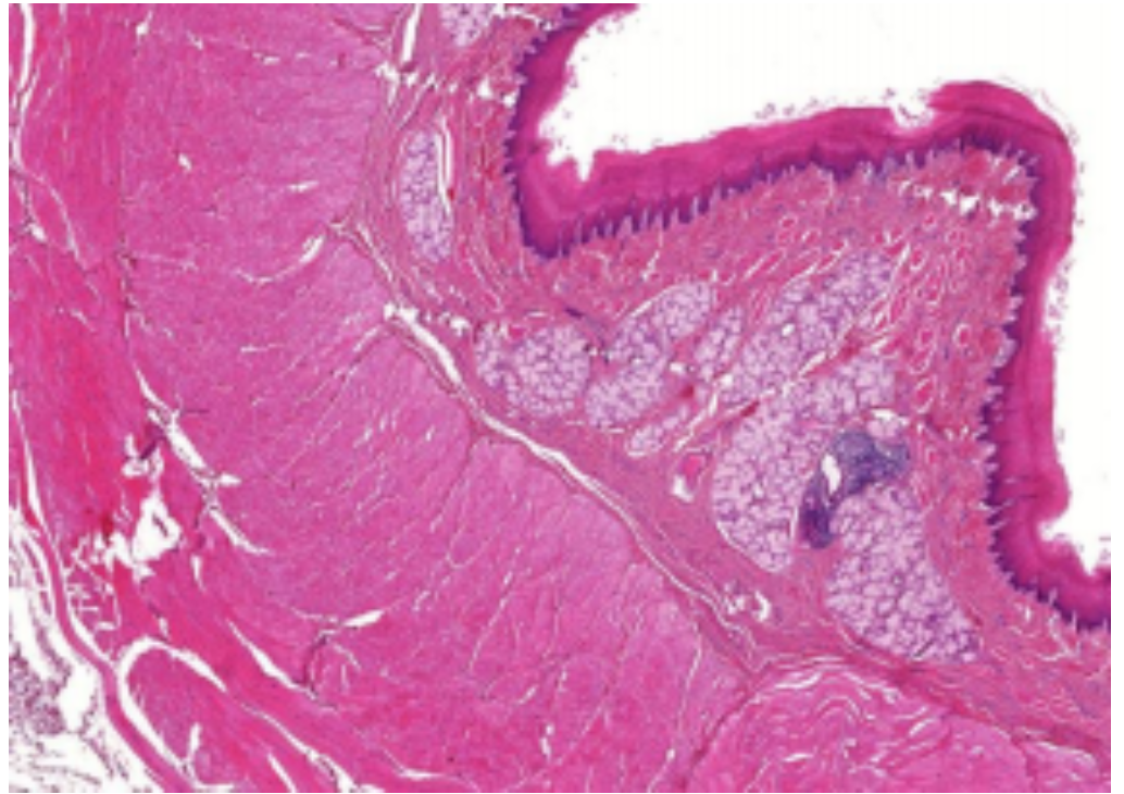
4
Q
What do we call the mucous glands that are visible in the picture?
A. Oesophageal glands
B. Brunner glands 
C. Sweat glands
D. Salivary glands 
E. Rectal glands
A

A. Oesophageal glands

How well did you know this?
1
Not at all
2
3
4
5
Perfectly
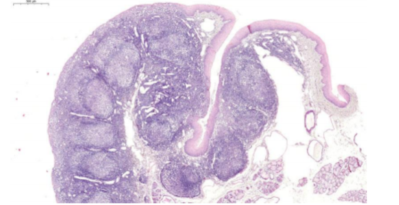
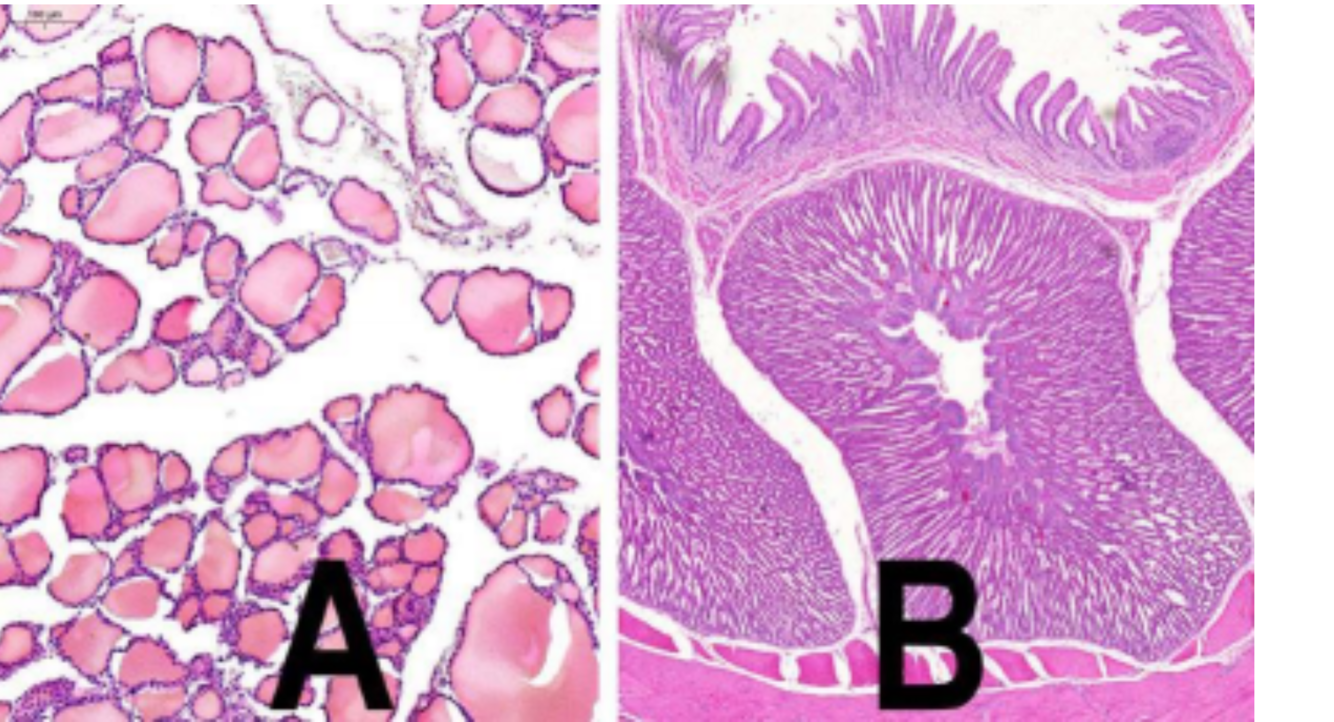
5
Q

