Test 3: 38 resp xray con Flashcards

(37 cards)

1
Q

what kind of pattern

A

bronchial pulmonary pattern

Eosinophilic bronchopneumopathy

How well did you know this?
1
Not at all
2
3
4
5
Perfectly
2
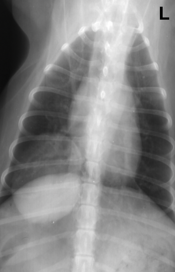
Q
A

unstructured interstitial pulmonary pattern

How well did you know this?
1
Not at all
2
3
4
5
Perfectly
3
Q

what kind of pattern

A

unstructured interstitial pattern: hazy/fog

How well did you know this?
1
Not at all
2
3
4
5
Perfectly
4
Q

unstructured interstitial pattern look like

A

hazy

  • generalized increase in pulmonary opacity
  • Unsharp outline of pulmonary vessels and airway walls
  • Decreased sharpness of the cardiac and diaphragmatic borders (difficult to recognize)
How well did you know this?
1
Not at all
2
3
4
5
Perfectly
5
Q

what kind of pattern

A

normal- left
interstitial- right

How well did you know this?
1
Not at all
2
3
4
5
Perfectly
6
Q

unstructured intersitial pattern DDx

A

Diffuse
“Disease in transition”
* Edema, Pneumonia, Hemorrhage
Less severe → Interstitial pattern
More severe → Alveolar pattern

  • Pneumonitis/pneumonia
    Fungal pneumonia (esp. coccidioides), Viral pneumonia (e.g. Distemper), Septicemia, Metabolic (Uremia), Inhalant, Toxic
  • Lymphoma – esp. dogs

Fibrosis: Pathologic (Westies); Older animals (age-related)
Eosinophilic pneumonia: Allergic, Heartworm

Focal
* Disease in transition → Edema, Pneumonia, Hemorrhage
* Partial lung atelectasis

Pulmonary thromboembolism
Hemorrhage
Bronchial foreign body

How well did you know this?
1
Not at all
2
3
4
5
Perfectly
7
Q

what kind of pattern and ddx

A

interstitial pattern
lymphoma- big lymph nodes

How well did you know this?
1
Not at all
2
3
4
5
Perfectly
8
Q

what type of pattern

A

right caudal lobe: intersitial- can still see vessels

left caudal lobe- alveolar- can not see vessels, can see air bronchiogram

cardiogenic pulmonary edema
left sided cardiomegaly- left auricular bulge

How well did you know this?
1
Not at all
2
3
4
5
Perfectly
9
Q

what kind of pattern?

A

intersitial and alveolar pneumonia

How well did you know this?
1
Not at all
2
3
4
5
Perfectly
10
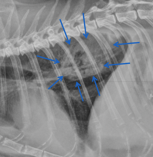
Q

what kind of pattern

A

nodular intersitial pattern- can see > 3-5 mm nodules

How well did you know this?
1
Not at all
2
3
4
5
Perfectly
11
Q

DDX for pulmonary nodules

A
  • Metastatic pulmonary neoplasia
  • Granulomatous disease →Heartworm, Fungal disease

Fluid-filled bullae, Cysts, Hematomas, Abscesses
(“CHANG” = Cyst, hematoma, abscess, neoplasia, granuloma)

How well did you know this?
1
Not at all
2
3
4
5
Perfectly
12
Q

pumonary nodule can be confused with

A

end on vessels- nodules should be larger than adjacent vessels
osseous metaplasia- heterotopic bone- small relatively opaque for their size- well defined
cutaneous nodules- sharp outline, position, opaque

How well did you know this?
1
Not at all
2
3
4
5
Perfectly
13
Q

pumonary nodules or end on vessel

A
How well did you know this?
1
Not at all
2
3
4
5
Perfectly
14
Q

compare nodules

A
How well did you know this?
1
Not at all
2
3
4
5
Perfectly
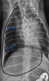
15
Q

what kind of pattern

A

miliary intersititial pattern

fungal infection- blastomycosis

How well did you know this?
1
Not at all
2
3
4
5
Perfectly
17
Q

most — patterns are due to chronic bronchitis, eosinophilic bronchopneumopathy, parasitic bronchitis or feline asthma

18
Q

Disease in transition (edema, pneumonia, hemorrhage) – so distinguishing — from — is not always the deal breaker in terms of ddx

A

unstructured interstitial from alveolar

19
Q

DDX for mass

A
  • Neoplasia (e.g., primary pulmonary)
  • Granuloma
  • Abscess

Hematoma
Cyst (fluid-filled)

20
Q

vascular lung pattern will have

A

Enlarged pulmonary veins
Enlarged pulmonary arteries
Enlarged pulmonary arteries and veins

21
Q

some causes of increased radiolucency

A

Artifacts And Extrapulmonary Disease

  • Increased radiographic contrast/decreased brightness
  • Hypovolemia
  • Pneumothorax
  • Emaciation
  • Iatrogenic over-inflation during anesthesia
22
Q

ddx for focal pulmonary hyperlucency

A
  • Bulla / Bleb – very thin to no wall
    Bulla = air-filled spaces within the lung from destruction and confluence of adjacent alveoli
    Bleb = similar but just under visceral pleural surface
  • Cavitary mass – thick wall
     Neoplasia
     Granuloma
     Paragonimus cyst
     Abscess
     Hematoma / Traumatic bulla

