Spinal Oncology Flashcards

(38 cards)

1
Q
  1. Which one of the following statements regarding spinal tumors is most accurate?
    a. The commonest extradural tumor is an osteoid osteoma
    b. Intradural tumors in adults are predominantly intramedullary rather than extramedullary
    c. The commonest intramedullary tumor in adults is ependymoma
    d. Intramedullary metastases are more common than extradural metastases
    e. The commonest intramedullary tumor in children is ganglioglioma
A

c. The commonest intramedullary tumor in adults is ependymoma

Extradural tumors in adults: 90% metastatic
tumors. The highest proportion of spinal metastatic deposits come from breast cancer (16.5%), lung cancer (15%), prostate cancer (10%), and renal cell carcinoma (7%) and 10-20% will
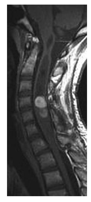
have no known primary. Therefore primary
extradural tumors only make up <10% of all spinal column tumors, and may be benign or malignant. The commonest benign lesions are osteoid
osteomas, osteoblastomas, osteochondromas,
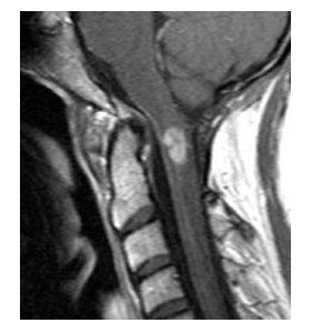
aneurysmal bone cysts and hemangiomas (and
Langerhans cell histiocytosis in children). The
commonest malignant lesions are osteosarcoma,
chondrosarcoma, malignant fibrous histiocytoma, giant cell tumor, plasmacytoma (solitary
myeloma), Ewing’s sarcoma and chordoma. In
adults, approximately two thirds of intradural
lesions are extramedullary and one third
intramedullary (in children it is approximately
equal)—with the incidence of intradural spinal
cord tumors 3-10 per 100,000 per year. Intradural
extramedullary lesions are most commonly thoracic, and most commonly meningiomas and
nerve sheath tumors in equal proportions (spinal
schwannomas are much more common than
meningiomas in China and Japan). Intramedullary “lesions”: ependymoma 41%, astrocytoma
(WHO I-II) 15%, astrocytoma (WHO III-IV)
5%, ganglioglioma 3.2%, lipoma 2.8%, subependymoma 0.9%, metastasis 0.6%.

How well did you know this?
1
Not at all
2
3
4
5
Perfectly
2
Q

Which one of the following groups of primary malignancies represents the most frequent causes of spinal column metastases?
a. Breast, lung, kidney, melanoma, and colorectal
b. Breast, lung, thyroid, melanoma, and colorectal
c. Breast, lung, kidney, prostate, and thyroid
d. Breast, lung, prostate, melanoma, and colorectal
e. Breast, prostate, lung, kidney, thyroid

A

e. Breast, prostate, lung, kidney, thyroid

The commonest cancers which metastasize to
bone are breast, lung, prostate, kidney and thyroid (in contrast to brain metastasis where the
commonest primary tumors are breast, lung, kidney, melanoma, and colorectal). Bony metastasis
most commonly occur in the spine. At autopsy
30-90% of patients who die of cancer are found
to have spinal metastases. Symptomatic secondary metastases are estimated to occur in approximately 10% of all cancer patients. Up to 50% of spinal metastases require some form of treatment, and 5-10% require surgical management. The highest incidence of spinal metastases is found in individuals 40-65 years of age, corresponding to the period of highest cancer risk. Males are slightly more prone to the development of spinal metastases, probably reflecting the slightly higher prevalence of lung cancer in men, and of prostate cancer over breast cancer. Metastatic spread is via hematogenous seeding, direct extension or invasion, and by seeding in the CSF. Hematogenous spread of tumors usually results in multicentric disease of the spine, which also occurs with CSF seeding (e.g. after surgical manipulation of cerebral or cerebellar metastatic or primary lesions). Spinal tumors may be extradural, intradural-extramedullary, and intramedullary; the overwhelming majority of all spinal metastases are found in the extradural compartment; that
is, the bony spine and associated tissues. Metastases to the extradural compartment are found most commonly in the VB, with or without extension into the posterior elements, followed by the paravertebral regions and the epidural space,
respectively. Intradural extramedullary and intramedullary metastases are very rare, and are often due to CSF seeding. The thoracic spine is by far the most frequent site for metastasis (70%), followed by the lumbar spine (20%), cervical spine,
and sacrum, respectively

How well did you know this?
1
Not at all
2
3
4
5
Perfectly
3
Q

Which one of the following clinical presentations is most concerning for spinal metastatic disease?
a. A 47-year-old with breast cancer treated with mastectomy and lymph node dissection, on tamoxifen, presents with moderate lower back pain worse at the end of the day, relieved by rest, not exacerbated by movement.
b. A 54-year-old with previous Dukes B
colorectal cancer who underwent bowel
resection and end ileostomy, followed by
chemotherapy presents with gait disturbance. On examination he has a stocking distribution of sensory loss in the lower limbs only.
c. A 35-year-old with a past medical history of wide local excision of melanoma presents with mechanical back pain, stabbing in nature, which she is more aware of at night. On examination there is nonspecific tenderness in the mid-thoracic
spine, but no focal neurological signs.
d. A 79-year-old with a past medical history of benign prostatic hyperplasia presents with mechanical back pain after a fall. On examination there is tenderness in the paraspinal
muscles, but no focal neurological signs.
e. A 57-year-old with a past medical history of small cell lung cancer presents with mechanical back pain. On examination he appears kyphotic there is tenderness in the mid-thoracic spine. Neurological examination shows brisk reflexes and extensor plantars in both lower limbs

A

e. A 57-year-old with a past medical history of small cell lung cancer presents with mechanical back pain. On examination he appears kyphotic there is tenderness in the mid-thoracic spine. Neurological examination shows brisk reflexes and extensor plantars in both lower limbs

Symptoms associated with spinal metastatic disease may be systemic (weight loss, anorexia, organ dysfunction) or local (pain and/or neurology).
The most common symptom is pain, which
may predate neurological symptoms by weeks
or months, and may even be the presenting symptom of an undiagnosed cancer. Three classically defined types of pain often affect patients with symptomatic spinal metastases, including local (periosteal stretching and inflammation due to tumor and often nocturnal, usually deep ache), mechanical (impending or established spinal instability due to deformity/collapse of vertebrae), and radicular pain (nerve root compression directly from tumor or narrowing of intervertebral foramen due to vertebral collapse). Neurological symptoms may be due to radiculopathy or metastatic spinal cord compression (MSCC). MSCC can present with motor, sensory or autonomic disturbance (bladder, bowel or sexual dysfunction or rarely even spinal shock) due to direct compression of neural structures by tumor, or to a pathological fracture that leads to retropulsion of bone fragments into the spinal canal or neural foramina. The patient’s neurological function when a diagnosis of spinal cord compression is made usually correlates well with their prognosis.
This observation underscores the importance of
diagnosis before motor or autonomic deficits
occur. Most patients will have pain before these
deficits appear. However, because reports of back
pain are very common in the general population,
with a lifetime prevalence of up to 84% in some
studies, a delay in diagnosis occurs in many cases
of vertebral metastasis in which the initial complaint is one of new-onset back or neck pain.

How well did you know this?
1
Not at all
2
3
4
5
Perfectly
4
Q

Which one of the following statements regarding the imaging of spinal metastatic disease is LEAST accurate?
a. Plain radiographs may only show changes in approximately half of affected vertebrae
b. Nuclear scintigraphy detects areas of increased metabolic activity in bone but this is not specific to metastatic lesions.
c. SPECT can be used to differentiate between malignant and benign lesions
d. PET scans can be used to identify the biopsy site
e. Angiography is not likely to be of benefit prior to resection of vertebral metastases from renal cell carcinoma

A

e. Angiography is not likely to be of benefit prior to resection of vertebral metastases from renal cell carcinoma

Plain radiographs are a useful screening test to identify lytic or sclerotic lesions, pathological frac- tures, spinal deformities, and large masses. Breast or prostate cancers may produce sclerotic or blas- tic lesions, but most spinal metastases are lytic, and plain radiographs may not reveal changes until up to half of the VB is affected. Due to this relativeinsensitivity, diagnosis is often obtained with other imaging techniques. Nuclear scintigraphy (bone scan) is a sensitive method for identifying areas of increased metabolic activity throughout the skeletal system. They are not specific for met- astatic lesions, because this activity may be related to inflammation or infection. A more advanced form of nuclear bone scan, SPECT, provides 3D imaging of suspected vertebral metastases can be used to differentiate between metastatic and benign lesions. Positron emission tomography with FDG is also commonly used for whole-body surveillance in the detection of metastatic disease and cancer staging PET scans can also be used to identify cystic or necrotic areas of tumor, informa- tion that may increase the diagnostic yield of biopsy sampling and assist planning of surgical intervention. However, the resolution of PET is limited, and correlation with CT or MR imaging is required. Additionally, PET scanning is time- consuming and expensive. CT scanners provide highly detailed imaging of the osseous anatomy of the spine and the degree of tumor involvement, can aid surgical planning, and may be combined with CT angiography (vascular supply and tumor drainage) and myelography. MRI is most sensitive at detecting lesions within the vertebral column, The MR images also elucidate the bone- to soft- tissue interface, providing accurate anatomical detail of tumor invasion or related compression of osseous, neural, and paraspinal structures. Dif- fusion weighted studies, although not routinely used, may help distinguish benign and pathologi- cal compression fractures. Digital subtraction angiography is useful for lesions that originate from primary tumors with abundant vascularity (i.e. renal cell, thyroid, angiosarcoma, leiomyosar- coma, hepatocellular, and neuroendocrine tumors), knowledge of the vascular supply of metastases may prove invaluable if surgery is con- sidered. Angiography may also permit preopera- tive embolization of metastases, which can be an effective alternative treatment for patients who are not candidates for surgical treatment. Emboli- zation reduces intraoperative blood loss and facil- itates complete resection of the lesion. In addition to limiting intraoperative hemorrhage, reducing the vascularity of metastases can also potentially shorten operating times and prevent the develop- ment of postoperative hematomas, which can cause wound breakdown and neurological decline.

