Test 3: 39 xray cont Flashcards

(30 cards)

1
Q

extrapleural mass/signs will have — on xrays

A

Broad-based mass on the chest wall
Convex shape
Lungs displaced medially
+/- Uneven distances between ribs
+/- Lysis of ribs

Most often neoplasia

How well did you know this?
1
Not at all
2
3
4
5
Perfectly
2
Q

which one pulmonary mass vs extrapleural sign

A

extrapleural sign:
Broad-based mass on the chest wall
Convex shape
Lungs displaced medially
+/- Uneven distances between ribs
+/- Lysis of ribs

Most often neoplasia

How well did you know this?
1
Not at all
2
3
4
5
Perfectly
3
Q

what is found in the area of the mediastinum

A

Heart
Aorta
Vena cava (Cd & Cr)
Trachea
Esophagus
Thymus
Lymph nodes

How well did you know this?
1
Not at all
2
3
4
5
Perfectly
4
Q

the cranial and caudal ventral mediastinal structures are found —

A

left side- pushed over by lungs

How well did you know this?
1
Not at all
2
3
4
5
Perfectly
5
Q

the caudal vena cava is on what side of the body

A

right

How well did you know this?
1
Not at all
2
3
4
5
Perfectly
6
Q
A
How well did you know this?
1
Not at all
2
3
4
5
Perfectly
7
Q

what is found in the cranioventral mediastinum

A

sternal lymph nodes
+/- thymus

How well did you know this?
1
Not at all
2
3
4
5
Perfectly
8
Q

what is found in the craniodorsal mediastinum

A

Great vessels
 Trachea
 Esophagus
 Cranial mediastinal lymph nodes

How well did you know this?
1
Not at all
2
3
4
5
Perfectly
9
Q
A

thymus- in the cranioventral mediastinum

juvenile dogs and cats

sail sign

How well did you know this?
1
Not at all
2
3
4
5
Perfectly
10
Q

normal thickness of cranial mediastinum

A

dog- 2x midth of vertebral body
cat- 1x width of vertebral body

unless fat→ may be wider

How well did you know this?
1
Not at all
2
3
4
5
Perfectly
11
Q

mediastinal masses may appear — on xray

A
  • Midline location
  • Widening of the mediastinum on VD – may have round or lobular (“bumpy”) margins
  • +/- Dorsal displacement of the trachea
  • +/- Caudal displacement of the carina
  • +/- Silhouetting with heart
How well did you know this?
1
Not at all
2
3
4
5
Perfectly
12
Q
A

wide mediastinum from obese cat

straight sides, no mass effect

How well did you know this?
1
Not at all
2
3
4
5
Perfectly
13
Q

mediastinal masses in cranioventral location DDx

A
  • Sternal lymphadenopathy
  • Thymus→ (ex. Thymoma)
  • Abscess
  • Mediastinal cyst (especially cats)
  • Esophageal diverticulum
  • Ectopic thyroid neoplasia
How well did you know this?
1
Not at all
2
3
4
5
Perfectly
14
Q

mediastinal masses in craniodorsal location DDx

A
  • Cranial mediastinal lymphadenopathy
  • Focal esophageal dilation (ex. Vascular ring anomaly)
  • Neurogenic tumor
  • Vertebral tumor
How well did you know this?
1
Not at all
2
3
4
5
Perfectly
15
Q

perihilar mediastinal mass DDx

A
  • Tracheobronchial lymphadenopathy
  • Heart base mass (like chemodectoma) (top of heart is the base)
  • Ectopic thyroid neoplasm
How well did you know this?
1
Not at all
2
3
4
5
Perfectly
16
Q

mediastinal mass in caudodorsal DDx

A
  • Esophageal mass (or foreign body)
  • Hiatal hernia
  • Spirocerca lupi-parasite- south USA
  • Vertebral tumor
  • Paraesophageal abscess
17
Q

caudoventral mediastinal mass location ddx

A
  • Diaphragmatic hernia
  • Abscess
18
Q

where is sternal lymph node on xray

A

usually dont see- are swollen in this xray- can drain into the abdomen

19
Q

where are the tracheobronchial lymph nodes

A

Perihilar

Middle (Cd) tracheobronchial LN
 Ventral displacement of carina
 Bowing of mainstem bronchi (“bow-legged cowboy”)
 Double opacity sign

Left / Right tracheobronchial LN
 Dorsal displacement of cd trachea
 +/- widening of mainstem bronchi angle on VD

20
Q

large middle tracheobronchial lymph node will move the carina —

A

ventrally
will also bow the main stem bronchi (bow legged cowboy)
double opacity sign

21
Q

which tracheobronchial lymph node will cause dorsal displacement of the caudal trachea