Bronchial cyst – thin wall
Local reduction in blood supply → Pulmonary thromboembolism

23
Q
A

bullae- thin walled

pulmonary hyperlucency

24
Q

ddx of cavitary mass

A

hyperlucency with thick wall

Neoplasia
 Granuloma
 Paragonimus cyst
 Abscess
 Hematoma / Traumatic bulla

25
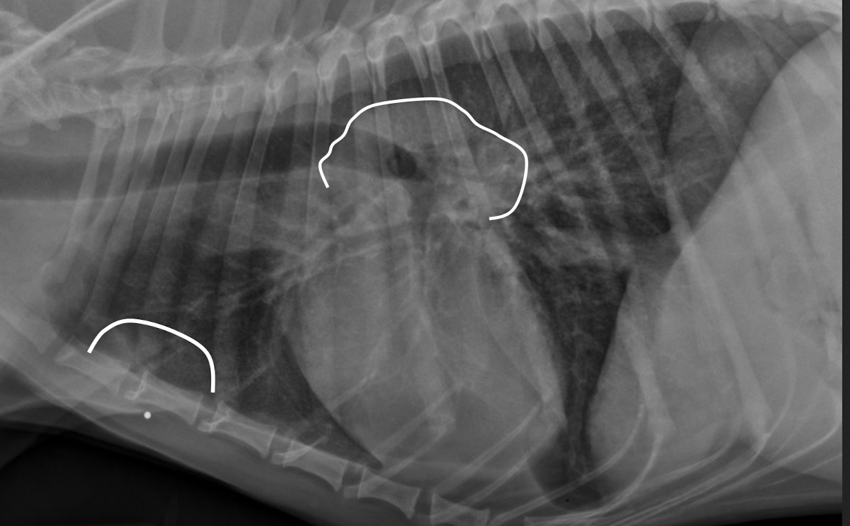
what do you see on xray with pleural effusion
fluid in pleural space pleural fissure lines lung lobe retraction → rounding of lung margins silhouette sign
26
what is this outlining
pleural fissure lines pleural effusion- fluid dissects between the lung lobes at the normal anatomic boundaries
27
28
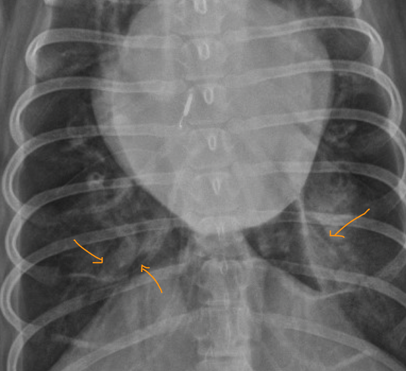
the caudal lung lobe of a cat will --- and can be confused with ---
retract away from ribs at lumbophrenic angle pleural effusion- mild > 4 vertebral bodies abnormal
29
pleural effusion retraction from ribs rounded heart in silhouetted fissure lines
30
ddx for unilateral or asymmetric pleural effusion
* Inflammatory disease- pyothorax * Anatomically complete mediastinum * Chylothorax * Focal lung disease → Neoplasia, Lung love torsion
31
in older dogs --- can be confused with pleural fissure lines
age related pleural fissure thickening
32
signs of pneumothorax on xray
lung lobe margin retraction radiolucent pleual space with no pulmonary vessels cardiac silhouette seperated from sternum by gas
33
pneumothorax Lung lobe margin retraction Radiolucent pleural space – Devoid of pulmonary vessels
34
**pneumothorax** Lung lobe margin retraction Radiolucent pleural space – Devoid of pulmonary vessels **Cardiac silhouette separated from sternum by air**
35
**tension pneumothorax** Mediastinal shift **away** from unilateral tension pneumothorax Over-distension of the thorax / pleural space  Widened intercostal spaces  Ribs perpendicular to spine
36
causes of pneumothorax
**Traumatic** (e.g. hit by car with lung tissue rupture or penetrating injury) **Spontaneous**  Bulla rupture (dog)  Rupture of lung neoplasm, abscess, infarct  Lung rupture from lung disease such as feline asthma, pneumonia  Migrating foreign body  Extension of pneumomediastinum
37
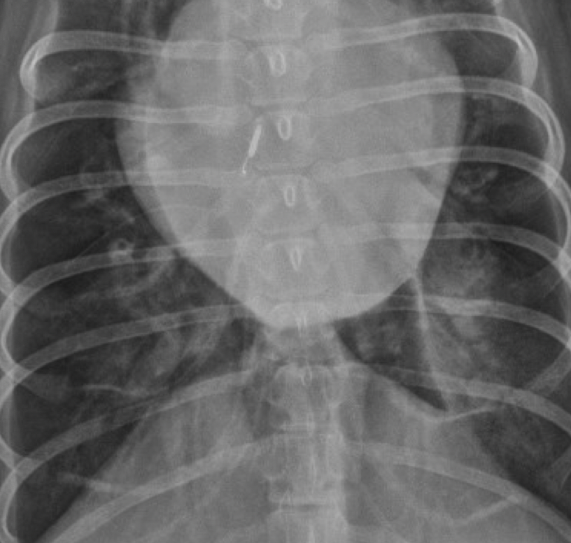
pneumo?
no - just normal deep chested dog- can see vessels in space below heart if you zoom