How well did you know this?
1
Not at all
2
3
4
5
Perfectly
5
Q

Which one of the following statements regarding prognostic scoring for patients presenting with metastatic disease of the spine is LEAST accurate?
a. Tokuhashi score considers Karnofsky performance status, number of extraspinal metastases and neurological status whereas the Tomita score does not
b. A lower Tomita score favors more aggressive surgical treatment
c. A higher Tokuhashi score predicts a poorer prognosis
d. Both Tokuhashi and Tomita scores con- sider the treatability of visceral metastases
e. Tokuhashi score assesses neurological sta-
tus using the Frankel grading system

A

c. A higher Tokuhashi score predicts a poorer prognosis

Tokuhashi score for metastatic spine tumor prog- nosis (irrespective of treatment modality).

How well did you know this?
1
Not at all
2
3
4
5
Perfectly
6
Q

Which one of the following statements regarding management of pain related to spi- nal metastasis is most accurate?
a. Bisphosphonates have shown utility in management of pain resistant to conventional analgesia and/but not in reducing the risk of malignant spinal cord compression
b. Intrathecal morphine pump insertion is inappropriate in patients with intractable pain from spinal metastases
c. NSAIDs are inappropriate for manage- ment of pain related to spinal metastases due to their platelet inhibiting effect
d. Single fraction palliative radiotherapy for spinal metastases causing non-mechanical pain is not appropriate in those with com- plete paralysis
e. Vertebroplasty has been shown to be effec- tive in the setting of pain from metastatic spinal cord compression in non-surgical candidates

A

a. Bisphosphonates have shown utility in management of pain resistant to conventional analgesia and/but not in reducing the risk of malignant spinal cord compression

Offer conventional analgesia (including NSAIDs, non-opiate and opiate medication) as required to patients with painful spinal metastases in escalating doses as described by the WHO three-step pain relief ladder. Consider referral for specialist pain care including invasive procedures (such as epidural or intrathecal analgesia) and neurosurgical inter- ventions for patients with intractable pain from spi- nal metastases (e.g. intrathecal morphine pump).
Bisphosphonates should only be used (if con- ventional analgesia fails) for pain relief in cases of vertebral metastases from breast, myeloma or prostate cancer only, and should not be used as prophylaxis for malignant spinal cord
compression. Offer patients with spinal metasta- ses causing non-mechanical spinal pain 8 Gy sin- gle fraction palliative radiotherapy even if they are completely paralysed, but not with the inten- tion of preventing MSCC. In the absence of MSCC or spinal instability, consider vertebro- plasty or kyphoplasty for patients who have verte- bral metastases causing mechanical pain resistant to conventional analgesia, or vertebral body collapse.

How well did you know this?
1
Not at all
2
3
4
5
Perfectly
7
Q

A 57-year-old with who recently underwent right upper lobectomy for small cell lung can- cer presents due to worsening back pain over the last 3 days. It initially started at night over the last 2 weeks or so, but is now exacerbated by physical movement. He denies any trauma. On examination he is tender to palpation in the mid thoracic spine. Neurological examination reveals mild weakness of both lower limbs bilaterally, brisk knee and ankle reflexes, and extensor plantars. Sensory examination reveals a sensory level at the umbilicus. Which one of the following would you do next?
a. Standing spine X-ray
b. MRI whole spine MRI and CT whole spine
c. ensure they are Nurse flat with neutral spine alignment
d. CT lumbar spine
e. Dexamethasone

A

c. ensure they are Nurse flat with neutral

Acute management should include spinal precau- tions, steroids, and usually MR imaging. Patients with severe mechanical pain suggestive of spinal instability, or any neurological symptoms or signs suggestive of MSCC, should be nursed flat with neutral spine alignment (including “log rolling” or turning beds, with use of a slipper pan for toilet) until bony and neurological stability are ensured and cautious remobilization may begin. For patients with MSCC, once any spinal shock has settled and neurology is stable, carry out close monitoring and interval assessment during grad- ual sitting from supine to 60° over a period of 3-4 h. When patients with MSCC begin gradual sitting, if their blood pressure remains stable and no significant increase in pain or neurological symptoms occurs, continue to unsupported sitting, transfers and mobilization as symptoms allow. If a significant increase in pain or neurological symp- toms occurs when patients with MSCC begin grad- ual sitting and mobilization, return them to a position where these changes reverse and reassess the stability of their spine. After a full discussion of the risks, patients who are not suitable for defin- itive treatment should be helped to position them- selves and mobilize as symptoms permit with the aid of orthoses and/or specialist seating to stabilize the spine, if appropriate. Unless contraindicated (including a significant suspicion of lymphoma) offer all patients with MSCC a loading dose of at least 16 mg of dexamethasone as soon as possible after assessment, continue dexamethasone 16 mg daily in patients awaiting surgery or radiotherapy for MSCC. After surgery or the start of radiother- apy the dose should be reduced gradually over 5-7 days and stopped. If neurological function deteriorates at any time the dose should be increased temporarily. In those not proceeding to surgery or radiotherapy reduce gradually and stop
dexamethasone as tolerated.

How well did you know this?
1
Not at all
2
3
4
5
Perfectly
8
Q

Which one of the following statements regarding definitive oncological manage- ment of patients presenting with MSCC is LEAST accurate?
a. In patients who present with MSCC with- out a known diagnosis of malignancy radiotherapy can usually start sooner than chemotherapy
b. Preoperative radiotherapy should not be carried out on patients with MSCC if sur- gery is planned
c. Radiotherapy can be given as soon as there is suspected MSCC on imaging
d. Spinal instability is a relative contraindi-
cation to radiotherapy
e. Teratoma is one of the rare causes of spi-
nal cord compression where chemother- apy is more effective than radiotherapy

A

c. Radiotherapy can be given as soon as there is suspected MSCC on imaging

Start definitive treatment, if appropriate, before any further neurological deterioration and ideally within 24 h of the confirmed diagnosis of MSCC. In deciding on definitive treatment, establishing primary histology and staging (sites and extent of visceral and bony metastases) are key. Other important factors are the preferences of patients, neurological deficit, functional status, general health and fitness, previous treat- ments, magnitude of surgery, likelihood of complications, fitness for general anesthesia and overall prognosis. In particular, early decisions should be made about aggressiveness of MSCC treatment in those with (i) a poor performance status and widespread metastatic disease or (ii) completely paraplegic or tetraplegic for more than 24 h, and (iii) too frail or unfit for specialist treatment. Major surgical treatments should only be considered in those patients expected to sur- vive 3 months or more, and use of the revised Tokuhashi scoring system and American Society of Anaesthetists (ASA) grading will help define its type and extent. Management options include mobilizing with bracing, palliation, radiotherapy (most common), chemotherapy (e.g. localized non-Hodgkin’s lymphoma and germ cell tumors) and surgery. Consider patients with MSCC who have severe mechanical pain and/or imaging evi- dence of spinal instability, but who are unsuitable for surgery, for external spinal support (for exam- ple, a halo vest or cervico-thoraco-lumbar ortho- sis). In those with non-mechanical pain related to extradural spinal metastases only (i.e. without MSCC or spinal instability) offer fractionated radiotherapy as the definitive treatment. In those with MSCC confirmed on imaging there must be a cancer diagnosis established before radiother- apy can start. Relative contraindications to radio- therapy include no histological diagnosis of cancer, radio-resistant tumor if surgery is an option (renal cell carcinoma, sarcoma, melanoma etc.), vertebral displacement/spinal instability, poor general condition (irreversible) due to co- morbidities, and previous radiotherapy (to cord tolerance) to same spinal site. Preoperative radio- therapy should not be carried out on patients with
MSCC if surgery is planned, but postoperative fractionated radiotherapy should be offered rou- tinely to all patients with a satisfactory surgical outcome once the wound has healed. In those with MSCC who are not suitable for surgery, urgent radiotherapy should be offered (<24 h) unless they have had complete tetraplegia or paraplegia for more than 24 h and their pain is already well controlled; or their overall progno- sis is judged to be too poor. Chemotherapy is gen- erally not indicated as the immediate treatment for malignant spinal cord compression and its main role is following the initial treatment with decompressive spinal surgery, or sometimes fol- lowing local radiotherapy. Patients who present with malignant spinal cord compression, without a previous known malignancy, generally require a tissue diagnosis, and in most cases immediate surgery to decompress the spinal cord before the diagnosis is made, so that a biopsy would be obtained as part of the procedure. Rarely, radiological appearances may strongly suggest lymphoma, and needle biopsy, rather than immediate surgery is occasionally warranted, in which case immediate radiotherapy, rather than chemotherapy is given, as a provisional diagnosis can be obtained in an emergency within 24 h, and the correct chemotherapy usually requires a more detailed pathological diagnosis, which takes lon- ger. Most chemo-sensitive tumors are also radio-sensitive, and it is often preferable to give local radiotherapy in such cases, to deal with the anatomical cause of the cord compression without having to consider the fitness of the patient for what may be life-threatening treat- ment with chemotherapy. Teratoma, yolk sac tumor, choriocarcinoma or a malignant molar pregnancy, are the (rare) causes of spinal cord compression where chemotherapy is more effec- tive than radiotherapy, and should be the treat- ment of choice following initial tissue diagnosis.