A

left or right

+/- cause widening of the mainstem bronchi angle on VD

22
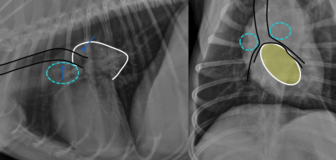
Q

what is this showing

A

left: enlargment of middle tracheobronchial Lymph node → ventral displacement of carina

right: left atrial enlargmentdorsal displacement of carina

both will show bowing of the mainstem bronchi on VD (cowboy) and double opacity sign

23
Q
A

mediastinal lymph node enlargement

ventral to trachea
+/- dorsal tracheal displacement
wide/convex cranial mediastinum (not straight line)

24
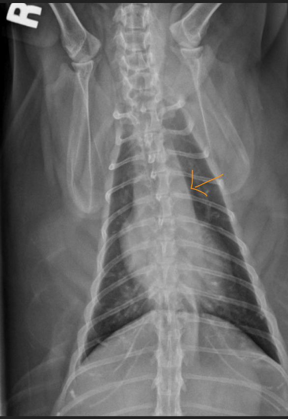
Q

where are the lymph nodes

A

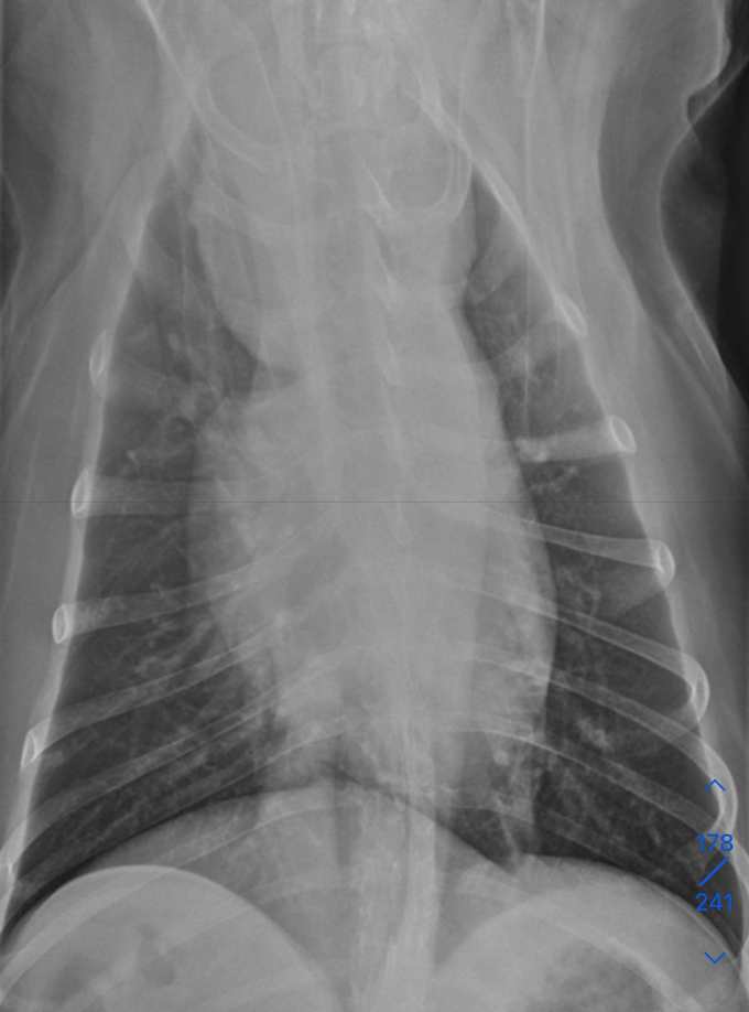
mediastinal lymphadenopathy

middle tracheobronchial cause ventral deflection, L and R cause dorsal deflection