Please choose the ONE statement, that is true for the below image!

A. A is an endocrine organ, B produces digestive enzymes
B. A is the avian lung, B is part of the cloaca
C. A is from the dermis of the skin, B is a ruminant organ D. A is an endocrine organ, B is the avian lung
E. A is producing enzymes, B is a digestive organ

A

A. A is an endocrine organ, B produces digestive enzymes

thyroid gland, Dog and stomach, Chicken

How well did you know this?
1
Not at all
2
3
4
5
Perfectly
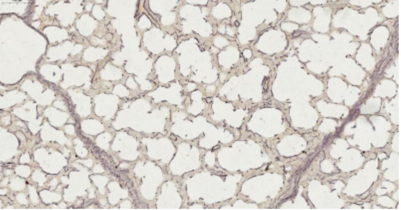
6
Q

The below image is a sample from which organ?

A. Adrenal gland D. Epididymis B. Lung E. Spinal cord C. Papilla mammae

A

B. Lung

How well did you know this?
1
Not at all
2
3
4
5
Perfectly
7
Q
Which organ do we see in the picture?
 A. Thyroid gland 
B. Kidney
C. Pancreas
D. Pituitary gland 
E. Liver
A

C. Pancreas

How well did you know this?
1
Not at all
2
3
4
5
Perfectly
8
Q
Which of the below statements holds true for the image in the picture?
 A. It is part of the respiratory system
 B. Female genital organ
C. Part of the digestive tract
D. Belongs to the urinary system
E. It is an endocrine organ
A

C. Part of the digestive tract

How well did you know this?
1
Not at all
2
3
4
5
Perfectly
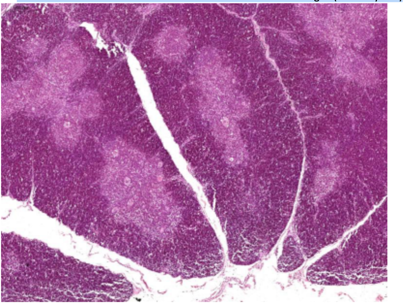
9
Q

Which statement holds true for the organ visible in the picture below?

A. Mucosa associated lymphatic tissue
B. It is an endocrine organ
C. There are no T-lymphocytes in this organ 
D. This is a lymph node 
E. It is the Bursa fabricii
A

A. Mucosa associated lymphatic tissue

How well did you know this?
1
Not at all
2
3
4
5
Perfectly
10
Q
The organ in the picture is part of the
 ● Nervous system
● Lymphatic system
● Digestive system
● It’s an avian organ
● Urinary system
A

Digestive system

How well did you know this?
1
Not at all
2
3
4
5
Perfectly
11
Q
The below image shows a part of the ...
 ● Spinal cord
● Bursa fabricii
● Cerebrum
● Cerebellum
● Lymphnode (inverse)
A

Cerebellum

How well did you know this?
1
Not at all
2
3
4
5
Perfectly
12
Q
The below organ may contain:
 ● Hassal’s bodies
● PALS
● Hepatic triad
● Herring bodies
● Kidney’s corpuscles
A

● Herring bodies

How well did you know this?
1
Not at all
2
3
4
5
Perfectly
13
Q
Which of the below structures CANNOT be seen in the picture?
 ● Iris
● Anterior epithelium
● Ciliary body
● Anterior chamber
● Cornea
A

Ciliary body

How well did you know this?
1
Not at all
2
3
4
5
Perfectly