How well did you know this?
1
Not at all
2
3
4
5
Perfectly
9
Q

Which one of the following statements regarding surgery in patients with metastatic disease of the spine is LEAST accurate?
a. Indicated in those with metastatic spinal cord compression who are ambulant and without significant neurological deficit if they are expected to survive greater than 3 months
b. Indicated in those with metastatic spinal cord compression with less than 24 h of complete paralysis who otherwise have a good prognosis
c. Indicated in those with spinal instability and evidence of structural spine failure to prevent malignant spinal cord com- pression, even if their pain is controlled
d. Indicated in those with spinal instability related mechanical back pain resistant to analgesia
e. Indicated only in those patients expected to survive at least 12 months

A

e. Indicated only in those patients expected to survive at least 12 months

To be considered for surgery the patient must be surgically fit, no pre-existing neurology, ambu- lant/weak/<24 h paralysis, single area of cord compression (this can include several contiguous spinal or vertebral segments), expected to survive 6 months or at least >3 months. Indications for surgery in the context of spinal metastastic disease will generally occur in the following scenarios: (i) to stabilize the spine and prevent MSCC in those with imaging evidence of structural spinal failure with spinal instability; (ii) to stabilize the spine in those with mechanical pain resistant to conven- tional analgesia, irrespective of neurological sta- tus, or (iii) to decompress the cord (usually with spinal stabilization if vertebral involvement) in those with MSCC who are can walk, have <24h complete paralysis, or have little (but some) neurological function with very good prog- nosis giving them a chance of functional recovery. If surgery is appropriate in patients with MSCC attempt to achieve both spinal cord decompres- sion and durable spinal column stability before they lose the ability to walk. If there is the slight- est doubt as to the underlying pathology, partic- ularly where there is a solitary bony lesion, further investigations including percutaneous bone biopsy should be carried out before defini- tive surgery. In those with a good prognosis but only residual distal sensory or motor function should still be offered surgery in an attempt to recover useful function, regardless of their ability to walk. Patients with MSCC who have been completely paraplegic or tetraplegic for more than 24 h should only be offered surgery if spinal stabilization is required for pain relief. Posterior decompression alone should not be performed in patients with MSCC except in the rare circum- stances of isolated epidural tumor or neural arch metastases without bony instability. If spinal metastases involve the vertebral body or threaten spinal stability, posterior decompression should always be accompanied by internal fixation with or without bone grafting. Consider vertebral body reinforcement with cement for patients with MSCC and vertebral body involvement who are suitable for instrumented decompression but are expected to survive for less than 1 year. Con- sider vertebral body reconstruction with anterior bone graft for patients with MSCC and vertebral body involvement who are suitable for instru- mented decompression, are expected to survive for 1 year or longer and who are fit to undergo a more prolonged procedure. En bloc excisional surgery with the objective of curing the cancer should not be attempted, except in very rare cir- cumstances (e.g. confirmed solitary renal or thy- roid metastasis following complete staging).

How well did you know this?
1
Not at all
2
3
4
5
Perfectly
10
Q

Which one of the following statements regarding the 2005 RCT (Patchell et al., Lancet 366:643-648) comparing decompres- sive resection plus adjuvant radiotherapy ver- sus radiotherapy alone for metastatic spinal cord compression is LEAST accurate?
a. The surgical arm and radiotherapy only arm both received 30 Gy of external- beam radiation delivered in 10 fractions
b. The surgical arm did not have increased sur- vival time compared to radiotherapy alone
c. The surgical arm had greater return of ambulation after treatment compared to radiotherapy alone
d. The surgical arm remained ambulatory for longer compared to radiotherapy alone
e. The surgical plus radiotherapy,and radiotherapy alone groups both excluded those with radio-sensitive tumors

A

b. The surgical arm did not have increased sur- vival time compared to radiotherapy alone

In 2005, Patchell et al. reported the results of the first prospective randomized controlled trial of direct decompressive resection plus adjuvant radiotherapy versus radiotherapy alone for meta- static spinal cord compression. Their study showed surgery plus radiotherapy to be far supe- rior to radiotherapy alone, and the trial was stopped after 50% recruitment. Both groups of patients received 30 Gy of external-beam radia- tion delivered in 10 fractions, and the surgical group underwent operations intended to decom- press the spinal cord, resect tumor bulk, and sta- bilize the spine. This approach was associated with statistically superior post-treatment ambula- tory rate (84% vs. 57%, p 1⁄4 0.001), duration of ambulation (median 122 days vs. 13 days, p 1⁄4 0.003), maintenance of ambulation after treat- ment (94% vs. 74%, p 1⁄4 0.024), return of ambula- tion after treatment (62% vs. 19%, p 1⁄4 0.012), functional ability (Frankel scores), muscle strength (American Spinal Injury Association scores), continence, and survival time than those treated with radiotherapy alone. The median sur- vival time in the surgery plus radiotherapy group was 126 days, versus 100 days in the radiotherapy alone group (p 1⁄4 0.033). However, those with highly radio-sensitive tumors (e.g. lymphoma, myeloma, and small cell lung carcinoma) were excluded from both groups hence it should be seen as proving the superiority of this approach for MSCC due to radio-resistant tumors. In patients with radio-sensitive primary tumors, radiotherapy alone is still indicated for MSCC presenting without spinal instability, rapidly pro- gressive neurological decline without significant bone intrusion of the spinal canal, or with expected survival time <3 months. Surgical decompression and stabilization is indicated in patients with spinal instability, bony cord com- pression, rapid decline due to non-bony cord compression, recurrent tumor despite radiother- apy, MSCC caused by radio-resistant tumors, and cases in which tissue diagnosis is necessary. Total en bloc resection and spondylectomy may be indicated with curative resection possible for patients with solitary metastases of relatively indolent course, such as renal cell carcinoma without systemic metastases.

How well did you know this?
1
Not at all
2
3
4
5
Perfectly
11
Q

Which one of the following statements regarding surgical management of spinal metastatic disease is LEAST accurate?
a. The goal of surgery is preservation of neurological function, pain relief, and mechanical stabilization
b. Expected patient survival should exceed 12 months before surgical treatment of spinal metastases is considered
c. Percutaneous biopsy (or excisional biopsy during surgery) often required for tissue diagnosis as 10-20% of spine metastases have no known source
d. Seeding and recurrence along the biopsy needle track can occur with some primary tumors, such as chordomas
e. Posterior and posterolateral approaches are preferred to deal with vertebral body tumor in the setting of spinal metastases where possible

A

b. Expected patient survival should exceed 12 months before surgical treatment of spinal metastases is considered

Curative treatment is often not possible; there- fore, therapeutic objectives are focused on preser- vation of neurological function, pain relief, and mechanical stabilization. Surgical intervention can successfully achieve these goals, but patient variables (such as age, tumor burden, life expec- tancy, and functional status) overwhelmingly influence the choice of therapy as much as stability and neurology. Developments in surgical tech- nique and anterior and posterior stabilization of the spine that allow improved decompression and tumor resection with acceptable morbidity. Long-term disease-free survival is possible in some cases, specifically in solitary renal cell carci- noma metastases. Additionally, most clinicians would agree that the expected patient survival should exceed 3 months before surgical treatment of spinal metastases is considered. The principles used to develop these scoring systems were designed to assist surgeons in selecting patients who may benefit from surgical intervention and to determine the extent of surgical invasiveness that is appropriate. Practically speaking, the calcu- lated scores from the Tomita and Tokuhashi sys- tems are not binding in the choice of treatment, especially with the recent development of other treatment modalities like SRS. Moreover, once patients have been deemed appropriate candidates for surgical intervention, the determination of operative approach and stabilization requires a comprehensive understanding of the anatomy and histopathological features of the metastatic tumor and its surrounding structures, as well as the biomechanics of the spine and changes induced by vertebral metastases. Advances in imaging technology have improved the detection of cancerous lesions, but tissue from spinal masses is often still required for definitive diagnosis as 10-20% of spine metastases have no known source. If surgery and excisional biopsy are not immediately indicated, percutaneous biopsy may be required, because most treatment decisions will be dictated by the tumor histological findings. When a primary tumor is considered a possibility, the surgeon should be consulted in planning the biopsy procedure, because seeding and recurrence along the biopsy needle track can occur with some primary tumors, such as chordomas. The surgical approach to resection or decompression in spinal metastases is in large part determined by the spinal segment involved, the location of the tumor within the vertebra, the tumor’s histological features, and the type of spine reconstruction necessary. The vertebral body is the most commonly affected
portion of the spine in metastatic disease, and therefore, anterior approaches provide the great- est ability to resect the lesion and decompress the spinal canal. However, these approaches are asso- ciated with increased surgery-related morbidity and mortality, especially since the thoracic spine is the commonest site. Therefore, a transpedicular posterior or posterolateral approach is frequently used for T1-T4, Three-column decompression and stabilization can be achieved with this approach, especially with circumferential involve- ment and/or multiple levels. A right-sided thora- cotomy, which minimizes risk to the great vessels and aortic arch, permits access to the mid-thoracic spine (T5-12). If, however, the majority of tumor bulk is on the left, a left-sided thoracotomy is indicated. Decompression of the thoracolumbar junction (T11-L1) may necessitate a combined thoracotomy and retroperitoneal approach. The lumbar spine (L2-5) and sacrum may be approached via anterior approaches, but posterior excision and stabilization is usually ade- quate in metastatic disease. Vertebral body resec- tion requires subsequent reconstruction, often with titanium distractible or static mesh cages or with PMMA and anterolateral plating. Posterior stabilization with pedicle screw instrumentation is indicated for resections at high-stress areas, such as the cervicothoracic and thoracolumbar junc- tion, and for patients with two or more adjacent vertebrectomies, kyphosis, or circumferential involvement.