widening of mediastinum

25
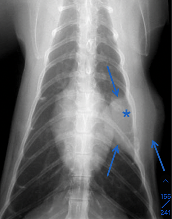
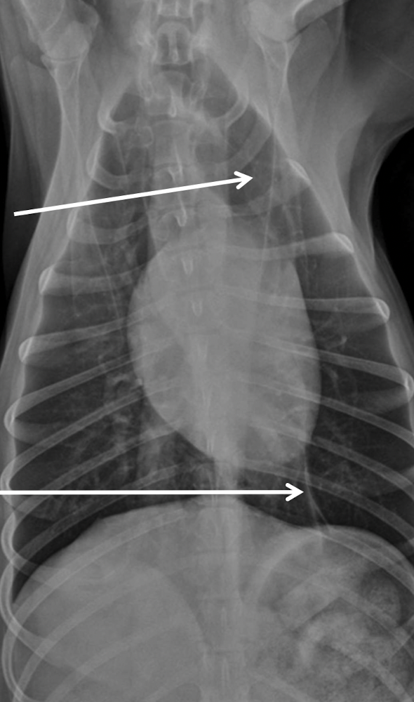
where are lymphnodes in this pt with medistinal lymphadenopathy
26
what is happening? ddx
cranial mediastinal mass- pushing everything **Thymus** →Neoplasia (Thymoma, Lymphoma); [↓Hemorrhage] **Lymph node** (sternal, cranial mediastinal)→ Neoplasia (Lymphoma) **Mediastinum / Adnexa** →Neoplasia (Sarcoma, Carcinoma); Cyst; [↓ Abscess, Granuloma, Hemorrhage]
27
DDX ## Footnote cat
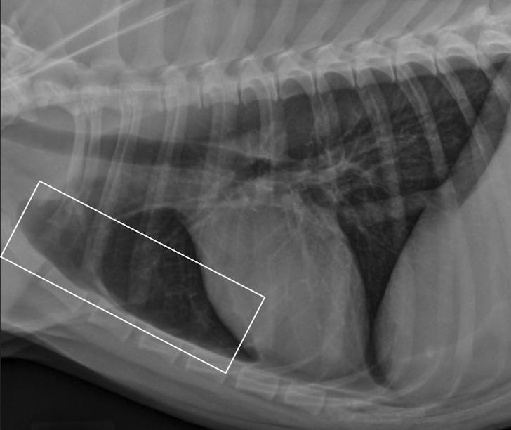
cranioventral mediastinal mass soft tissue opacity cranioventral to heart widens cranioventral mediastinum DDX: **thyoma** mediastinal cyst lymphoma ## Footnote left sided- thymus
28
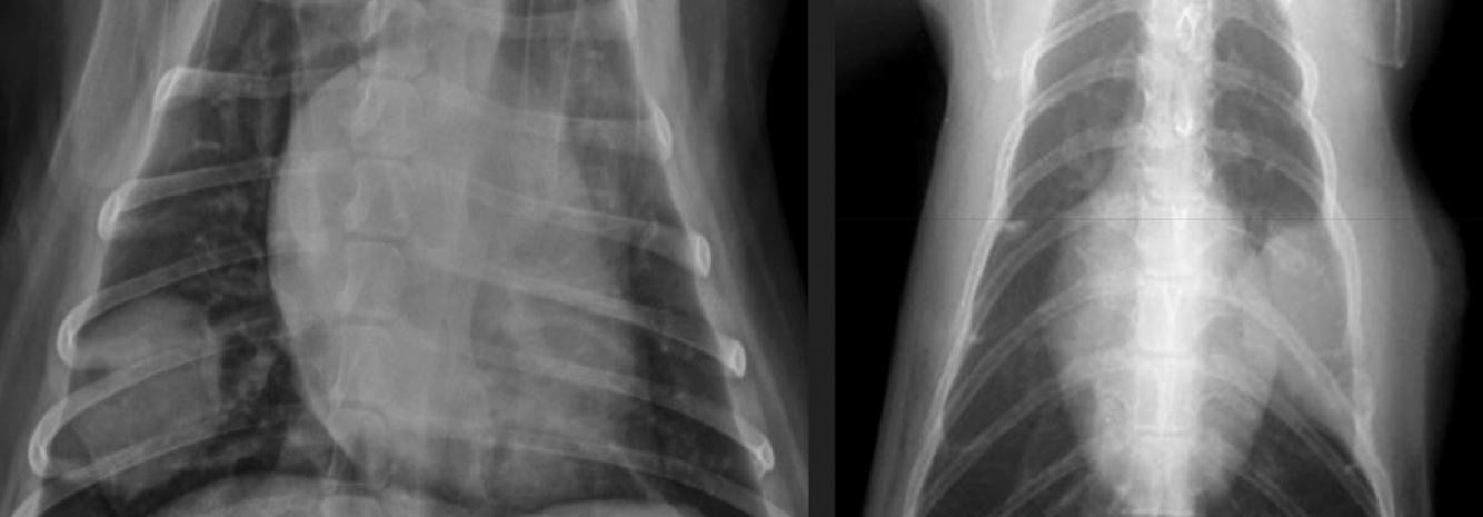
dog 11 YP lab with lethargy DDX
heart base mass (perihilar region of mediastinum) → **chemodectoma** soft tissue opacity at heart base, dorsally deviated trachea wide/bulging cranial mediatstinum, trachea deviated to right
29
ddx
caudodorsal mediastinal mass * Caudodorsal mass, cranial convex margin * Focal widening (midline with bulge to right) **hiatal hernia** gas inside structure
30
increased contrast from ---
**pneumomediastinum**- can see things you normal can't see (ventral part of trachea)