How well did you know this?
1
Not at all
2
3
4
5
Perfectly
12
Q

A 31-year-old man presents with back pain and erectile dysfunction. MRI is performed. Which one of the following statements regarding further management is key?
a. Gross total resection is the next appropriate step
b. Craniospinal axis MRI should be performed
c. External beam radiotherapy is critical after gross total resection
d. Etoposide chemotherapy is critical after subtotal resection
e. Conservative management with surveil- lance imaging is recommended

A

b. Craniospinal axis MRI should be performed

Myxopapillary ependymomas are most commonly benign and localize most often to the filum termi- nale and conus medullaris. They differ from other ependymomas morphologically and biologically and often resemble chordomas or chondrosarco- mas; immunohistochemical analysis is frequently required for differentiation. Myxopapillary epen- dymomas manifest in younger individuals, in com- parison with cellular ependymomas, and are also more common in male patients. They display large variations in size and are associated with scalloping of the vertebral body and enlargement of the neu- ral foramina. On T1-weighted imaging, myxopa- pillary ependymomas are most often isointense or hypointense; however, in some instances, they have displayed hyperintensity on T1-weighted imaging because of hemorrhage or their mucin content. On T2-weighted imaging, these tumors are most often hyperintense. Polar cysts are also common findings in myxopapillary ependymo- mas. Myxopapillary ependymomas are low-grade tumors that typically occur in the lumbosacral
region (filum terminale), are well-differentiated, and are often encapsulated but can seed the CSF, typically with “drop metastases” at the thecal sac. Myxopapillary ependymomas often progress slowly and cause milder-than-expected neuro- logic deficits for their size. These tumors repre- sent a special variant of ependymoma found almost exclusively in the region of the filum termi- nale, although occasionally they have been found higher in the spinal cord or, rarely, in the brain. They may occur at any age, but most arise in the fourth decade. Myxopapillary ependymomas characteristically form a sausage-shaped mass in the lumbosacral region, displacing spinal nerve roots of the cauda equina. Their biologic behavior is usually benign, but because of their location they are often associated with significant compression- induced paralysis. Treatment consists of local excision, which must often be only partial because of the tumor’s location; approximately 20% recur even after complete initial resection. Metastases infiltrating the CSF and extradural space may occur, but transformation to anaplastic variants is extremely rare. Myxopapillary subtypes appear to be associated with a favorable prognosis, poten- tially because of ease of resection because of their anatomic location. Patients who are able to achieve GTR have improved outcomes and the upfront addition of radiation therapy is of ques- tionable benefit. However, one study suggests that pediatric patients with this tumor had higher recurrence rates, even in the setting of GTR, and appeared to benefit from postoperative irradi- ation. A retrospective review from the Rare Can- cer Network suggests that higher postoperative radiation dose (>50.4 Gy) for the myxopapillary subtype may be associated with improved PFS.

How well did you know this?
1
Not at all
2
3
4
5
Perfectly
13
Q

For each of the following descriptions, select the most appropriate answers from the list above. Each answer may be used once, more than once or not at all.

  • A 49-year-old male presents with lower abdominal pain. X-rays and CT pelvis showed a lytic lesion of the anterior sacrum and histology after wide-margin surgical excision reveals cells with a foamy physali- ferous appearance

Extradural tumors:
a. Chordoma
b. Chondrosarcoma
c. Eosinophilic granuloma
d. Hemangioma
e. Multiple myeloma
f. Metastasis
g. Neuroblastoma
h. Neurofibroma
i. Osteoblastoma
j. Osteochondroma
k. Osteoid osteoma
l. Osteosarcoma

A

a. Chordoma

How well did you know this?
1
Not at all
2
3
4
5
Perfectly
14
Q

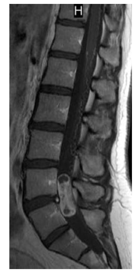
A 39-year-old presents with a 6-month history of tingling in her fingers and in the last few months, her legs. There is no bowel or bladder disturbance. On examination, there is cape-like pattern of pain and temperature loss in her upper limbs. Upper limbs are weak distally 4/5, and reflexes are globally brisk with extensor plantar responses bilaterally. MRI is shown. Which one of the following is most likely?

a. Astrocytoma
b. Ganglioglioma
c. Hemangioblastoma
d. Meningioma
e. Metastasis

A

a—Astrocytoma

How well did you know this?
1
Not at all
2
3
4
5
Perfectly
15
Q

A 31-year-old man presents with back pain and erectile dysfunction. MRI is performed. Which one of the following statements
regarding further management is key?

a. Gross total resection is the next appropriate step
b. Craniospinal axis MRI should be performed
c. External beam radiotherapy is critical after gross total resection
d. Etoposide chemotherapy is critical after subtotal resection
e. Conservative management with surveillance imaging is recommended

A

b. Craniospinal axis MRI should be
performed

Myxopapillary ependymomas are most commonly
benign and localize most often to the filum terminale and conus medullaris. They differ from other ependymomas morphologically and biologically and often resemble chordomas or chondrosarcomas; immunohistochemical analysis is frequently required for differentiation. Myxopapillary ependymomas manifest in younger individuals, in comparison with cellular ependymomas, and are also more common inmale patients. They display large variations in size and are associated with scalloping of the vertebral body and enlargement of the neural foramina. On T1-weighted imaging, myxopapillary ependymomas are most often isointense or hypointense; however, in some instances, they have displayed hyperintensity on T1-weighted imaging because of hemorrhage or their mucin content. On T2-weighted imaging, these tumors are most often hyperintense. Polar cysts are also common findings in myxopapillary ependymomas. Myxopapillary ependymomas are low-grade tumors that typically occur in the lumbosacral region (filum terminale), are well-differentiated, and are often encapsulated but can seed the CSF, typically with “drop metastases” at the thecal sac. Myxopapillary ependymomas often progressslowly and cause milder-than-expected neurologic deficits for their size. These tumors represent a special variant of ependymoma found
almost exclusively in the region of the filum terminale, although occasionally they have been found higher in the spinal cord or, rarely, in the brain.
They may occur at any age, but most arise in the
fourth decade. Myxopapillary ependymomas
characteristically form a sausage-shaped mass in
the lumbosacral region, displacing spinal nerve
roots of the cauda equina. Their biologic behavior
is usually benign, but because of their location they
are often associated with significant compressioninduced paralysis. Treatment consists of local excision, which must often be only partial because of the tumor’s location; approximately 20% recur even after complete initial resection. Metastases infiltrating the CSF and extradural space may occur, but transformation to anaplastic variants is extremely rare. Myxopapillary subtypes appear to be associated with a favorable prognosis, potentially because of ease of resection because of their anatomic location. Patients who are able to achieve GTR have improved outcomes and the upfront addition of radiation therapy is of questionable benefit. However, one study suggests that pediatric patients with this tumor had higher
recurrence rates, even in the setting of GTR,
and appeared to benefit from postoperative irradiation. A retrospective review from the Rare Cancer Network suggests that higher postoperative radiation dose (>50.4 Gy) for the myxopapillary subtype may be associated with improved PFS.

How well did you know this?
1
Not at all
2
3
4
5
Perfectly
16
Q

Which one of the following is most likely based on the T2-Weighted MRI shown below?

a. Ependymoma
b. Lipoma
c. Neurofibroma
d. Primary CNS lymphoma
e. Schwannoma

A

a. Ependymoma

However, studies have shown that ependymomas
have a predilection for the caudal spinal cord,
with 50% of ependymomas arising in the lumbosacral cord or filum terminale and the remaining 50% occurring nonpreferentially along the cervical or thoracic spinal cord. On imaging, anaplastic ependymomas may be distinguished by their larger size, numerous cysts, and heterogeneous postcontrast enhancement. Anaplastic ependymomas are uncommon, comprising only 5% of all ependymomas, but they are characterized by anaplastic features (i.e. vascular proliferation, mitotic figures, cellular pleomorphism, and necrosis) on histologic analysis. Patients experience higher rates of tumor recurrence and decreased rates of survival. Classic radiographic features of spinal cord ependymomas include distinct tumor-spinal cord border, an associated syrinx, cysts within or adjacent to the mass, and hemosiderin deposits or “caps” near the poles of the tumor on T1 and T2. The treatment of
choice is gross total surgical resection.

17
Q

A 34-year-old male presents with a several month history of neck pain, with intermittent episodes of arm and leg numbness. MRI is shown. Which one of the following is most likely?

a. Ependymoma
b. Ganglioglioma
c. Meningioma
d. Neurofibroma
e. Schwannoma

A

a. Ependymoma

Ependymomas arise from ependymal cells and
typically occur in the central canal of the spinal
cord, the filum terminale, and the white matter
adjacent to a ventricular surface. They are the commonest intramedullary spinal cord tumor in adults and commoner in males than females (the commonest intramedullary tumors in children are
astrocytoma, ganglioglioma then ependymoma).
The mean age at presentation is 30-40 years with
long duration of symptoms (e.g. 2-4 years). Two
thirds occur in the lumbosacral region (40% of
these arise from the filum terminale (myxopapillary ependymoma). Because of the propensity of these tumors for seeding the craniospinal axis,
CSF evaluation and MRI of the whole craniospinal axis is strongly recommended. The three
main subsets of ependymomas are cellular (this
case), myxopapillary, and anaplastic. Cellular
ependymomas are most often located in the cervical spine. On T1-weighted MRI, they are isointense to hypointense, whereas on T2-weighted MRI, they are hyperintense and there may be a syrinx in 50% of cases. Factors prognostic for a favorable outcome include patient age younger than 40 years; tumors with a lumbosacral location, myxopapillary histologic findings, or a grade of WHO grade I; tumors amenable to GTR or
STR; and good preoperative function of the
patient. Whether volume of residual disease
correlates with a worse outcome after EBRT is
controversial. Most intradural extramedullary
ependymomas are myxopapillary and are often
amenable to complete surgical resection if they
are not multifocal. The goal of surgery is GTR.
Every attempt should be made to remove tumors
as a whole as opposed to piecemeal removal,
because of the risk of seeding, including upward
seeding to the cranial nerves. Typically, complete
resection is achievable in 80-100% of modern
series, with 10-year survival for all spinal cord
ependymomas is 70-100%. Postoperative EBRT
appears to improve local control in patients with
STR ependymomas and also for patients with
high-grade lesions and those with neuraxis dissemination. In most but not all series, the outcome for STR followed by EBRT appears to be
similar to that of complete resection. In patients
with tumors at high risk of seeding, when pretreatment CSF cytologic studies reveal malignant cells, or if the spinal MRI scan shows evidence of leptomeningeal disease, the craniospinal axis should be
treated. There is no strong body of evidence
thus far demonstrating that the addition of
chemotherapy to EBRT improves the outcome,
but it is used in pediatric patients with anaplastic
ependymoma or ependymoblastoma are routinely
given chemotherapy

18
Q

A 21-year-oldwith asymmetrical, bilateral sensorineural hearing loss presents and progressive gait disturbance. T1-weighted MRI with gadolinium is shown. Which one of the following chromosomes is likely to be mutated?

a. Chromosome 7
b. Chromosome 9
c. Chromosome 11
d. Chromosome 17
e. Chromosome 22

A

e. Chromosome 22

MISME syndrome (multiple inherited schwannomas, meningiomas, and ependymomas) is seen in NF-2, which has a locus on chromosome 22.
NF-1 gene locus is on chromosome 17, tuberous
sclerosis on chromosomes 9 and 16, neuroblastoma on chromosome 11.

19
Q

A 39-year-old presents with a 6-month history of tingling in her fingers and in the last few months, her legs. There is no bowel or bladder disturbance. On examination, there is cape-like pattern of pain and temperature loss in her upper limbs. Upper limbs are weak distally
4/5, and reflexes are globally briskwithextensor plantar responses bilaterally. MRI is shown. Which one of the following is most likely?

a. Astrocytoma
b. Ganglioglioma
c. Hemangioblastoma
d. Meningioma
e. Metastasis

A

a. Astrocytoma

Astrocytomas are the second most common intramedullary spinal cord tumors in adults (30%),
compared to children in which they are the commonest. Almost 60% of these tumors occur in the cervical and cervicothoracic region, and 20%
have an associated syrinx. Back pain and motor
deficits are the most common presenting symptom in astrocytomas. The most significant prognostic factors in patients with primary spinal cord
astrocytoma are tumor histology, tumor grade,
age, and performance status. Because of the rare
nature of this disease, almost all data are based
on retrospective reviews fraught with selection
bias. Therefore, neither the extent of resection
nor treatment with adjuvant irradiation appears
to be prognostic, although this is controversial.
The classic MRI appearance of intramedullary
astrocytoma is cord enlargement with a central
lesion with poorly defined margins, cysts, peritumoral edema and patchy enhancement (no
enhancement in 30%). It is typically isointense
to hypointense on T1-weighted images and
hyperintense on T2-weighted images. The treatment of choice for intramedullary astrocytomas is complete excision of the tumor, when it can be safely accomplished without neurologic compromise. Otherwise, an incomplete excision is typically performed for grade I lesions, and biopsy alone is the surgical strategy for the
non-exophytic component of an infiltrative glioma. GTR is typically extremely difficult to
achieve because of the infiltrative nature of all
but the pilocytic lesions, with most authors
reporting a 0-50% likelihood of GTR for spinal
cord astrocytoma. In patients with favorable
prognostic factors (low-grade histologic findings,
good performance status, and young age), observation with serial imaging studies, reserving irradiation for local recurrence, is an appropriate
management option, particularly for young children. Radiation should be considered for highgrade tumors, inoperable tumors, tumors remaining after surgery, and recurring tumors. In the remainder of patients, adjuvant irradiation is
usually recommended because progression of
tumor in the spinal cord may lead to significant
neurologic impairment. The overall outcomes
are similar for patients with low-grade gliomas
of the spinal cord treated either by GTR or
STR or biopsy followed by external beam irradiation (EBRT), with most series reporting OS at
5 years of 55-100%. With high-grade tumors in
adults and children, the median survival time is
quite poor (4-10 months) despite surgery and
EBRT. Extrapolating from the results of Stupp et al. for intracranial glioblastoma, temozolomide
has emerged as a treatment strategy in high-grade
intramedullary tumors

20
Q

. Which one of the following statements regarding radiation myelopathy is LEAST accurate?

a. A history of radiation therapy in doses sufficient to result in injury must be present
b. The region of the irradiated cord must lie slightly below the dermatome level of expression of the radiation myelitis
c. Local tumor progression must be ruled
out before a diagnosis can be made
d. A latent period from the completion of
treatment to the onset of injury is usually
within 20-30 months
e. The probability of dying from radiation
myelopathy is approximately 70% with
cervical lesions

A

b. The region of the irradiated cord must lie slightly below the dermatome level of expression of the radiation myelitis

Radiation myelopathy may present as a transient
early-delayed or late-delayed reaction. Transient
(acute) radiation myelopathy is clinically manifested by Lhermitte’s sign developing 3-4 months after treatment and spontaneously resolves over the following 3-6 months without therapy. It is attributed to transient demyelination caused by radiation-induced inhibition of myelin producing oligodendroglial cells in the irradiated spinal cord segment. Irreversible radiation myelopathy usually is not seen earlier than 6-12 months after completion of treatment. Typically, half of the patients who develop radiation-induced myelopathy in the cervical or thoracic cord region will do so within 20 months of treatment and 75% of cases will occur within 30 months. The signs and symptoms are typically progressive over several months, but acute onset of plegia over several hours or a few days is possible. It is thought to be multifactorial in origin, involving demyelination and white matter necrosis ultimately resulting from oligodendroglial cell depletion and microvascular injury.
Radiation myelopathy is a diagnosis of exclusion
with the following characteristics: (1) a history of
radiation therapy in doses sufficient to result in
injury must be present; (2) the region of the irradiated cord must lie slightly above the dermatome level of expression of the lesion; (3) the latent period from the completion of treatment to the onset of injury must be consistent with that
observed in radiation myelopathy; and (4) local
tumor progression must be ruled out. There are
no pathognomonic laboratory tests or imaging
studies that conclusively diagnose radiation myelopathy. MRI findings include swelling of the spinal cord with hyperintensity on the T2-weighted
images with or without areas of contrast enhancement. There is no known consistently effective treatment for radiation myelitis. The probability of dying from radiation myelopathy is approximately 70% with cervical lesions and 30% with thoracic spinal cord injury. Radiation side effects in children include growth abnormalities such as decreased vertebral height, kyphosis, and scoliosis.
Secondary malignant disease, including bone or
soft-tissue sarcomas and glioblastoma, has been
reported after irradiation of spinal cord tumors.

21
Q

Which one of the following statements regarding surgical management of spinal metastatic disease is LEAST accurate?

a. The goal of surgery is preservation of neurological function, pain relief, and mechanical stabilization
b. Expected patient survival should exceed 12 months before surgical treatment of spinal metastases is considered
c. Percutaneous biopsy (or excisional biopsy during surgery) often required for tissue diagnosis as 10-20% of spine metastases have no known source
d. Seeding and recurrence along the biopsy needle track can occur with some primary tumors, such as chordomas
e. Posterior and posterolateral approaches are preferred to deal with vertebral body tumor in the setting of spinal metastases where possible

A

b. Expected patient survival should exceed 12 months before surgical treatment of spinal metastases is considered

Curative treatment is often not possible; therefore, therapeutic objectives are focused on preservation of neurological function, pain relief, and
mechanical stabilization. Surgical intervention
can successfully achieve these goals, but patient
variables (such as age, tumor burden, life expectancy, and functional status) overwhelmingly
influence the choice of therapy as much as stability
and neurology. Developments in surgical technique and anterior and posterior stabilization of the spine that allow improved decompression
and tumor resection with acceptable morbidity.
Long-term disease-free survival is possible in
some cases, specifically in solitary renal cell carcinoma metastases. Additionally, most clinicians
would agree that the expected patient survival
should exceed 3 months before surgical treatment
of spinal metastases is considered. The principles
used to develop these scoring systems were
designed to assist surgeons in selecting patients
who may benefit from surgical intervention and
to determine the extent of surgical invasiveness
that is appropriate. Practically speaking, the calculated scores from the Tomita and Tokuhashi systems are not binding in the choice of treatment,
especially with the recent development of other
treatment modalities like SRS. Moreover, once
patients have been deemed appropriate candidates for surgical intervention, the determination of operative approach and stabilization requires a comprehensive understanding of the anatomy and histopathological features of the metastatic
tumor and its surrounding structures, as well as
the biomechanics of the spine and changes
induced by vertebral metastases. Advances in
imaging technology have improved the detection
of cancerous lesions, but tissue from spinal masses
is often still required for definitive diagnosis as
10-20% of spine metastases have no known
source. If surgery and excisional biopsy are not
immediately indicated, percutaneous biopsy may
be required, because most treatment decisions will
be dictated by the tumor histological findings.
When a primary tumor is considered a possibility,
the surgeon should be consulted in planning the
biopsy procedure, because seeding and recurrence
along the biopsy needle track can occur with some
primary tumors, such as chordomas. The surgical
approach to resection or decompression in spinal
metastases is in large part determined by the spinal segment involved, the location of the tumor within the vertebra, the tumor’s histological features, and the type of spine reconstruction necessary. The vertebral body is the most commonly affected portion of the spine in metastatic disease, and
therefore, anterior approaches provide the greatest ability to resect the lesion and decompress the spinal canal. However, these approaches are associated with increased surgery-related morbidity and mortality, especially since the thoracic spine is the commonest site. Therefore, a transpedicular posterior or posterolateral approach is frequently
used for T1-T4, Three-column decompression
and stabilization can be achieved with this
approach, especially with circumferential involvement and/or multiple levels. A right-sided thoracotomy, which minimizes risk to the great
vessels and aortic arch, permits access to the
mid-thoracic spine (T5-12). If, however, the
majority of tumor bulk is on the left, a left-sided
thoracotomy is indicated. Decompression of the
thoracolumbar junction (T11-L1) may necessitate
a combined thoracotomy and retroperitoneal
approach. The lumbar spine (L2-5) and sacrum
may be approached via anterior approaches, but
posterior excision and stabilization is usually adequate in metastatic disease. Vertebral body resection requires subsequent reconstruction, often with titanium distractible or static mesh cages or with PMMA and anterolateral plating. Posterior stabilization with pedicle screw instrumentation is indicated for resections at high-stress areas, such as the cervicothoracic and thoracolumbar junction, and for patients with two or more adjacent vertebrectomies, kyphosis, or circumferential involvement.

22
Q

Which one of the following statements
regarding the 2005 RCT (Patchell et al.,
Lancet 366:643-648) comparing decompressive resection plus adjuvant radiotherapy versus radiotherapy alone for metastatic spinal cord compression is LEAST accurate?

a. The surgical arm and radiotherapy only
arm both received 30 Gy of externalbeam radiation delivered in 10 fractions
b. The surgical arm did not haveincreased survival time compared to radiotherapy alone
c. The surgical arm had greater return of
ambulation after treatment compared to
radiotherapy alone
d. The surgical arm remained ambulatory for longer compared to radiotherapy alone
e. The surgical plus radiotherapy, and radiotherapy alone groups both excluded those with radio-sensitive tumors

A

b. The surgical arm did not haveincreased survival time compared to radiotherapy alone

In 2005, Patchell et al. reported the results of the
first prospective randomized controlled trial of
direct decompressive resection plus adjuvant
radiotherapy versus radiotherapy alone for metastatic spinal cord compression. Their study
showed surgery plus radiotherapy to be far superior to radiotherapy alone, and the trial was
stopped after 50% recruitment. Both groups of
patients received 30 Gy of external-beam radiation delivered in 10 fractions, and the surgical
group underwent operations intended to decompress the spinal cord, resect tumor bulk, and stabilize the spine. This approach was associated with statistically superior post-treatment ambulatory rate (84% vs. 57%, p¼0.001), duration of ambulation (median 122 days vs. 13 days, p¼0.003), maintenance of ambulation after treatment (94% vs. 74%, p¼0.024), return of ambulation after treatment (62% vs. 19%, p¼0.012), functional ability (Frankel scores), muscle
strength (American Spinal Injury Association
scores), continence, and survival time than those
treated with radiotherapy alone. The median survival time in the surgery plus radiotherapy group was 126 days, versus 100 days in the radiotherapy alone group (p¼0.033). However, those with highly radio-sensitive tumors (e.g. lymphoma, myeloma, and small cell lung carcinoma) were excluded from both groups hence it should be seen as proving the superiority of this approach for MSCC due to radio-resistant tumors. In patients with radio-sensitive primary tumors,
radiotherapy alone is still indicated for MSCC
presenting without spinal instability, rapidly progressive neurological decline without significant
bone intrusion of the spinal canal, or with
expected survival time <3 months. Surgical
decompression and stabilization is indicated in
patients with spinal instability, bony cord compression, rapid decline due to non-bony cord
compression, recurrent tumor despite radiotherapy, MSCC caused by radio-resistant tumors, and cases in which tissue diagnosis is necessary. Total en bloc resection and spondylectomy may be indicated with curative resection possible for patients with solitary metastases of relatively indolent course, such as renal cell carcinoma without systemic metastases.

23
Q

Which one of the following statements
regarding surgery in patients with metastatic disease of the spine is LEAST accurate?

a. Indicated in those with metastatic spinal cord compression who are ambulant and without significant neurological deficit if they are expected to survive greater than 3 months
b. Indicated in those with metastatic spinal cord compression with less than 24 h of complete paralysis who otherwise have a good prognosis
c. Indicated in those with spinal instability
and evidence of structural spine failure
to prevent malignant spinal cord compression, even if their pain is controlled
d. Indicated in those with spinal instability related mechanical back pain resistant to analgesia
e. Indicated only in those patients expected to survive at least 12 months

A

e. Indicated only in those patients expected to survive at least 12 months

To be considered for surgery the patient must be
surgically fit, no pre-existing neurology, ambulant/weak/<24 h paralysis, single area of cord
compression (this can include several contiguous
spinal or vertebral segments), expected to survive
6 months or at least >3 months. Indications for surgery in the context of spinal metastastic disease
will generally occur in the following scenarios: (i)
to stabilize the spine and prevent MSCC in those
with imaging evidence of structural spinal failure
with spinal instability; (ii) to stabilize the spine in
those with mechanical pain resistant to conventional analgesia, irrespective of neurological status, or (iii) to decompress the cord (usually with
spinal stabilization if vertebral involvement) in
those with MSCC who are can walk, have
<24 h complete paralysis, or have little (but
some) neurological function with very good prognosis giving them a chance of functional recovery.
If surgery is appropriate in patients with MSCC
attempt to achieve both spinal cord decompression and durable spinal column stability before they lose the ability to walk. If there is the slightest doubt as to the underlying pathology, particularly where there is a solitary bony lesion,
further investigations including percutaneous
bone biopsy should be carried out before definitive surgery. In those with a good prognosis but
only residual distal sensory or motor function
should still be offered surgery in an attempt to
recover useful function, regardless of their ability
to walk. Patients with MSCC who have been
completely paraplegic or tetraplegic for more
than 24 h should only be offered surgery if spinal
stabilization is required for pain relief. Posterior
decompression alone should not be performed
in patients with MSCC except in the rare circumstances of isolated epidural tumor or neural arch metastases without bony instability. If spinal
metastases involve the vertebral body or threaten
spinal stability, posterior decompression should
always be accompanied by internal fixation with
or without bone grafting. Consider vertebral
body reinforcement with cement for patients with
MSCC and vertebral body involvement who are
suitable for instrumented decompression but
are expected to survive for less than 1 year. Consider vertebral body reconstruction with anterior bone graft for patients with MSCC and vertebral body involvement who are suitable for instrumented decompression, are expected to survive for 1 year or longer and who are fit to undergo a more prolonged procedure. En bloc excisional surgery with the objective of curing the cancer should not be attempted, except in very rare circumstances (e.g. confirmed solitary renal or thyroid metastasis following complete staging).

24
Q

Which one of the following statements
regarding definitive oncological management of patients presenting with MSCC is LEAST accurate?

a. In patients who present with MSCC without a known diagnosis of malignancy
radiotherapy can usually start sooner than chemotherapy
b. Preoperative radiotherapy should not be carried out on patients with MSCC if surgery is planned
c. Radiotherapy can be given as soon as there is suspected MSCC on imaging
d. Spinal instability is a relative contraindication to radiotherapy
e. Teratoma is one of the rare causes of spinal cord compression where chemotherapy is more effective than radiotherapy

A

c. Radiotherapy can be given as soon as there is suspected MSCC on imaging

Start definitive treatment, if appropriate, before
any further neurological deterioration and
ideally within 24 h of the confirmed diagnosis
of MSCC. In deciding on definitive treatment,
establishing primary histology and staging (sites
and extent of visceral and bony metastases) are
key. Other important factors are the preferences
of patients, neurological deficit, functional
status, general health and fitness, previous treatments, magnitude of surgery, likelihood of
complications, fitness for general anesthesia and
overall prognosis. In particular, early decisions
should be made about aggressiveness of MSCC
treatment in those with (i) a poor performance
status and widespread metastatic disease or (ii)
completely paraplegic or tetraplegic for more
than 24 h, and (iii) too frail or unfit for specialist
treatment. Major surgical treatments should only
be considered in those patients expected to survive 3 months or more, and use of the revised
Tokuhashi scoring system and American Society
of Anaesthetists (ASA) grading will help define its
type and extent. Management options include
mobilizing with bracing, palliation, radiotherapy
(most common), chemotherapy (e.g. localized
non-Hodgkin’s lymphoma and germ cell tumors)
and surgery. Consider patients with MSCC who
have severe mechanical pain and/or imaging evidence of spinal instability, but who are unsuitable for surgery, for external spinal support (for example, a halo vest or cervico-thoraco-lumbar orthosis). In those with non-mechanical pain related to extradural spinal metastases only (i.e. without MSCC or spinal instability) offer fractionated radiotherapy as the definitive treatment. In those with MSCC confirmed on imaging there must be a cancer diagnosis established before radiotherapy can start. Relative contraindications to radiotherapy include no histological diagnosis of cancer, radio-resistant tumor if surgery is an option (renal cell carcinoma, sarcoma, melanoma etc.), vertebral displacement/spinal instability,
poor general condition (irreversible) due to comorbidities, and previous radiotherapy (to cord
tolerance) to same spinal site. Preoperative radiotherapy should not be carried out on patients wit MSCC if surgery is planned, but postoperative
fractionated radiotherapy should be offered routinely to all patients with a satisfactory surgical
outcome once the wound has healed. In those
with MSCC who are not suitable for surgery,
urgent radiotherapy should be offered (<24 h)
unless they have had complete tetraplegia or
paraplegia for more than 24 h and their pain
is already well controlled; or their overall prognosis is judged to be too poor. Chemotherapy is generally not indicated as the immediate treatment for malignant spinal cord compression and its main role is following the initial treatment with decompressive spinal surgery, or sometimes following local radiotherapy. Patients who present
with malignant spinal cord compression, without
a previous known malignancy, generally require
a tissue diagnosis, and in most cases immediate
surgery to decompress the spinal cord before
the diagnosis is made, so that a biopsy would
be obtained as part of the procedure. Rarely,
radiological appearances may strongly suggest
lymphoma, and needle biopsy, rather than
immediate surgery is occasionally warranted, in
which case immediate radiotherapy, rather than
chemotherapy is given, as a provisional diagnosis
can be obtained in an emergency within 24 h, and
the correct chemotherapy usually requires a more
detailed pathological diagnosis, which takes longer. Most chemo-sensitive tumors are also
radio-sensitive, and it is often preferable to give
local radiotherapy in such cases, to deal with
the anatomical cause of the cord compression
without having to consider the fitness of the
patient for what may be life-threatening treatment with chemotherapy. Teratoma, yolk sac
tumor, choriocarcinoma or a malignant molar
pregnancy, are the (rare) causes of spinal cord
compression where chemotherapy is more effective than radiotherapy, and should be the treatment of choice following initial tissue diagnosis.

25
A 57-year-old with who recently underwent right upper lobectomy for small cell lung cancer presents due to worsening back pain over the last 3 days. It initially started at night over the last 2 weeks or so, butis now exacerbated by physical movement.He denies any trauma. On examination he is tender to palpation in the mid thoracic spine. Neurological examination reveals mild weakness of both lower limbs bilaterally, brisk knee and ankle reflexes, and extensor plantars. Sensory examination reveals a sensory level at the umbilicus. Which one of the following would you do next? a. Standing spine X-ray b. MRI whole spine MRI and CT whole spine c. ensure they are Nurse flat with neutral spine alignment d. CT lumbar spine e. Dexamethasone
c. ensure they are Nurse flat with neutral spine alignment ## Footnote Acute management should include spinal precautions, steroids, and usually MR imaging. Patients with severe mechanical pain suggestive of spinal instability, or any neurological symptoms or signs suggestive of MSCC, should be nursed flat with neutral spine alignment (including “log rolling” or turning beds, with use of a slipper pan for toilet) until bony and neurological stability are ensured and cautious remobilization may begin. For patients with MSCC, once any spinal shock has settled and neurology is stable, carry out close monitoring and interval assessment during gradual sitting from supine to 60° over a period of 3-4 h. When patients with MSCC begin gradual sitting, if their blood pressure remains stable and no significant increase in pain or neurological symptoms occurs, continue to unsupported sitting, transfers and mobilization as symptoms allow. If a significant increase in pain or neurological symptoms occurs when patientswithMSCC begin gradual sitting and mobilization, return them to a position where these changes reverse and reassess the stability of their spine. After a full discussion of the risks, patients who are not suitable for definitive treatment should be helped to position themselves and mobilize as symptoms permit with the aid of orthoses and/or specialist seating to stabilize the spine, if appropriate. Unless contraindicated (including a significant suspicion of lymphoma) offer all patients with MSCC a loading dose of at least 16 mg of dexamethasone as soon as possible after assessment, continue dexamethasone 16 mg daily in patients awaiting surgery or radiotherapy for MSCC. After surgery or the start of radiotherapy the dose should be reduced gradually ove 5-7 days and stopped. If neurological function deteriorates at any time the dose should be increased temporarily. In those not proceeding to surgery or radiotherapy reduce gradually and stop dexamethasone as tolerated.
26
Which one of the following statements regarding management of pain related to spinal metastasis is most accurate? a. Bisphosphonates have shown utility inmanagement of pain resistant to conventional analgesia and/but not in reducing the risk of malignant spinal cord compression b. Intrathecal morphine pump insertion is inappropriate in patients with intractable pain from spinal metastases c. NSAIDs are inappropriate for management of pain related to spinal metastases due to their platelet inhibiting effect d. Single fraction palliative radiotherapy for spinal metastases causing non-mechanical pain is not appropriate in those with complete paralysis e. Vertebroplasty has been shown to be effective in the setting of pain from metastatic spinal cord compression in non-surgical candidates
a. Bisphosphonates have shown utility inmanagement of pain resistant to conventional analgesia and/but not in reducing the risk of malignant spinal cord compression ## Footnote Offer conventional analgesia (including NSAIDs, non-opiate and opiate medication) as required to patients with painful spinal metastases in escalating doses as described by the WHO three-step pain relief ladder. Consider referral for specialist pain careincludinginvasive procedures (such as epidural or intrathecal analgesia) and neurosurgical interventions for patientswith intractable pain from spinal metastases (e.g. intrathecal morphine pump). Bisphosphonates should only be used (if conventional analgesia fails) for pain relief in cases of vertebral metastases from breast, myeloma or prostate cancer only, and should not be used as prophylaxis for malignant spinal cord compression. Offer patients with spinal metastases causing non-mechanical spinal pain 8 Gy single fraction palliative radiotherapy even if they are completely paralysed, but not with the intention of preventing MSCC. In the absence of MSCC or spinal instability, consider vertebroplasty or kyphoplasty for patients who have vertebral metastases causing mechanical pain resistant to conventional analgesia, or vertebral body collapse
27
For each of the following descriptions, select the most appropriate answers from the list above. Each answer may be used once, more than once or not at all. * A 7-year-old boy presents with mid- thoracic back pain. Spinal X-rays show a vertebra plana at T10 Extradural tumors: a. Chordoma b. Chondrosarcoma c. Eosinophilic granuloma d. Hemangioma e. Multiple myeloma f. Metastasis g. Neuroblastoma h. Neurofibroma i. Osteoblastoma j. Osteochondroma k. Osteoid osteoma l. Osteosarcoma
c. Eosinophilic
28
For each of the following descriptions, select the most appropriate answers from the list above. Each answer may be used once, more than once or not at all. * An 11-year-old boy has had back pain for the last 6 months that has failed to improve with observation and simple analgesia. X-rays showed a reactive bone around a 1 cm radio- lucent nidus in the lamina of L1 Extradural tumors: a. Chordoma b. Chondrosarcoma c. Eosinophilic granuloma d. Hemangioma e. Multiple myeloma f. Metastasis g. Neuroblastoma h. Neurofibroma i. Osteoblastoma j. Osteochondroma k. Osteoid osteoma l. Osteosarcoma
k. Osteoid osteoma
29
For each of the following descriptions, select the most appropriate answers from the list above. Each answer may be used once, more than once or not at all. * A 37-year-old male sustained a wedge fracture of L1 following a fall down a flight of stairs. Jailhouse striations (honeycomb pat- tern) of the vertebra were also seen with a high signal on STIR MRI Extradural tumors: a. Chordoma b. Chondrosarcoma c. Eosinophilic granuloma d. Hemangioma e. Multiple myeloma f. Metastasis g. Neuroblastoma h. Neurofibroma i. Osteoblastoma j. Osteochondroma k. Osteoid osteoma l. Osteosarcoma
c. Eosinophilic granuloma
30
For each of the following descriptions, select the most appropriate answers from the list above. Each answer may be used once, more than once or not at all. * Important in risk stratification of patients presenting with PNETs Intradural extramedullary lesions: a. Myxopapillary ependymoma b. Epidermoid c. Lipoma d. Meningioma e. Neurofibroma f. Paraganglioma g. Schwannoma h. Leptomeningeal drop metastasis i. Teratoma j. Arachnoid cyst
h, Leptomeningeal drop metastasis
31
For each of the following descriptions, select the most appropriate answers from the list above. Each answer may be used once, more than once or not at all. * The commonest intradural,extramedullary lesion in Western countries Intradural extramedullary lesions: a. Myxopapillary ependymoma b. Epidermoid c. Lipoma d. Meningioma e. Neurofibroma f. Paraganglioma g. Schwannoma h. Leptomeningeal drop metastasis i. Teratoma j. Arachnoid cyst
d, Meningioma
32
For each of the following descriptions, select the most appropriate answers from the list above. Each answer may be used once, more than once or not at all. * The commonest intradural, extramedullary lesion in China and Japan Intradural extramedullary lesions: a. Myxopapillary ependymoma b. Epidermoid c. Lipoma d. Meningioma e. Neurofibroma f. Paraganglioma g. Schwannoma h. Leptomeningeal drop metastasis i. Teratoma j. Arachnoid cyst
g, Schwannoma
33
For each of the following descriptions, select the most appropriate answers from the list above. Each answer may be used once, more than once or not at all. - Second commonest intramedullary tumor in children Intramedullary tumors: a. Astrocytoma b. Ependymoma c. Ganglioglioma d. Hemangioblastoma e. Hemangioma f. Medulloblastoma g. Oligodendroglioma h. Teratoma i. PCNSL j. Metastasis
c. Ganglioglioma
34
For each of the following descriptions, select the most appropriate answers from the list above. Each answer may be used once, more than once or not at all. - Commonest primary intramedullary tumor in adults Intramedullary tumors: a. Astrocytoma b. Ependymoma c. Ganglioglioma d. Hemangioblastoma e. Hemangioma f. Medulloblastoma g. Oligodendroglioma h. Teratoma i. PCNSL j. Metastasis
b, Ependymoma
35
A 21-year-old with asymmetrical ,bilateralsen- sorineural hearing loss presents and progressive gait disturbance. T1-weighted MRI with gadolinium is shown. Which one of the fol- lowing chromosomes is likely to be mutated? a. Chromosome 7 b. Chromosome 9 c. Chromosome 11 d. Chromosome 17 e. Chromosome 22
e—Chromosome 22
36
A 34-year-old male presents with a several month history of neck pain, with intermittent episodes of arm and leg numbness. MRI is shown. Which one of the following is most likely? a. Ependymoma b. Ganglioglioma c. Meningioma d. Neurofibroma e. Schwannoma
a. Ependymoma ## Footnote Ependymomas arise from ependymal cells and typically occur in the central canal of the spinal cord, the filum terminale, and the white matter adjacent to a ventricular surface. They are the com- monest intramedullary spinal cord tumor in adults and commoner in males than females (the com- monest intramedullary tumors in children are astrocytoma, ganglioglioma then ependymoma). The mean age at presentation is 30-40 years with long duration of symptoms (e.g. 2-4 years). Two thirds occur in the lumbosacral region (40% of these arise from the filum terminale (myxopapil- lary ependymoma). Because of the propensity of these tumors for seeding the craniospinal axis, CSF evaluation and MRI of the whole craniosp- inal axis is strongly recommended. The three main subsets of ependymomas are cellular (this case), myxopapillary, and anaplastic. Cellular ependymomas are most often located in the cervi- cal spine. On T1-weighted MRI, they are isoin- tense to hypointense, whereas on T2-weighted MRI, they are hyperintense and there may be a syrinx in 50% of cases. Factors prognostic for a favorable outcome include patient age younger than 40 years; tumors with a lumbosacral location, myxopapillary histologic findings, or a grade of WHO grade I; tumors amenable to GTR or STR; and good preoperative function of the patient. Whether volume of residual disease correlates with a worse outcome after EBRT is controversial. Most intradural extramedullary ependymomas are myxopapillary and are often amenable to complete surgical resection if they are not multifocal. The goal of surgery is GTR. Every attempt should be made to remove tumors as a whole as opposed to piecemeal removal, because of the risk of seeding, including upward seeding to the cranial nerves. Typically, complete resection is achievable in 80-100% of modern series, with 10-year survival for all spinal cord ependymomas is 70-100%. Postoperative EBRT appears to improve local control in patients with STR ependymomas and also for patients with high-grade lesions and those with neuraxis dissemination. In most but not all series, the out- come for STR followed by EBRT appears to be similar to that of complete resection. In patients with tumors at high risk of seeding, when pretreat- ment CSF cytologic studies reveal malignant cells, or if the spinal MRI scan shows evidence of lepto- meningeal disease, the craniospinal axis should be treated. There is no strong body of evidence thus far demonstrating that the addition of chemotherapy to EBRT improves the outcome, but it is used in pediatric patients with anaplastic ependymoma or ependymoblastoma are routinely given chemotherapy.
37
Which one of the following is most likely based on the T2-Weighted MRI shown below? a. Ependymoma b. Lipoma c. Neurofibroma d. Primary CNS lymphoma e. Schwannoma
a. Ependymoma ## Footnote However, studies have shown that ependymomas have a predilection for the caudal spinal cord, with 50% of ependymomas arising in the lumbo- sacral cord or filum terminale and the remaining 50% occurring nonpreferentially along the cervi- cal or thoracic spinal cord. On imaging, anaplastic ependymomas may be distinguished by their larger size, numerous cysts, and heterogeneous postcontrast enhancement. Anaplastic ependy- momas are uncommon, comprising only 5% of all ependymomas, but they are characterized by anaplastic features (i.e. vascular proliferation, mitotic figures, cellular pleomorphism, and necrosis) on histologic analysis. Patients experience higher rates of tumor recurrence and decreased rates of survival. Classic radiographic features of spinal cord ependymomas include dis- tinct tumor-spinal cord border, an associated syr- inx, cysts within or adjacent to the mass, and hemosiderin deposits or “caps” near the poles of the tumor on T1 and T2. The treatment of choice is gross total surgical resection.
38
Which one of the following statements regarding radiation myelopathy is LEAST accurate? a.A history of radiation therapy indoses sufficient to result in injury must be present b. The region of the irradiated cord must lie slightly below the dermatome level of expression of the radiation myelitis c. Local tumor progression must be ruled out before a diagnosis can be made d. A latent period from the completion of treatment to the onset of injury is usually within 20-30 months e. The probability of dying from radiation myelopathy is approximately 70% with cervical lesions
b. The region of the irradiated cord must lie slightly below the dermatome level of expression of the radiation myelitis ## Footnote Radiation myelopathy may present as a transient early-delayed or late-delayed reaction. Transient (acute) radiation myelopathy is clinically mani- fested by Lhermitte’s sign developing 3-4 months after treatment and spontaneously resolves over the following 3-6 months without therapy. It is attributed to transient demyelination caused by radiation-induced inhibition of myelin producing oligodendroglial cells in the irradiated spinal cord segment. Irreversible radiation myelopathy usu- ally is not seen earlier than 6-12 months after com- pletion of treatment. Typically, half of the patients who develop radiation-induced myelopathy in the cervical or thoracic cord region will do so within 20 months of treatment and 75% of cases will occur within 30 months. The signs and symptoms are typically progressive over several months, but acute onset of plegia over several hours or a few days is possible. It is thought to be multifactorial in origin, involving demyelination and white mat- ter necrosis ultimately resulting from oligoden- droglial cell depletion and microvascular injury. Radiation myelopathy is a diagnosis of exclusion with the following characteristics: (1) a history of radiation therapy in doses sufficient to result in injury must be present; (2) the region of the irradi- ated cord must lie slightly above the dermatome level of expression of the lesion; (3) the latent period from the completion of treatment to the onset of injury must be consistent with that observed in radiation myelopathy; and (4) local tumor progression must be ruled out. There are no pathognomonic laboratory tests or imaging studies that conclusively diagnose radiation mye- lopathy. MRI findings include swelling of the spi- nal cord with hyperintensity on the T2-weighted images with or without areas of contrast enhance- ment. There is no known consistently effective treatment for radiation myelitis. The probability of dying from radiation myelopathy is approxi- mately 70% with cervical lesions and 30% with thoracic spinal cord injury. Radiation side effects in children include growth abnormalities such as decreased vertebral height, kyphosis, and scoliosis. Secondary malignant disease, including bone or soft-tissue sarcomas and glioblastoma, has been reported after irradiation of spinal cord tumors